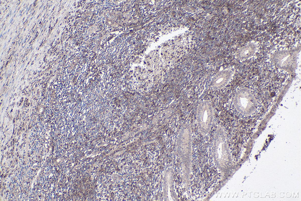
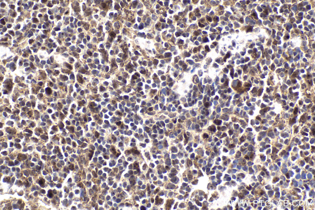
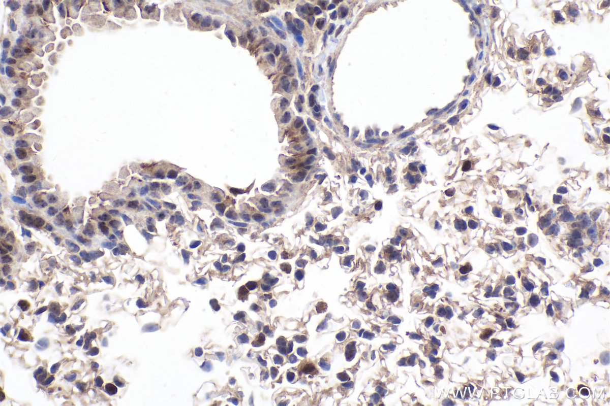
IHCeasy® LITAF Ready-To-Use IHC Kit
LITAF Ready-to-use reagent kit for IHC.
Reactivity
Human, Mouse, Rat
Sample Type
FFPE tissue
Cat no : KHC1896
Synonyms
LITAF, LPS induced TNF alpha factor, p53 induced gene 7 protein, PIG7, SIMPLE, TP53I7
Validation Data Gallery
Product Information
KHC1896 is a ready-to-use IHC kit for staining of LITAF. The kit provides all reagents, from antigen retrieval to cover slip mounting, that require little to no diluting or handling prior to use. Simply apply the reagents to your sample slide according to the protocol and you're steps away from obtaining high-quality IHC data.
| Product name | IHCeasy LITAF Ready-To-Use IHC Kit |
| Sample type | FFPE tissue |
| Assay type | Immunohistochemistry |
| Primary antibody type | Rabbit Polyclonal |
| Secondary antibody type | Polymer-HRP-Goat anti-Rabbit |
| Reactivity | Human, Mouse, Rat |
Kit components
| Component | Size | Concentration |
|---|---|---|
| Antigen Retrieval Buffer | 100 mL | 50× |
| Washing Buffer | 100 mL ×2 | 20× |
| Blocking Buffer | 5 mL | RTU |
| Primary Antibody | 5 mL | RTU |
| Secondary Antibody | 5 mL | RTU |
| Chromogen Component A | 0.2 mL | RTU |
| Chromogen Component B | 4 mL | RTU |
| Signal Enhancer | 5 mL | RTU |
| Counter Staining Reagent | 5 mL | RTU |
| Mounting Media | 5 mL | RTU |
| Datasheet | 1 Copy | |
| Manual | 1 Copy |
Background Information
Lipopolysaccharide-induced TNF factor(LITAF) is a transcription factor that identified as a regulator of TNF-alpha gene expression. It may has a role in protein degradation pathways and in tumor necrosis factor alpha(TNF-alpha) gene expression. Also it may regulate the expression of the CCL2/MCP-1 chemokine through NFKB1.Defects in LITAF may be involved in extramammary Paget disease (EMPD) carcinogenesis.
Properties
| Storage Instructions | All the reagents are stored at 2-8°C. The kit is stable for 6 months from the date of receipt. |
| Synonyms | LITAF, LPS induced TNF alpha factor, p53 induced gene 7 protein, PIG7, SIMPLE, TP53I7 |







