IHCeasy® L1CAM Ready-To-Use IHC Kit
L1CAM Ready-to-use reagent kit for IHC.
Reactivity
Human
Sample Type
FFPE tissue
Cat no : KHC0112
Synonyms
CAML1, CD171, HSAS, HSAS1, L1 cell adhesion molecule, L1CAM, MASA, MIC5, N CAM L1, N CAML1, NCAM L1, S10, SPG1
Validation Data Gallery
Product Information
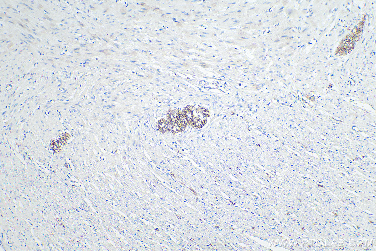
KHC0112 is a ready-to-use IHC kit for staining of L1CAM. The kit provides all reagents, from antigen retrieval to cover slip mounting, that require little to no diluting or handling prior to use. Simply apply the reagents to your sample slide according to the protocol and you're steps away from obtaining high-quality IHC data.
| Product name | IHCeasy L1CAM Ready-To-Use IHC Kit |
| Sample type | FFPE tissue |
| Assay type | Immunohistochemistry |
| Primary antibody type | Mouse Monoclonal |
| Secondary antibody type | Polymer-HRP-Goat anti-Mouse |
| Reactivity | Human |
Kit components
| Component | Size | Concentration |
|---|---|---|
| Antigen Retrieval Buffer | 100 mL | 50× |
| Washing Buffer | 100 mL ×2 | 20× |
| Blocking Buffer | 5 mL | RTU |
| Primary Antibody | 5 mL | RTU |
| Secondary Antibody | 5 mL | RTU |
| Chromogen Component A | 0.2 mL | RTU |
| Chromogen Component B | 4 mL | RTU |
| Signal Enhancer | 5 mL | RTU |
| Counter Staining Reagent | 5 mL | RTU |
| Mounting Media | 5 mL | RTU |
| Datasheet | 1 Copy | |
| Manual | 1 Copy |
Background Information
L1CAM, also known as NCAM-L1 or CD171, is a cell adhesion molecule of the immunoglobulin superfamily. It is a 200-220 kDa transmembrane glycoprotein composed of six Ig-like domains and five fibronectin type III repeats followed by a transmembrane region and a highly conserved cytoplasmic tail. L1CAM is primarily expressed in the nervous system and is involved in neuron-neuron adhesion, neurite fasciculation, outgrowth of neurites, cerebellar granule cell migration, neurite outgrowth on Schwann cells and interactions among epithelial cells of intestinal crypts. L1CAM is overexpressed in many human cancers and is often associated with bad prognosis.
Properties
| Storage Instructions | All the reagents are stored at 2-8°C. The kit is stable for 6 months from the date of receipt. |
| Synonyms | CAML1, CD171, HSAS, HSAS1, L1 cell adhesion molecule, L1CAM, MASA, MIC5, N CAM L1, N CAML1, NCAM L1, S10, SPG1 |

