IHCeasy® MCM3 Ready-To-Use IHC Kit
MCM3 Ready-to-use reagent kit for IHC.
Reactivity
Human, Mouse, Rat
Sample Type
FFPE tissue
Cat no : KHC0915
Synonyms
HCC5, MCM3, P1 MCM3, P1.h, p102, RLF subunit beta, RLFB
Validation Data Gallery
Product Information
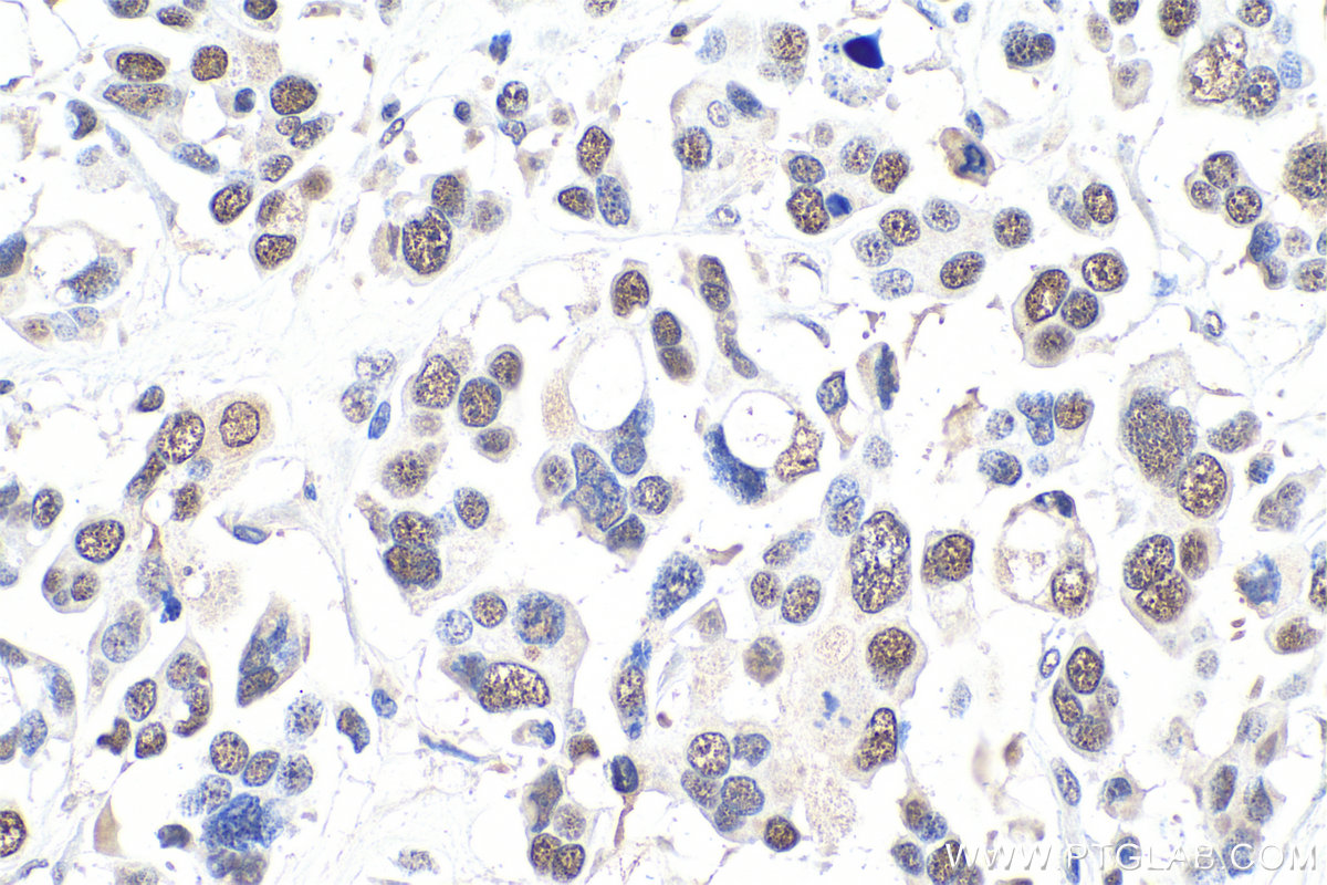
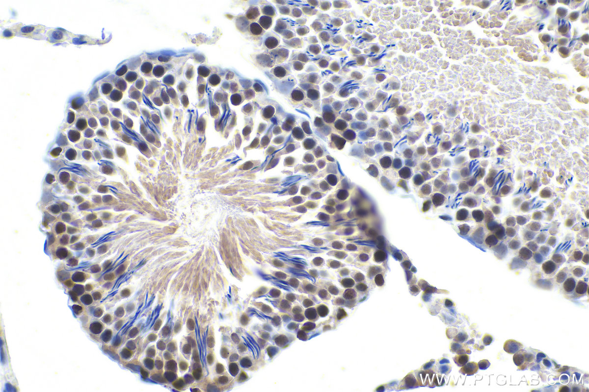
KHC0915 is a ready-to-use IHC kit for staining of MCM3. The kit provides all reagents, from antigen retrieval to cover slip mounting, that require little to no diluting or handling prior to use. Simply apply the reagents to your sample slide according to the protocol and you're steps away from obtaining high-quality IHC data.
| Product name | IHCeasy MCM3 Ready-To-Use IHC Kit |
| Sample type | FFPE tissue |
| Assay type | Immunohistochemistry |
| Primary antibody type | Rabbit Polyclonal |
| Secondary antibody type | Polymer-HRP-Goat anti-Rabbit |
| Reactivity | Human, Mouse, Rat |
Kit components
| Component | Size | Concentration |
|---|---|---|
| Antigen Retrieval Buffer | 100 mL | 50× |
| Washing Buffer | 100 mL ×2 | 20× |
| Blocking Buffer | 5 mL | RTU |
| Primary Antibody | 5 mL | RTU |
| Secondary Antibody | 5 mL | RTU |
| Chromogen Component A | 0.2 mL | RTU |
| Chromogen Component B | 4 mL | RTU |
| Signal Enhancer | 5 mL | RTU |
| Counter Staining Reagent | 5 mL | RTU |
| Mounting Media | 5 mL | RTU |
| Datasheet | 1 Copy | |
| Manual | 1 Copy |
Background Information
MCM3, also named as HCC5, P1-MCM3, p102, RLF subunit beta and RLFB, belongs to the MCM family. MCM3 is essential for the initiation of DNA replication and is involved in ensuring that DNA replication is initiated precisely once per cell cycle. The overexpression of MCM3 is related to proliferation of tumor cells.
Properties
| Storage Instructions | All the reagents are stored at 2-8°C. The kit is stable for 6 months from the date of receipt. |
| Synonyms | HCC5, MCM3, P1 MCM3, P1.h, p102, RLF subunit beta, RLFB |







