IHCeasy® MMP3 Ready-To-Use IHC Kit
MMP3 Ready-to-use reagent kit for IHC.
Cat no : KHC0109
Synonyms
CHDS6, Matrix metalloproteinase 3, MMP 3, MMP3, SL 1, STMY, STMY1, STR1, Stromelysin 1, Transin 1
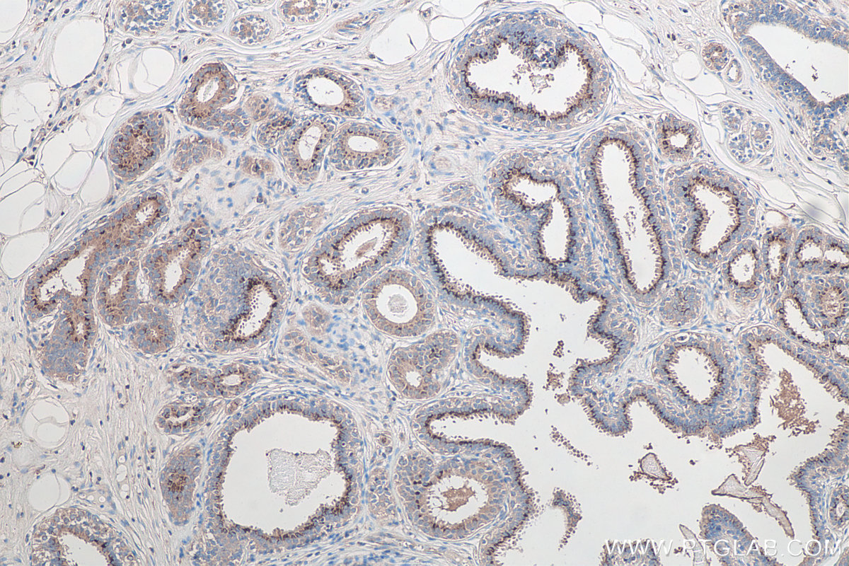
Validation Data Gallery
Product Information
KHC0109 is a ready-to-use IHC kit for staining of MMP3. The kit provides all reagents, from antigen retrieval to cover slip mounting, that require little to no diluting or handling prior to use. Simply apply the reagents to your sample slide according to the protocol and you're steps away from obtaining high-quality IHC data.
| Product name | IHCeasy MMP3 Ready-To-Use IHC Kit |
| Sample type | FFPE tissue |
| Assay type | Immunohistochemistry |
| Primary antibody type | Mouse Monoclonal |
| Secondary antibody type | Polymer-HRP-Goat anti-Mouse |
| Reactivity | Human, Mouse, Rat |
Kit components
| Component | Size | Concentration |
|---|---|---|
| Antigen Retrieval Buffer | 100 mL | 50× |
| Washing Buffer | 100 mL ×2 | 20× |
| Blocking Buffer | 5 mL | RTU |
| Primary Antibody | 5 mL | RTU |
| Secondary Antibody | 5 mL | RTU |
| Chromogen Component A | 0.2 mL | RTU |
| Chromogen Component B | 4 mL | RTU |
| Signal Enhancer | 5 mL | RTU |
| Counter Staining Reagent | 5 mL | RTU |
| Mounting Media | 5 mL | RTU |
| Datasheet | 1 Copy | |
| Manual | 1 Copy |
Background Information
Matrix metalloproteinases (MMPs) play a critically important role in extracellular matrix remodeling and have been implicated in a number of key normal and pathologic processes.These proteases have come to represent important therapeutic and diagnostic targets for the treatment and detection of human cancers. MMP-3 activate procollagenase via two pathways: slow direct activation and rapid activation in conjunction with tissue or plasma proteinases.
Properties
| Storage Instructions | All the reagents are stored at 2-8°C. The kit is stable for 6 months from the date of receipt. |
| Synonyms | CHDS6, Matrix metalloproteinase 3, MMP 3, MMP3, SL 1, STMY, STMY1, STR1, Stromelysin 1, Transin 1 |
Publications
| Application | Title |
|---|---|
Int Urogynecol J Effect of Vaginal Microecological Alterations on Female Pelvic Organ Prolapse |




