IHCeasy® NDUFAF4 Ready-To-Use IHC Kit
NDUFAF4 Ready-to-use reagent kit for IHC.
Reactivity
Human
Sample Type
FFPE tissue
Cat no : KHC0440
Synonyms
C6orf66, HRPAP20, HSPC125, My013, NDUFAF4
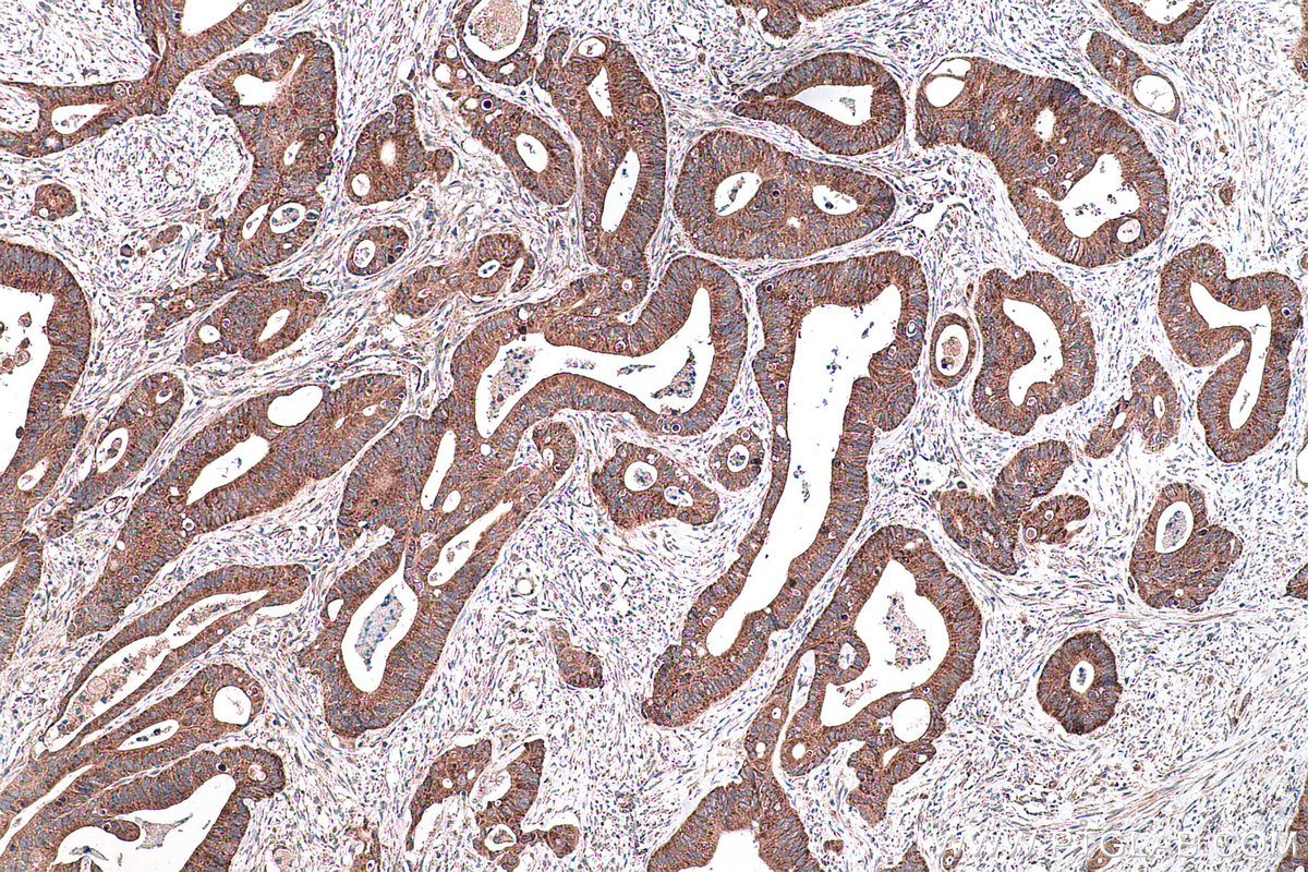
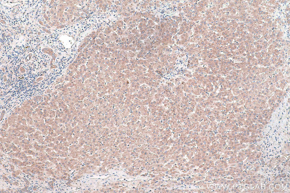
Validation Data Gallery
Product Information
KHC0440 is a ready-to-use IHC kit for staining of NDUFAF4. The kit provides all reagents, from antigen retrieval to cover slip mounting, that require little to no diluting or handling prior to use. Simply apply the reagents to your sample slide according to the protocol and you're steps away from obtaining high-quality IHC data.
| Product name | IHCeasy NDUFAF4 Ready-To-Use IHC Kit |
| Sample type | FFPE tissue |
| Assay type | Immunohistochemistry |
| Primary antibody type | Rabbit Polyclonal |
| Secondary antibody type | Polymer-HRP-Goat anti-Rabbit |
| Reactivity | Human |
Kit components
| Component | Size | Concentration |
|---|---|---|
| Antigen Retrieval Buffer | 100 mL | 50× |
| Washing Buffer | 100 mL ×2 | 20× |
| Blocking Buffer | 5 mL | RTU |
| Primary Antibody | 5 mL | RTU |
| Secondary Antibody | 5 mL | RTU |
| Chromogen Component A | 0.2 mL | RTU |
| Chromogen Component B | 4 mL | RTU |
| Signal Enhancer | 5 mL | RTU |
| Counter Staining Reagent | 5 mL | RTU |
| Mounting Media | 5 mL | RTU |
| Datasheet | 1 Copy | |
| Manual | 1 Copy |
Background Information
NDUFAF4 is a protein that in humans is encoded by the C6ORF66 gene. NDUFAF4 is an assembly factor of complex I. Mutation of this gene has been associated with congenital disorders of the mitochondrial respiratory chain. NDUFAF4 was previously shown to promote breast cancer cell invasiveness.
Properties
| Storage Instructions | All the reagents are stored at 2-8°C. The kit is stable for 6 months from the date of receipt. |
| Synonyms | C6orf66, HRPAP20, HSPC125, My013, NDUFAF4 |



