IHCeasy® NDUFS2 Ready-To-Use IHC Kit
NDUFS2 Ready-to-use reagent kit for IHC.
Reactivity
Human, Mouse, Rat
Sample Type
FFPE tissue
Cat no : KHC3149
Synonyms
CI 49kD, CI-49kD, Complex I 49kD, Complex I-49kD, EC:7.1.1.2
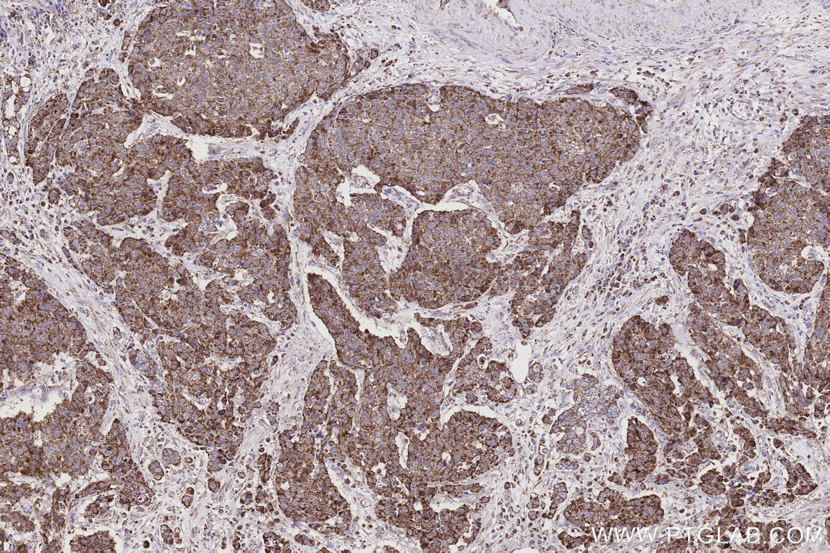
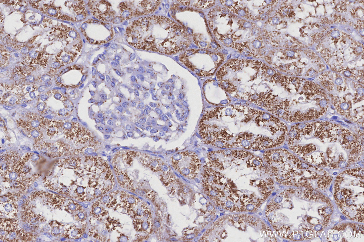
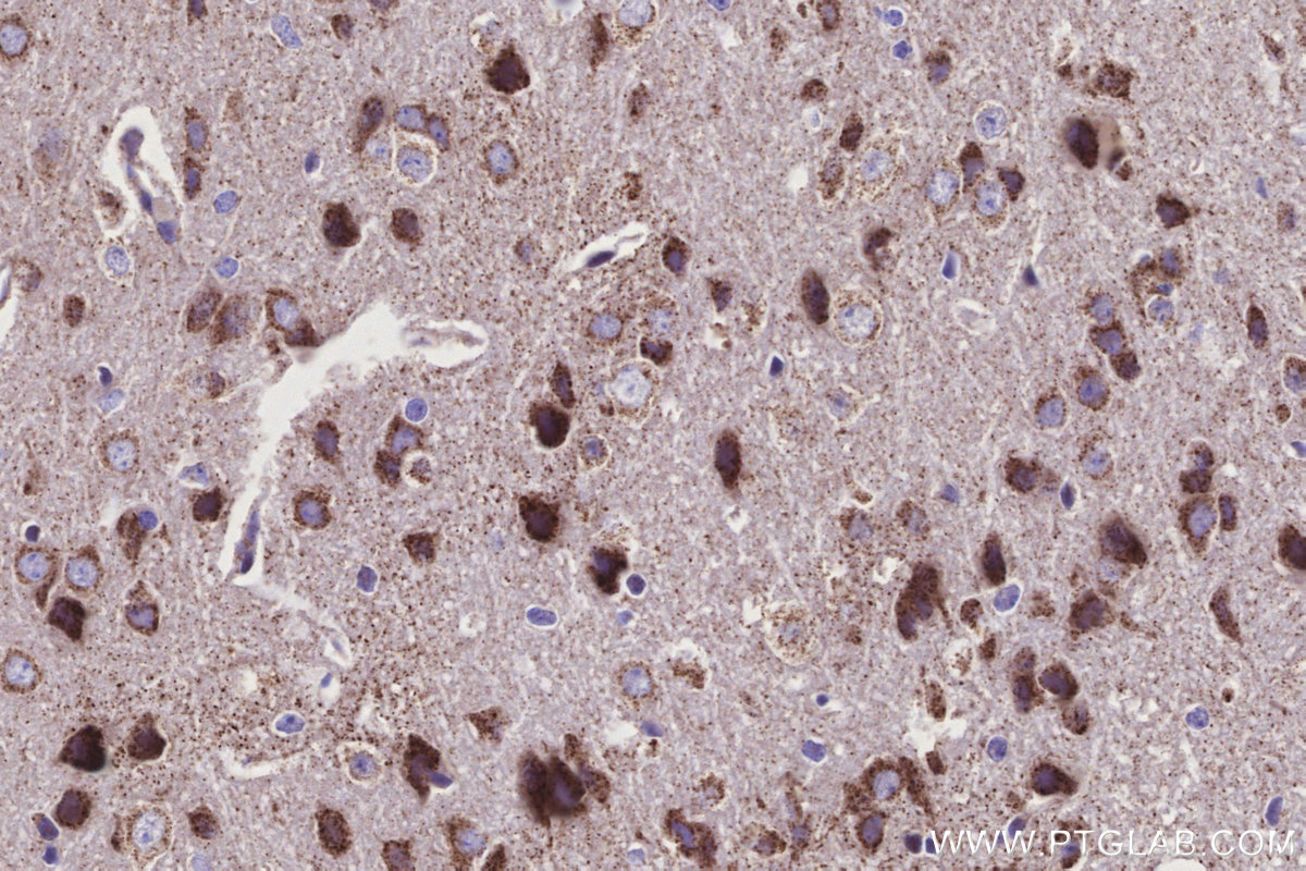
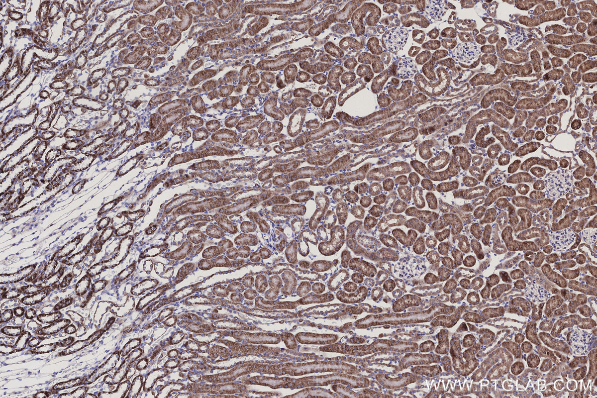
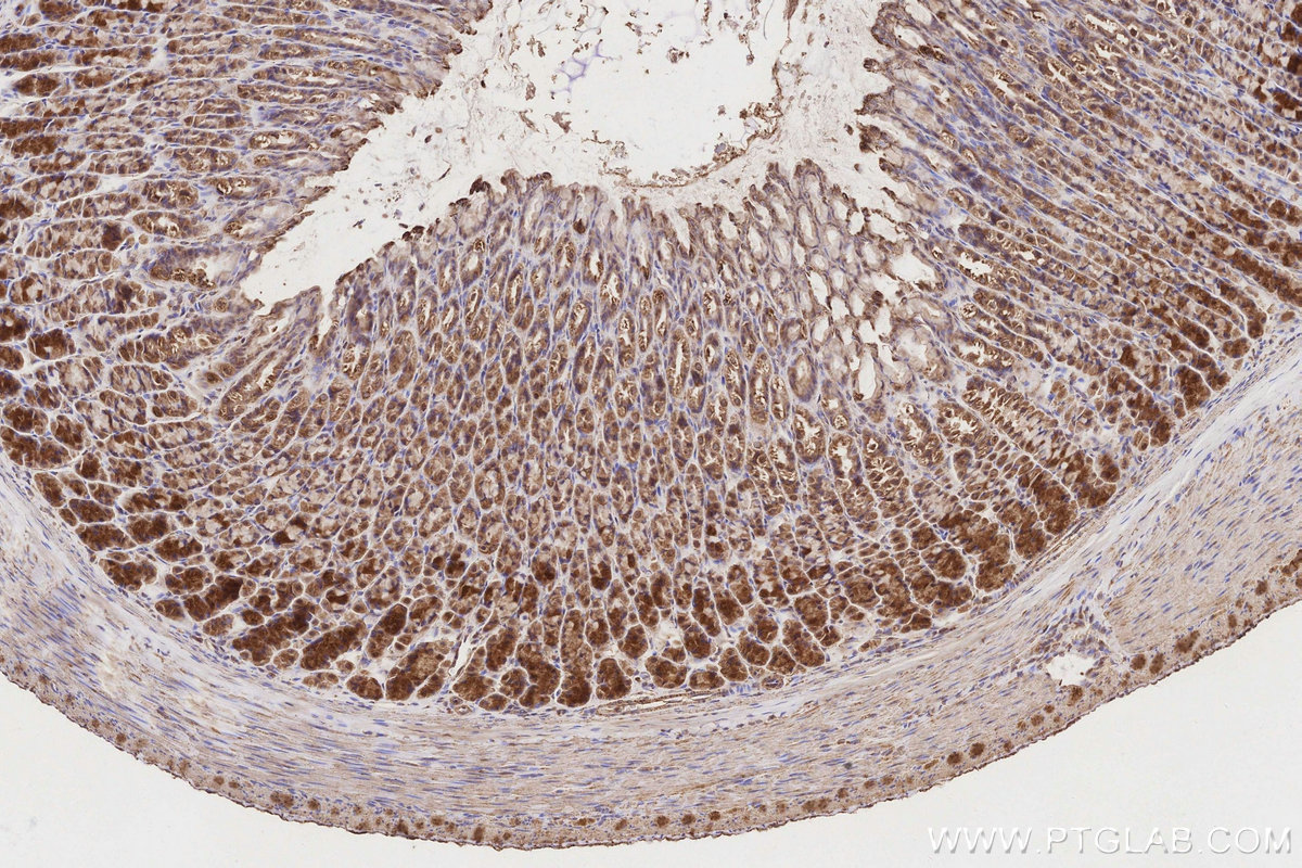
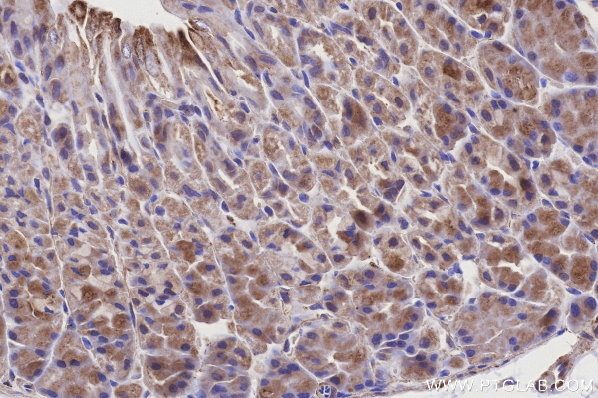
Validation Data Gallery
Product Information
KHC3149 is a ready-to-use IHC kit for staining of NDUFS2. The kit provides all reagents, from antigen retrieval to cover slip mounting, that require little to no diluting or handling prior to use. Simply apply the reagents to your sample slide according to the protocol and you're steps away from obtaining high-quality IHC data.
| Product name | IHCeasy® NDUFS2 Ready-To-Use IHC Kit |
| Sample type | FFPE tissue |
| Assay type | Immunohistochemistry |
| Primary antibody type | Rabbit Polyclonal |
| Secondary antibody type | Polymer-HRP-Goat anti-Rabbit |
| Reactivity | Human, Mouse, Rat |
Kit components
| Component | Size | Concentration |
|---|---|---|
| Antigen Retrieval Buffer | 100 mL | 50× |
| Washing Buffer | 100 mL ×2 | 20× |
| Blocking Buffer | 5 mL | RTU |
| Primary Antibody | 5 mL | RTU |
| Secondary Antibody | 5 mL | RTU |
| Chromogen Component A | 0.2 mL | RTU |
| Chromogen Component B | 4 mL | RTU |
| Signal Enhancer | 5 mL | RTU |
| Counter Staining Reagent | 5 mL | RTU |
| Mounting Media | 5 mL | RTU |
| Datasheet | 1 Copy | |
| Manual | 1 Copy |
Background Information
NDUFS2 (NADH:Ubiquinone Oxidoreductase Core Subunit S2), a key subunit of complex I in the mitochondrial electron transport chain (ETC), is essential for acute oxygen-sensing and hypoxic pulmonary vasoconstriction. Complex I is the largest multisubunit complex in ETC and is responsible for transferring electrons from NADH to ubiquinone while pumping protons from the mitochondrial matrix into the mitochondrial endomeric space. Functions of NDUFS2 are associated with growth, cell-membrane integrity, ROS generation, apoptosis, necrosis, Complex I respiration, and synthesis of ATP.
Properties
| Storage Instructions | All the reagents are stored at 2-8°C. The kit is stable for 6 months from the date of receipt. |
| Synonyms | CI 49kD, CI-49kD, Complex I 49kD, Complex I-49kD, EC:7.1.1.2 |






