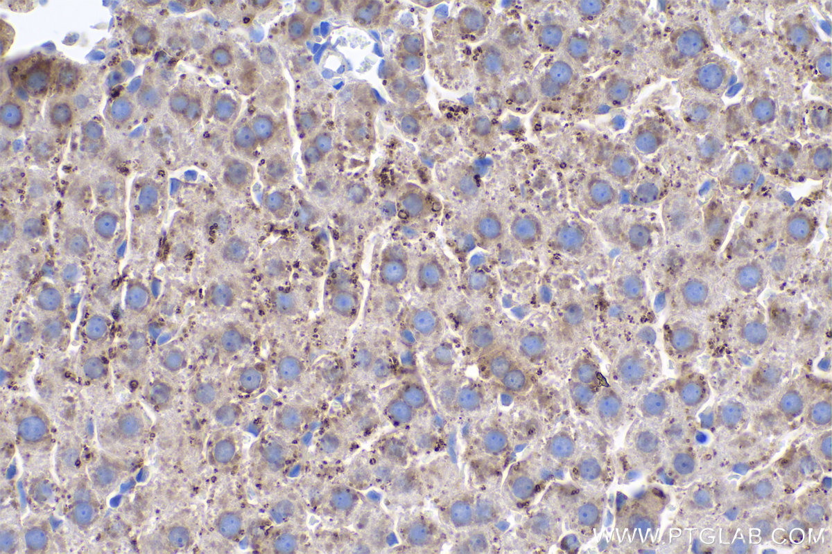
IHCeasy® METTL7A Ready-To-Use IHC Kit
METTL7A Ready-to-use reagent kit for IHC.
Reactivity
Human, Rat
Sample Type
FFPE tissue
Cat no : KHC0532
Synonyms
AAM B, DKFZp586A0522, methyltransferase like 7A, METTL7A, Protein AAM B, UNQ1902/PRO4348
Validation Data Gallery
Product Information
KHC0532 is a ready-to-use IHC kit for staining of METTL7A. The kit provides all reagents, from antigen retrieval to cover slip mounting, that require little to no diluting or handling prior to use. Simply apply the reagents to your sample slide according to the protocol and you're steps away from obtaining high-quality IHC data.
| Product name | IHCeasy METTL7A Ready-To-Use IHC Kit |
| Sample type | FFPE tissue |
| Assay type | Immunohistochemistry |
| Primary antibody type | Mouse Monoclonal |
| Secondary antibody type | Polymer-HRP-Goat anti-Mouse |
| Reactivity | Human, Rat |
Kit components
| Component | Size | Concentration |
|---|---|---|
| Antigen Retrieval Buffer | 100 mL | 50× |
| Washing Buffer | 100 mL ×2 | 20× |
| Blocking Buffer | 5 mL | RTU |
| Primary Antibody | 5 mL | RTU |
| Secondary Antibody | 5 mL | RTU |
| Chromogen Component A | 0.2 mL | RTU |
| Chromogen Component B | 4 mL | RTU |
| Signal Enhancer | 5 mL | RTU |
| Counter Staining Reagent | 5 mL | RTU |
| Mounting Media | 5 mL | RTU |
| Datasheet | 1 Copy | |
| Manual | 1 Copy |
Background Information
Methyltransferase like 7A (METTL7A) is a 244 amino acid protein which belongs to the methyltransferase super family. Methyltransferase can transfer a methyl group from a donor to an acceptor. Methylation may be linked to cancer development as methylation of tumor suppressor genes promotes tumorgenesis and metastasis.
Properties
| Storage Instructions | All the reagents are stored at 2-8°C. The kit is stable for 6 months from the date of receipt. |
| Synonyms | AAM B, DKFZp586A0522, methyltransferase like 7A, METTL7A, Protein AAM B, UNQ1902/PRO4348 |




