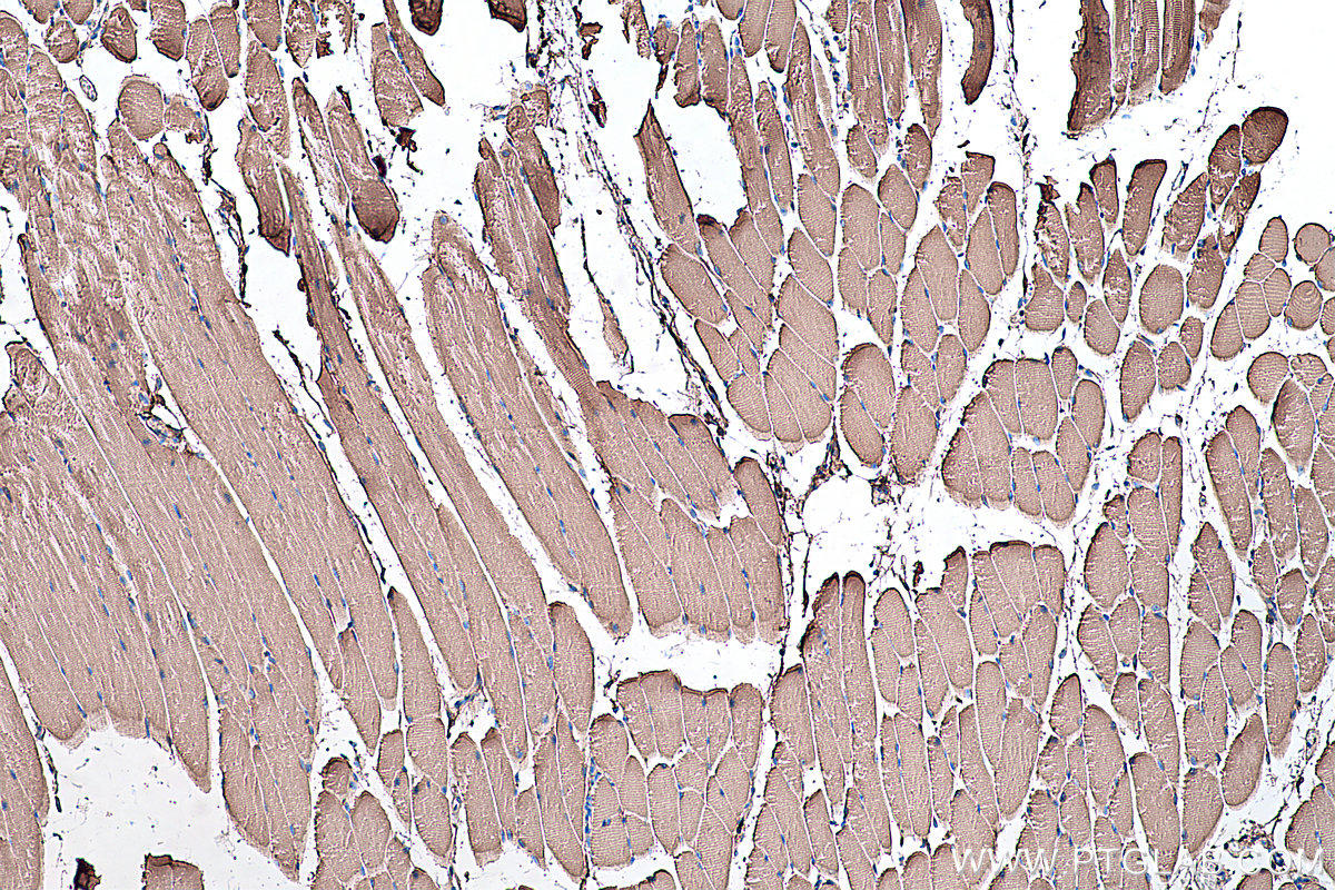
IHCeasy® MYH1 Ready-To-Use IHC Kit
MYH1 Ready-to-use reagent kit for IHC.
Reactivity
Human, Mouse, Rat
Sample Type
FFPE tissue
Cat no : KHC0364
Synonyms
MYH1, MYHa, MyHC 2x, MyHC 2X/D, MyHC IIx/d, MYHSA1, Myosin 1, Myosin heavy chain 1, Myosin heavy chain 2x, Myosin heavy chain IIx/d
Validation Data Gallery
Product Information
KHC0364 is a ready-to-use IHC kit for staining of MYH1. The kit provides all reagents, from antigen retrieval to cover slip mounting, that require little to no diluting or handling prior to use. Simply apply the reagents to your sample slide according to the protocol and you're steps away from obtaining high-quality IHC data.
| Product name | IHCeasy MYH1 Ready-To-Use IHC Kit |
| Sample type | FFPE tissue |
| Assay type | Immunohistochemistry |
| Primary antibody type | Mouse Monoclonal |
| Secondary antibody type | Polymer-HRP-Goat anti-Mouse |
| Reactivity | Human, Mouse, Rat |
Kit components
| Component | Size | Concentration |
|---|---|---|
| Antigen Retrieval Buffer | 100 mL | 50× |
| Washing Buffer | 100 mL ×2 | 20× |
| Blocking Buffer | 5 mL | RTU |
| Primary Antibody | 5 mL | RTU |
| Secondary Antibody | 5 mL | RTU |
| Chromogen Component A | 0.2 mL | RTU |
| Chromogen Component B | 4 mL | RTU |
| Signal Enhancer | 5 mL | RTU |
| Counter Staining Reagent | 5 mL | RTU |
| Mounting Media | 5 mL | RTU |
| Datasheet | 1 Copy | |
| Manual | 1 Copy |
Background Information
MYH1 (MyHC-2x) encodes the IIX isoform of myosin heavy chain (MyHC). Myosin is a large, ubiquitous, motor protein that generates force through its interaction with actin, thus involving it in a number of cellular processes including cytokinesis, karyokinesis, cell migration, and muscle contraction. Muscle fibers can be divided as type 1 (slow) and type 2 (fast). MYH1 belongs to type 2.
Properties
| Storage Instructions | All the reagents are stored at 2-8°C. The kit is stable for 6 months from the date of receipt. |
| Synonyms | MYH1, MYHa, MyHC 2x, MyHC 2X/D, MyHC IIx/d, MYHSA1, Myosin 1, Myosin heavy chain 1, Myosin heavy chain 2x, Myosin heavy chain IIx/d |



