IHCeasy® MNT Ready-To-Use IHC Kit
MNT Ready-to-use reagent kit for IHC.
Reactivity
Human, Mouse
Sample Type
FFPE tissue
Cat no : KHC1892
Synonyms
bHLHd3, MAD6, MAX binding protein, Max binding protein MNT, MNT, MXD6, Myc antagonist MNT, Protein ROX, ROX
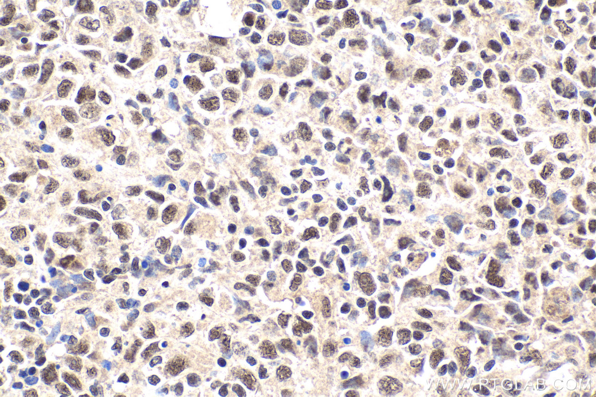
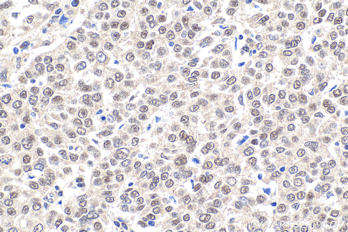
Validation Data Gallery
Product Information
KHC1892 is a ready-to-use IHC kit for staining of MNT. The kit provides all reagents, from antigen retrieval to cover slip mounting, that require little to no diluting or handling prior to use. Simply apply the reagents to your sample slide according to the protocol and you're steps away from obtaining high-quality IHC data.
| Product name | IHCeasy MNT Ready-To-Use IHC Kit |
| Sample type | FFPE tissue |
| Assay type | Immunohistochemistry |
| Primary antibody type | Rabbit Polyclonal |
| Secondary antibody type | Polymer-HRP-Goat anti-Rabbit |
| Reactivity | Human, Mouse |
Kit components
| Component | Size | Concentration |
|---|---|---|
| Antigen Retrieval Buffer | 100 mL | 50× |
| Washing Buffer | 100 mL ×2 | 20× |
| Blocking Buffer | 5 mL | RTU |
| Primary Antibody | 5 mL | RTU |
| Secondary Antibody | 5 mL | RTU |
| Chromogen Component A | 0.2 mL | RTU |
| Chromogen Component B | 4 mL | RTU |
| Signal Enhancer | 5 mL | RTU |
| Counter Staining Reagent | 5 mL | RTU |
| Mounting Media | 5 mL | RTU |
| Datasheet | 1 Copy | |
| Manual | 1 Copy |
Background Information
Mnt (Max binding protein), also known as MAD6, ROX, bHLHd3 (class D basic helix-loop-helix protein 3) or MXD6, is a 582 amino acid nuclear protein that forms a complex with Max (Myc-associated factor X) to repress transcription. Mnt contains one basic helix-loop-helix (bHLH) domain and is encoded by a gene that maps to human chromosome 17p13.3. Chromosome 17 comprises over 2.5% of the human genome and encodes over 1,200 genes. Two key tumor suppressor genes are associated with chromosome 17, namely, p53 and BRCA1. Tumor suppressor p53 is necessary for maintenance of cellular genetic integrity by moderating cell fate through DNA repair versus cell death. Like p53, BRCA1 is directly involved in DNA repair, though specifically it is recognized as a genetic determinant of early onset breast cancer and predisposition to cancers of the ovary, colon, prostate gland and fallopian tubes.
Properties
| Storage Instructions | All the reagents are stored at 2-8°C. The kit is stable for 6 months from the date of receipt. |
| Synonyms | bHLHd3, MAD6, MAX binding protein, Max binding protein MNT, MNT, MXD6, Myc antagonist MNT, Protein ROX, ROX |




