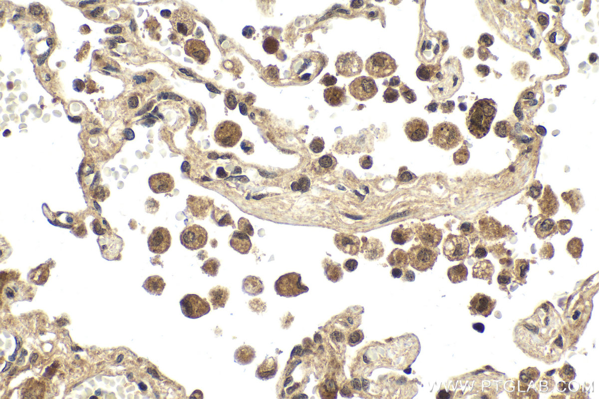
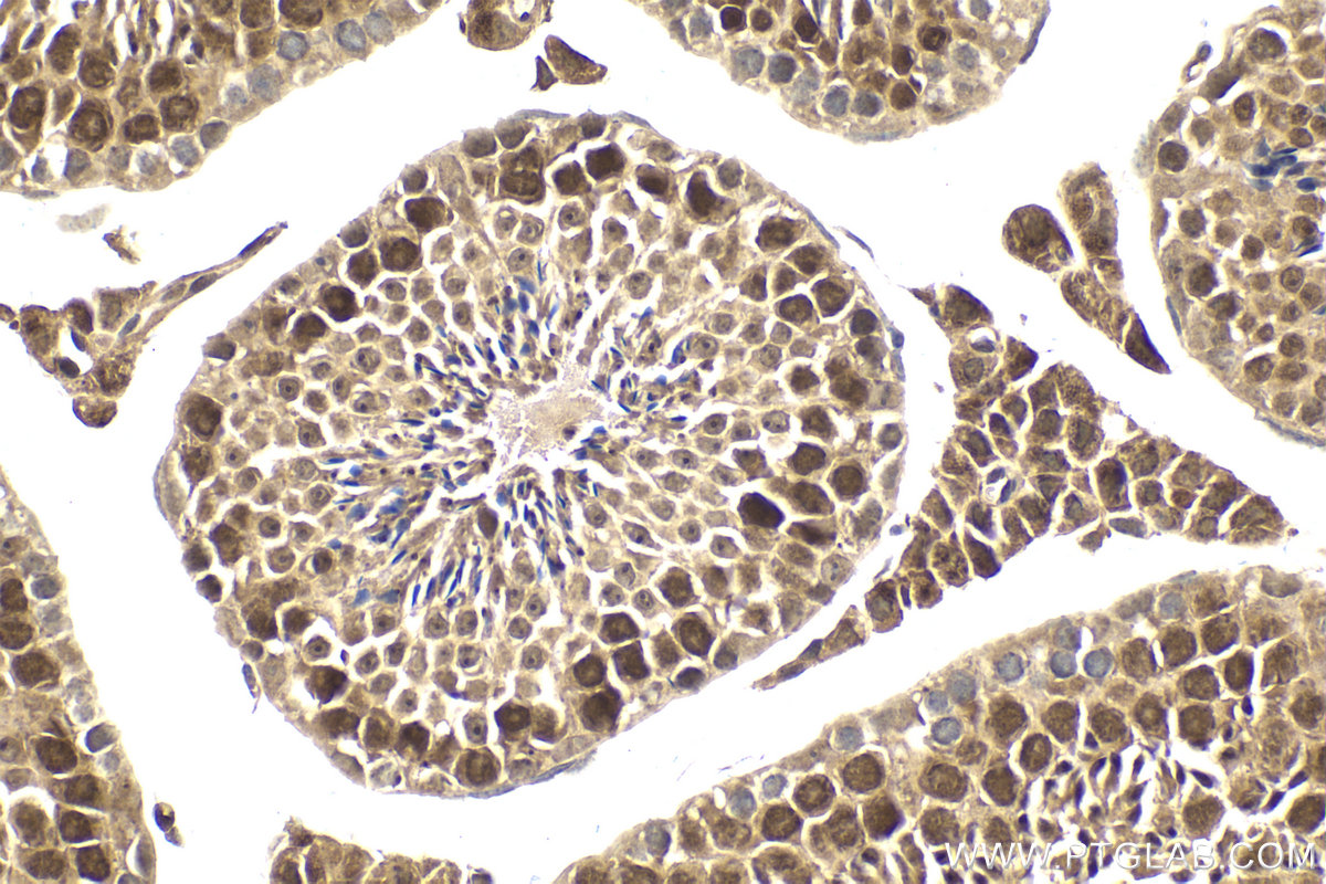
IHCeasy® MAD2L2 Ready-To-Use IHC Kit
MAD2L2 Ready-to-use reagent kit for IHC.
Reactivity
Human, Mouse, Rat
Sample Type
FFPE tissue
Cat no : KHC1987
Synonyms
REV7, Mitotic arrest deficient 2-like protein 2, MAD2-like protein 2, MAD2B, MAD2 like protein 2
Validation Data Gallery
Product Information
KHC1987 is a ready-to-use IHC kit for staining of MAD2L2. The kit provides all reagents, from antigen retrieval to cover slip mounting, that require little to no diluting or handling prior to use. Simply apply the reagents to your sample slide according to the protocol and you're steps away from obtaining high-quality IHC data.
| Product name | IHCeasy MAD2L2 Ready-To-Use IHC Kit |
| Sample type | FFPE tissue |
| Assay type | Immunohistochemistry |
| Primary antibody type | Mouse Monoclonal |
| Secondary antibody type | Polymer-HRP-Goat anti-Mouse |
| Reactivity | Human, Mouse, Rat |
Kit components
| Component | Size | Concentration |
|---|---|---|
| Antigen Retrieval Buffer | 100 mL | 50× |
| Washing Buffer | 100 mL ×2 | 20× |
| Blocking Buffer | 5 mL | RTU |
| Primary Antibody | 5 mL | RTU |
| Secondary Antibody | 5 mL | RTU |
| Chromogen Component A | 0.2 mL | RTU |
| Chromogen Component B | 4 mL | RTU |
| Signal Enhancer | 5 mL | RTU |
| Counter Staining Reagent | 5 mL | RTU |
| Mounting Media | 5 mL | RTU |
| Datasheet | 1 Copy | |
| Manual | 1 Copy |
Background Information
MAD family, together with BUB and Mps1,Cdc20k, play roles in the mitotic spindle checkpoint. MAD2L2 is one of the MAD family. It can mediate the second polymerase switching in translation DNA synthesis by mediating the interaction between the error-prone DNA polymerase zeta catalytic subunit REV3L and the inserter polymerase REV1. Through regulation of the JNK-mediate phosphorylation and activation of the transcriptional activator ELK1, MAD2L2 involves in cellular response to DNA damage. Also it has role in the progression of cell cycle and peithelial-mesenchymal transdifferentiation.
Properties
| Storage Instructions | All the reagents are stored at 2-8°C. The kit is stable for 6 months from the date of receipt. |
| Synonyms | REV7, Mitotic arrest deficient 2-like protein 2, MAD2-like protein 2, MAD2B, MAD2 like protein 2 |






