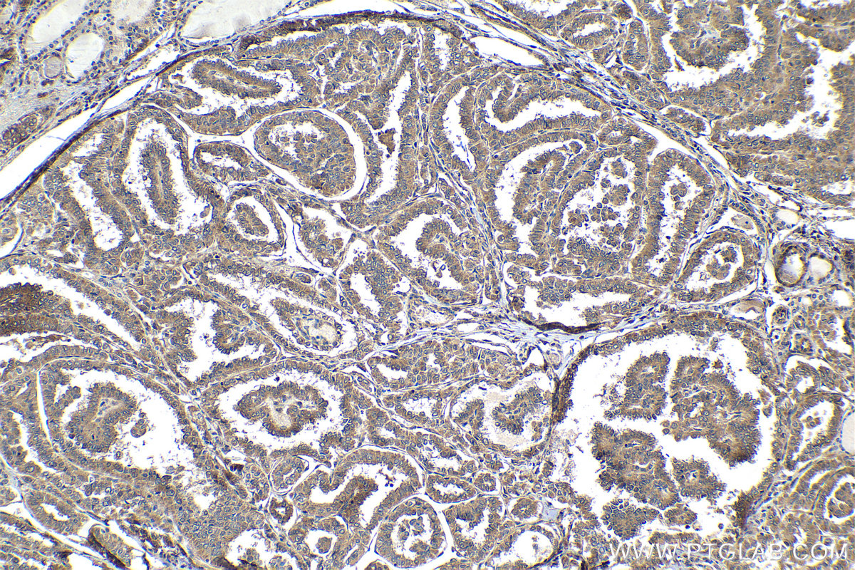
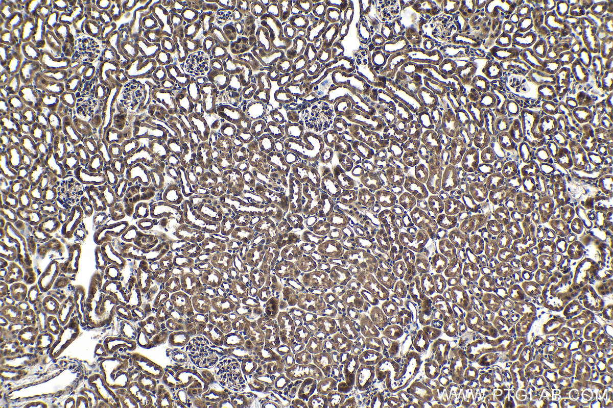
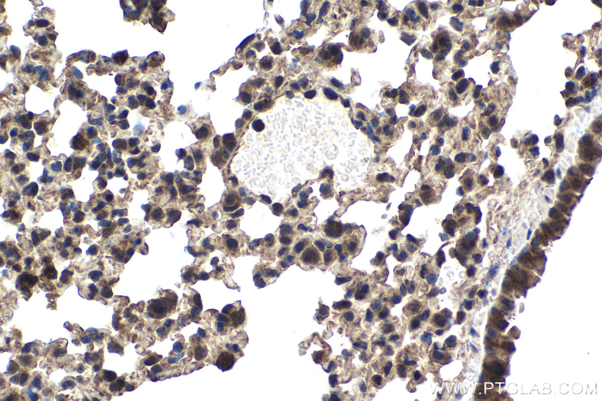
IHCeasy® NCK1 Ready-To-Use IHC Kit
NCK1 Ready-to-use reagent kit for IHC.
Reactivity
Human, Mouse, Rat
Sample Type
FFPE tissue
Cat no : KHC1537
Synonyms
Cytoplasmic protein NCK1, NCK, Nck 1, NCK adaptor protein 1, NCK1, NCKalpha
Validation Data Gallery
Product Information
KHC1537 is a ready-to-use IHC kit for staining of NCK1. The kit provides all reagents, from antigen retrieval to cover slip mounting, that require little to no diluting or handling prior to use. Simply apply the reagents to your sample slide according to the protocol and you're steps away from obtaining high-quality IHC data.
| Product name | IHCeasy NCK1 Ready-To-Use IHC Kit |
| Sample type | FFPE tissue |
| Assay type | Immunohistochemistry |
| Primary antibody type | Rabbit Polyclonal |
| Secondary antibody type | Polymer-HRP-Goat anti-Rabbit |
| Reactivity | Human, Mouse, Rat |
Kit components
| Component | Size | Concentration |
|---|---|---|
| Antigen Retrieval Buffer | 100 mL | 50× |
| Washing Buffer | 100 mL ×2 | 20× |
| Blocking Buffer | 5 mL | RTU |
| Primary Antibody | 5 mL | RTU |
| Secondary Antibody | 5 mL | RTU |
| Chromogen Component A | 0.2 mL | RTU |
| Chromogen Component B | 4 mL | RTU |
| Signal Enhancer | 5 mL | RTU |
| Counter Staining Reagent | 5 mL | RTU |
| Mounting Media | 5 mL | RTU |
| Datasheet | 1 Copy | |
| Manual | 1 Copy |
Background Information
NCK family adaptor proteins function to couple tyrosine phosphorylation signals to regulate actin cytoskeletal reorganization that leads to cell motility. Cytoplasmic protein NCK1 (or NCK alpha) is an adapter protein which associates with tyrosine-phosphorylated growth factor receptors, such as KDR and PDGFRB, or their cellular substrates. NCK1 binds a number of intracellular proteins and influences various signaling pathways including GTPase-activating protein of Ras (RasGAP), which is responsible for the down-regulation of Ras. NCK1 is recently reported to regulate the UPR, which secondary to obesity impairs glucose homeostasis and INS actions.
Properties
| Storage Instructions | All the reagents are stored at 2-8°C. The kit is stable for 6 months from the date of receipt. |
| Synonyms | Cytoplasmic protein NCK1, NCK, Nck 1, NCK adaptor protein 1, NCK1, NCKalpha |








