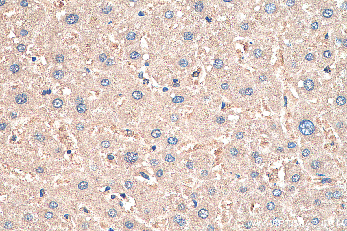
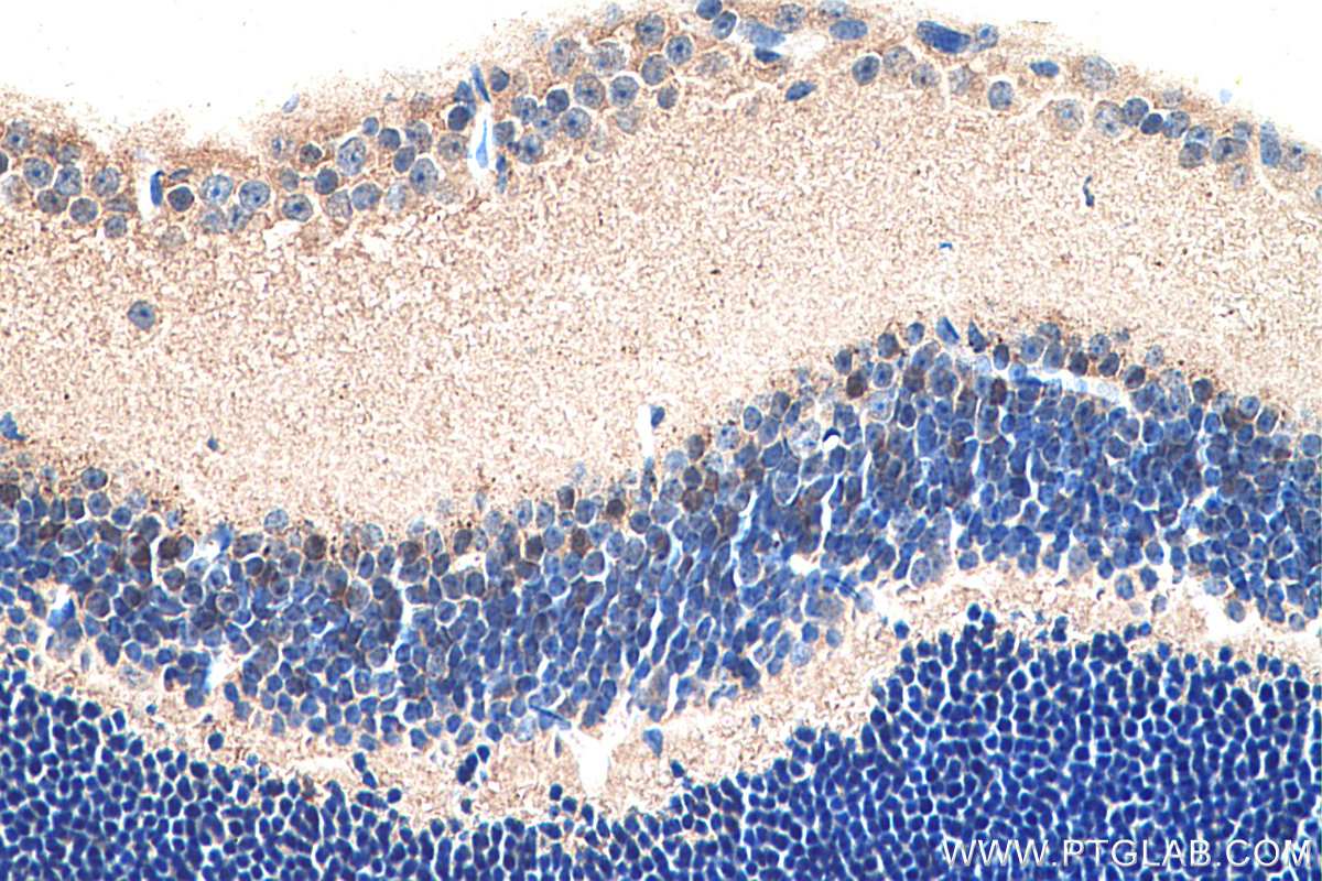
IHCeasy® MYO7A Ready-To-Use IHC Kit
MYO7A Ready-to-use reagent kit for IHC.
Reactivity
Human, Mouse, Rat
Sample Type
FFPE tissue
Cat no : KHC0358
Synonyms
DFNA11, DFNB2, MYO7A, myosin VIIA, MYOVIIA, MYU7A, NSRD2, USH1B
Validation Data Gallery
Product Information
KHC0358 is a ready-to-use IHC kit for staining of MYO7A. The kit provides all reagents, from antigen retrieval to cover slip mounting, that require little to no diluting or handling prior to use. Simply apply the reagents to your sample slide according to the protocol and you're steps away from obtaining high-quality IHC data.
| Product name | IHCeasy MYO7A Ready-To-Use IHC Kit |
| Sample type | FFPE tissue |
| Assay type | Immunohistochemistry |
| Primary antibody type | Rabbit Polyclonal |
| Secondary antibody type | Polymer-HRP-Goat anti-Rabbit |
| Reactivity | Human, Mouse, Rat |
Kit components
| Component | Size | Concentration |
|---|---|---|
| Antigen Retrieval Buffer | 100 mL | 50× |
| Washing Buffer | 100 mL ×2 | 20× |
| Blocking Buffer | 5 mL | RTU |
| Primary Antibody | 5 mL | RTU |
| Secondary Antibody | 5 mL | RTU |
| Chromogen Component A | 0.2 mL | RTU |
| Chromogen Component B | 4 mL | RTU |
| Signal Enhancer | 5 mL | RTU |
| Counter Staining Reagent | 5 mL | RTU |
| Mounting Media | 5 mL | RTU |
| Datasheet | 1 Copy | |
| Manual | 1 Copy |
Background Information
MYO7A, also named a USH1B, is one of myosins protein which are actin-based motor molecules with ATPase activity. Unconventional myosins serve in intracellular movements. Their highly divergent tails are presumed to bind to membranous compartments, which would be moved relative to actin filaments. In retina, MYO7A might play a role in trafficking of ribbon-synaptic vesicle complexes and renewal of the outer photoreceptors disks. In inner ear, it might maintain the rigidity of stereocilia during the dynamic movements of the bundle. It is involved in hair-cell vesicle trafficking of aminoglycosides, which are known to induce ototoxicity. Defects in MYO7A are the cause of Usher syndrome type 1B (USH1B). Defects in MYO7A are the cause of deafness autosomal recessive type 2 (DFNB2). Defects in MYO7A are the cause of deafness autosomal dominant type 11 (DFNA11).
Properties
| Storage Instructions | All the reagents are stored at 2-8°C. The kit is stable for 6 months from the date of receipt. |
| Synonyms | DFNA11, DFNB2, MYO7A, myosin VIIA, MYOVIIA, MYU7A, NSRD2, USH1B |







