IHCeasy® KLK11 Ready-To-Use IHC Kit
KLK11 Ready-to-use reagent kit for IHC.
Reactivity
Human, Mouse
Sample Type
FFPE tissue
Cat no : KHC1110
Synonyms
Hippostasin, hK11, Kallikrein 11, KLK11, PRSS20, Serine protease 20, TLSP, Trypsin like protease
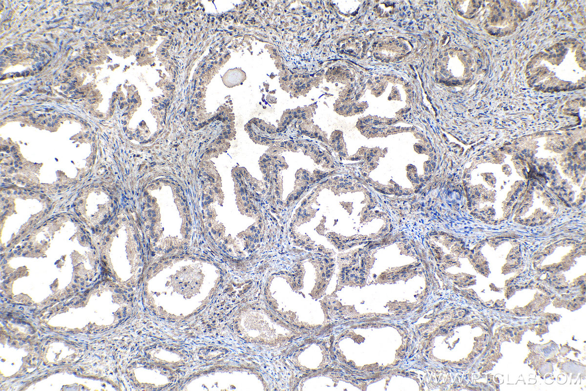
Validation Data Gallery
Product Information
KHC1110 is a ready-to-use IHC kit for staining of KLK11. The kit provides all reagents, from antigen retrieval to cover slip mounting, that require little to no diluting or handling prior to use. Simply apply the reagents to your sample slide according to the protocol and you're steps away from obtaining high-quality IHC data.
| Product name | IHCeasy KLK11 Ready-To-Use IHC Kit |
| Sample type | FFPE tissue |
| Assay type | Immunohistochemistry |
| Primary antibody type | Mouse Monoclonal |
| Secondary antibody type | Polymer-HRP-Goat anti-Mouse |
| Reactivity | Human, Mouse |
Kit components
| Component | Size | Concentration |
|---|---|---|
| Antigen Retrieval Buffer | 100 mL | 50× |
| Washing Buffer | 100 mL ×2 | 20× |
| Blocking Buffer | 5 mL | RTU |
| Primary Antibody | 5 mL | RTU |
| Secondary Antibody | 5 mL | RTU |
| Chromogen Component A | 0.2 mL | RTU |
| Chromogen Component B | 4 mL | RTU |
| Signal Enhancer | 5 mL | RTU |
| Counter Staining Reagent | 5 mL | RTU |
| Mounting Media | 5 mL | RTU |
| Datasheet | 1 Copy | |
| Manual | 1 Copy |
Background Information
KLK11(Kallikrein-11) is also named as PRSS20, TLSP and belongs to the peptidase S1 family and Kallikrein subfamily. It is a multifunctinal protease cleaving several substrates for kallikrein and trypsin and involved in normal physiology processes in bronchus. This full length protein has a signal peptide, a propeptide and four glycosylation sites.
Properties
| Storage Instructions | All the reagents are stored at 2-8°C. The kit is stable for 6 months from the date of receipt. |
| Synonyms | Hippostasin, hK11, Kallikrein 11, KLK11, PRSS20, Serine protease 20, TLSP, Trypsin like protease |




