IHCeasy® NDUFS3 Ready-To-Use IHC Kit
NDUFS3 Ready-to-use reagent kit for IHC.
Reactivity
Human, Mouse
Sample Type
FFPE tissue
Cat no : KHC2114
Synonyms
CI 30kD, Complex I 30kD, NDUFS3
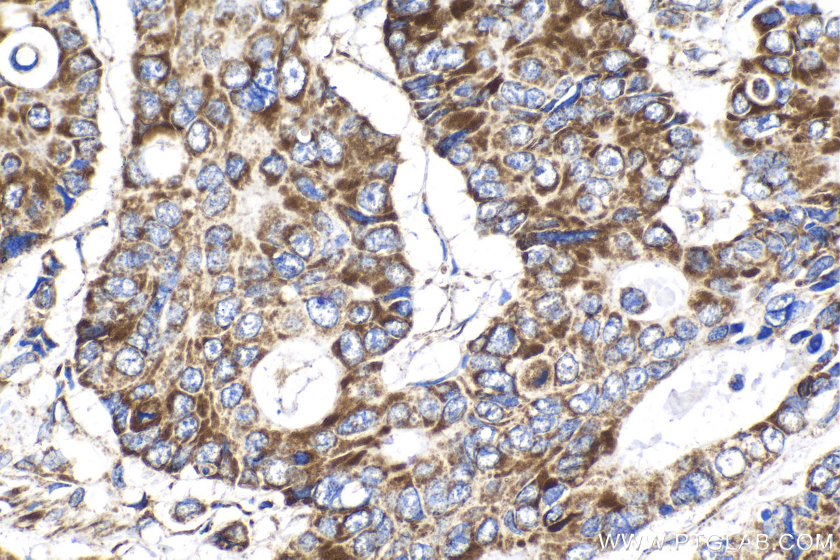
Validation Data Gallery
Product Information
KHC2114 is a ready-to-use IHC kit for staining of NDUFS3. The kit provides all reagents, from antigen retrieval to cover slip mounting, that require little to no diluting or handling prior to use. Simply apply the reagents to your sample slide according to the protocol and you're steps away from obtaining high-quality IHC data.
| Product name | IHCeasy NDUFS3 Ready-To-Use IHC Kit |
| Sample type | FFPE tissue |
| Assay type | Immunohistochemistry |
| Primary antibody type | Rabbit Polyclonal |
| Secondary antibody type | Polymer-HRP-Goat anti-Rabbit |
| Reactivity | Human, Mouse |
Kit components
| Component | Size | Concentration |
|---|---|---|
| Antigen Retrieval Buffer | 100 mL | 50× |
| Washing Buffer | 100 mL ×2 | 20× |
| Blocking Buffer | 5 mL | RTU |
| Primary Antibody | 5 mL | RTU |
| Secondary Antibody | 5 mL | RTU |
| Chromogen Component A | 0.2 mL | RTU |
| Chromogen Component B | 4 mL | RTU |
| Signal Enhancer | 5 mL | RTU |
| Counter Staining Reagent | 5 mL | RTU |
| Mounting Media | 5 mL | RTU |
| Datasheet | 1 Copy | |
| Manual | 1 Copy |
Background Information
NDUFS3(NADH dehydrogenase [ubiquinone] iron-sulfur protein 3, mitochondrial) is also named as CI-30kD and belongs to the complex I 30 kDa subunit family. It catalyzes the oxidation of NADH, with the concomitant reduction of ubiquinone and ejection of protons out of the mitochondria. NDUFS3 can be used as a mitochondrial matrix control.
Properties
| Storage Instructions | All the reagents are stored at 2-8°C. The kit is stable for 6 months from the date of receipt. |
| Synonyms | CI 30kD, Complex I 30kD, NDUFS3 |






