IHCeasy® NCBP1 Ready-To-Use IHC Kit
NCBP1 Ready-to-use reagent kit for IHC.
Reactivity
Human, Mouse, Rat
Sample Type
FFPE tissue
Cat no : KHC1687
Synonyms
CBP80, NCBP, NCBP 80 kDa subunit, NCBP1
Validation Data Gallery
Product Information
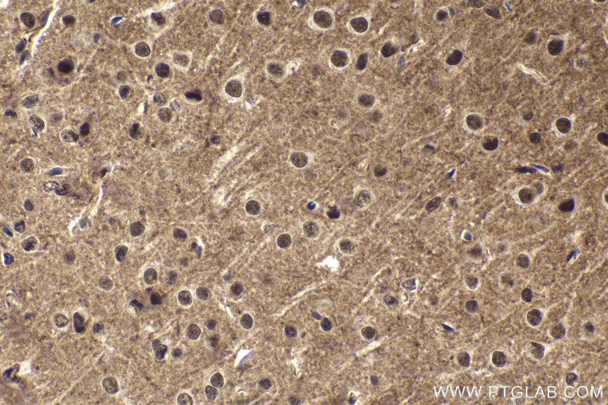
KHC1687 is a ready-to-use IHC kit for staining of NCBP1. The kit provides all reagents, from antigen retrieval to cover slip mounting, that require little to no diluting or handling prior to use. Simply apply the reagents to your sample slide according to the protocol and you're steps away from obtaining high-quality IHC data.
| Product name | IHCeasy NCBP1 Ready-To-Use IHC Kit |
| Sample type | FFPE tissue |
| Assay type | Immunohistochemistry |
| Primary antibody type | Rabbit Polyclonal |
| Secondary antibody type | Polymer-HRP-Goat anti-Rabbit |
| Reactivity | Human, Mouse, Rat |
Kit components
| Component | Size | Concentration |
|---|---|---|
| Antigen Retrieval Buffer | 100 mL | 50× |
| Washing Buffer | 100 mL ×2 | 20× |
| Blocking Buffer | 5 mL | RTU |
| Primary Antibody | 5 mL | RTU |
| Secondary Antibody | 5 mL | RTU |
| Chromogen Component A | 0.2 mL | RTU |
| Chromogen Component B | 4 mL | RTU |
| Signal Enhancer | 5 mL | RTU |
| Counter Staining Reagent | 5 mL | RTU |
| Mounting Media | 5 mL | RTU |
| Datasheet | 1 Copy | |
| Manual | 1 Copy |
Background Information
Nuclear cap binding protein subunit 1, 80kDa (NCBP1, synonyms: NCBP, CBP80) is a subunit of a cap-binding protein complex (CBC) that consists of a CBP20 subunit, which binds the cap, and a NCBP1 subunit, which ensures high-affinity cap binding. The CBC complex may play a role in pre-mRNA recognition and splicing.
Properties
| Storage Instructions | All the reagents are stored at 2-8°C. The kit is stable for 6 months from the date of receipt. |
| Synonyms | CBP80, NCBP, NCBP 80 kDa subunit, NCBP1 |





