IHCeasy® MRPL12 Ready-To-Use IHC Kit
MRPL12 Ready-to-use reagent kit for IHC.
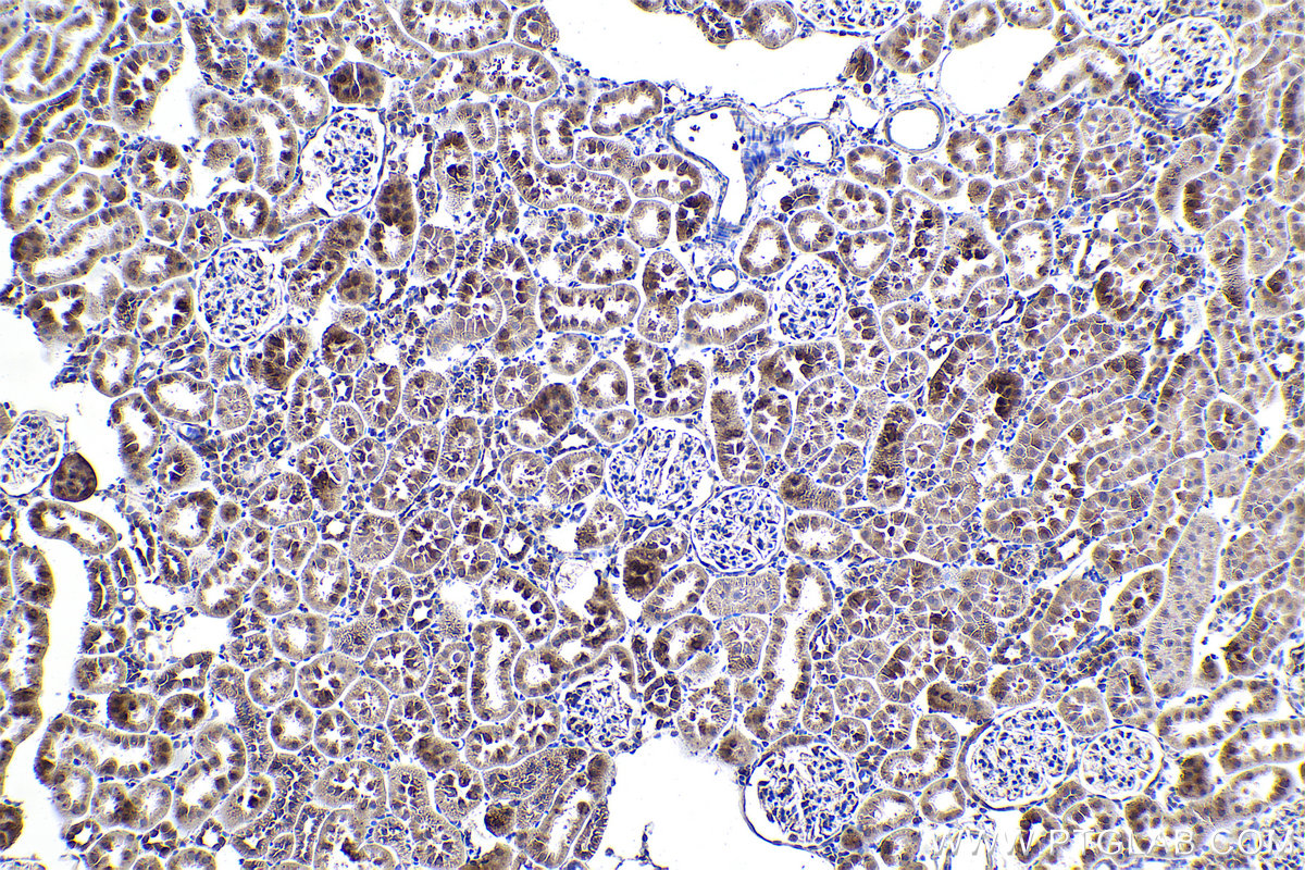
Reactivity
Human, Mouse, Rat
Sample Type
FFPE tissue
Cat no : KHC0893
Synonyms
5c5 2, L12mt, MRP L12, MRP L31/34, MRPL12, MRPL7, MRPL7/L12, RPML12
Validation Data Gallery
Product Information
KHC0893 is a ready-to-use IHC kit for staining of MRPL12. The kit provides all reagents, from antigen retrieval to cover slip mounting, that require little to no diluting or handling prior to use. Simply apply the reagents to your sample slide according to the protocol and you're steps away from obtaining high-quality IHC data.
| Product name | IHCeasy MRPL12 Ready-To-Use IHC Kit |
| Sample type | FFPE tissue |
| Assay type | Immunohistochemistry |
| Primary antibody type | Rabbit Polyclonal |
| Secondary antibody type | Polymer-HRP-Goat anti-Rabbit |
| Reactivity | Human, Mouse, Rat |
Kit components
| Component | Size | Concentration |
|---|---|---|
| Antigen Retrieval Buffer | 100 mL | 50× |
| Washing Buffer | 100 mL ×2 | 20× |
| Blocking Buffer | 5 mL | RTU |
| Primary Antibody | 5 mL | RTU |
| Secondary Antibody | 5 mL | RTU |
| Chromogen Component A | 0.2 mL | RTU |
| Chromogen Component B | 4 mL | RTU |
| Signal Enhancer | 5 mL | RTU |
| Counter Staining Reagent | 5 mL | RTU |
| Mounting Media | 5 mL | RTU |
| Datasheet | 1 Copy | |
| Manual | 1 Copy |
Background Information
Mammalian MRPL12 was the first mitochondrial ribosomal protein to be characterized, and is encoded by a nuclear gene. The protein forms a homodimer, localizes predominantly to mitochondria and binds to the large mitochondrial ribosomal subunit. It is required for CycD/Cdk4-induced cell growth. In addition, forming a ribosomal stalk with MRPL7, MRPL12 is required for the recruitment of translation elongation factors Tu and G to the large ribosomal subunit. It also a part of a novel regulatory mechanism that coordinates mitochondrial transcription with translation and/or ribosome biogenesis during human mitochondrial gene expression.
Properties
| Storage Instructions | All the reagents are stored at 2-8°C. The kit is stable for 6 months from the date of receipt. |
| Synonyms | 5c5 2, L12mt, MRP L12, MRP L31/34, MRPL12, MRPL7, MRPL7/L12, RPML12 |





