IHCeasy® MAOB Ready-To-Use IHC Kit
MAOB Ready-to-use reagent kit for IHC.
Reactivity
Human, Mouse, Rat
Sample Type
FFPE tissue
Cat no : KHC3204
Synonyms
Amine oxidase [flavin-containing] B, EC:1.4.3.21, MAO B, MAO-B, monoamine oxidase B
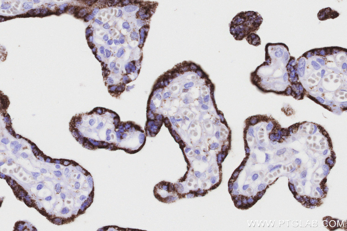
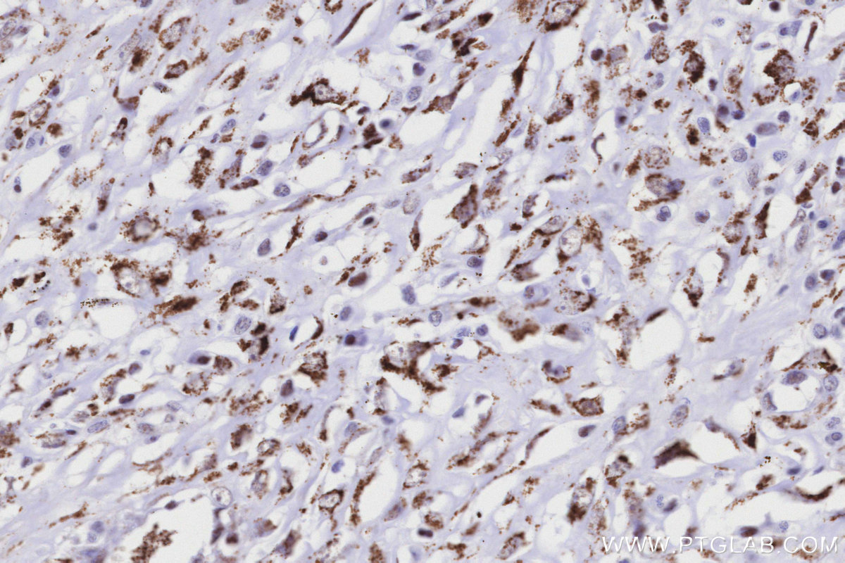
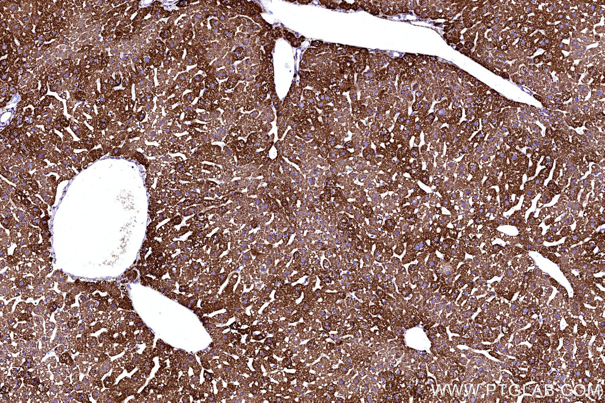
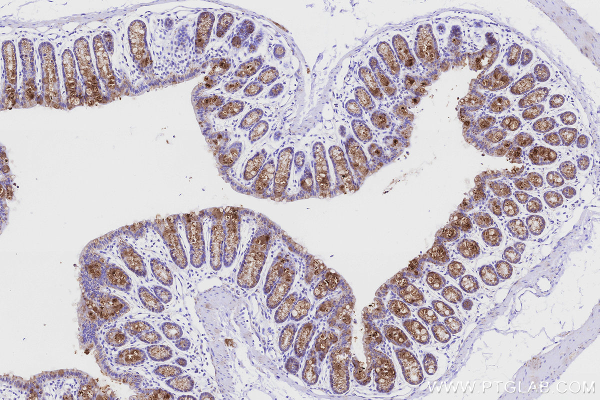
Validation Data Gallery
Product Information
KHC3204 is a ready-to-use IHC kit for staining of MAOB. The kit provides all reagents, from antigen retrieval to cover slip mounting, that require little to no diluting or handling prior to use. Simply apply the reagents to your sample slide according to the protocol and you're steps away from obtaining high-quality IHC data.
| Product name | IHCeasy® MAOB Ready-To-Use IHC Kit |
| Sample type | FFPE tissue |
| Assay type | Immunohistochemistry |
| Primary antibody type | Rabbit Recombinant |
| Secondary antibody type | Polymer-HRP-Goat anti-Rabbit |
| Reactivity | Human, Mouse, Rat |
Kit components
| Component | Size | Concentration |
|---|---|---|
| Antigen Retrieval Buffer | 100 mL | 50× |
| Washing Buffer | 100 mL ×2 | 20× |
| Blocking Buffer | 5 mL | RTU |
| Primary Antibody | 5 mL | RTU |
| Secondary Antibody | 5 mL | RTU |
| Chromogen Component A | 0.2 mL | RTU |
| Chromogen Component B | 4 mL | RTU |
| Signal Enhancer | 5 mL | RTU |
| Counter Staining Reagent | 5 mL | RTU |
| Mounting Media | 5 mL | RTU |
| Datasheet | 1 Copy | |
| Manual | 1 Copy |
Background Information
The MAOB gene encodes a 520-amino acid protein, shows 70% amino acid identity to MAOA. MAOA and MAOB are present in the outer mitochondrial membrane in the central nervous system and peripheral tissues.A comparison of highly purified human placental MAOA and human liver MAOB revealed that the A form of the enzyme is larger by 2 kDa and only one potential N-glycosylation site exists in each protein, with each site in a different relevant position.
Properties
| Storage Instructions | All the reagents are stored at 2-8°C. The kit is stable for 6 months from the date of receipt. |
| Synonyms | Amine oxidase [flavin-containing] B, EC:1.4.3.21, MAO B, MAO-B, monoamine oxidase B |







