IHCeasy® KTELC1 Ready-To-Use IHC Kit
KTELC1 Ready-to-use reagent kit for IHC.
Reactivity
Human, Mouse, Rat
Sample Type
FFPE tissue
Cat no : KHC3292
Synonyms
C3orf9, CAP10 like 46 kDa protein, CAP10-like 46 kDa protein, CLP46, EC:2.4.1.376
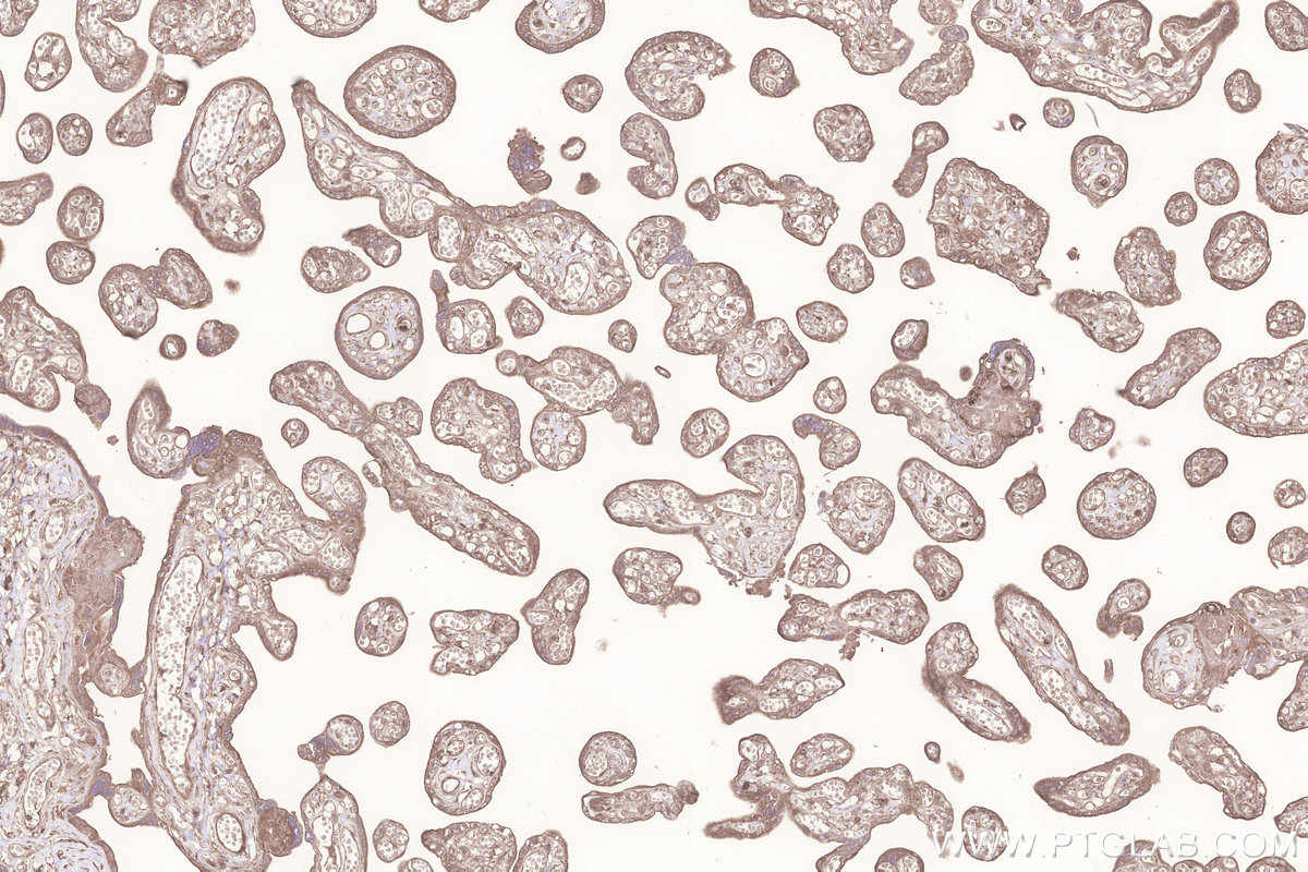
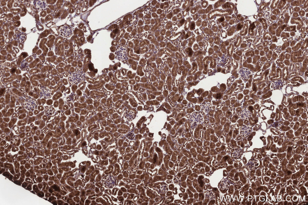
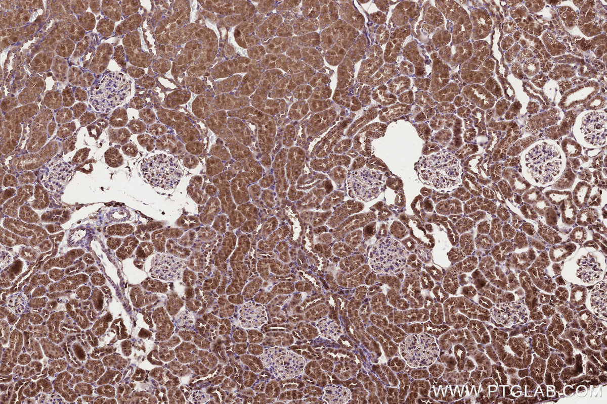
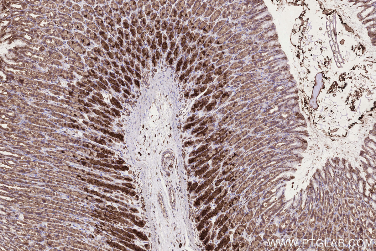
Validation Data Gallery
Product Information
KHC3292 is a ready-to-use IHC kit for staining of KTELC1. The kit provides all reagents, from antigen retrieval to cover slip mounting, that require little to no diluting or handling prior to use. Simply apply the reagents to your sample slide according to the protocol and you're steps away from obtaining high-quality IHC data.
| Product name | IHCeasy® KTELC1 Ready-To-Use IHC Kit |
| Sample type | FFPE tissue |
| Assay type | Immunohistochemistry |
| Primary antibody type | Rabbit Polyclonal |
| Secondary antibody type | Polymer-HRP-Goat anti-Rabbit |
| Reactivity | Human, Mouse, Rat |
Kit components
| Component | Size | Concentration |
|---|---|---|
| Antigen Retrieval Buffer | 100 mL | 50× |
| Washing Buffer | 100 mL ×2 | 20× |
| Blocking Buffer | 5 mL | RTU |
| Primary Antibody | 5 mL | RTU |
| Secondary Antibody | 5 mL | RTU |
| Chromogen Component A | 0.2 mL | RTU |
| Chromogen Component B | 4 mL | RTU |
| Signal Enhancer | 5 mL | RTU |
| Counter Staining Reagent | 5 mL | RTU |
| Mounting Media | 5 mL | RTU |
| Datasheet | 1 Copy | |
| Manual | 1 Copy |
Background Information
KTELC1 also termed as CLP46 is a glucosyltransferase, which implicates in Protein modification and glycosylation. KTELC1 is localized in endoplasmic reticulum lumen and abundantly expressed in liver, brain, heart, skeletal muscle, spleen, kidney, placenta, lung and peripheral blood leukocyte. KTELC1 may regulation in cell proliferation and Notch signal pathway.
Properties
| Storage Instructions | All the reagents are stored at 2-8°C. The kit is stable for 6 months from the date of receipt. |
| Synonyms | C3orf9, CAP10 like 46 kDa protein, CAP10-like 46 kDa protein, CLP46, EC:2.4.1.376 |






