IHCeasy® JMY Ready-To-Use IHC Kit
JMY Ready-to-use reagent kit for IHC.
Reactivity
Human, Mouse, Rat
Sample Type
FFPE tissue
Cat no : KHC1267
Synonyms
JMY, WHDC1L3
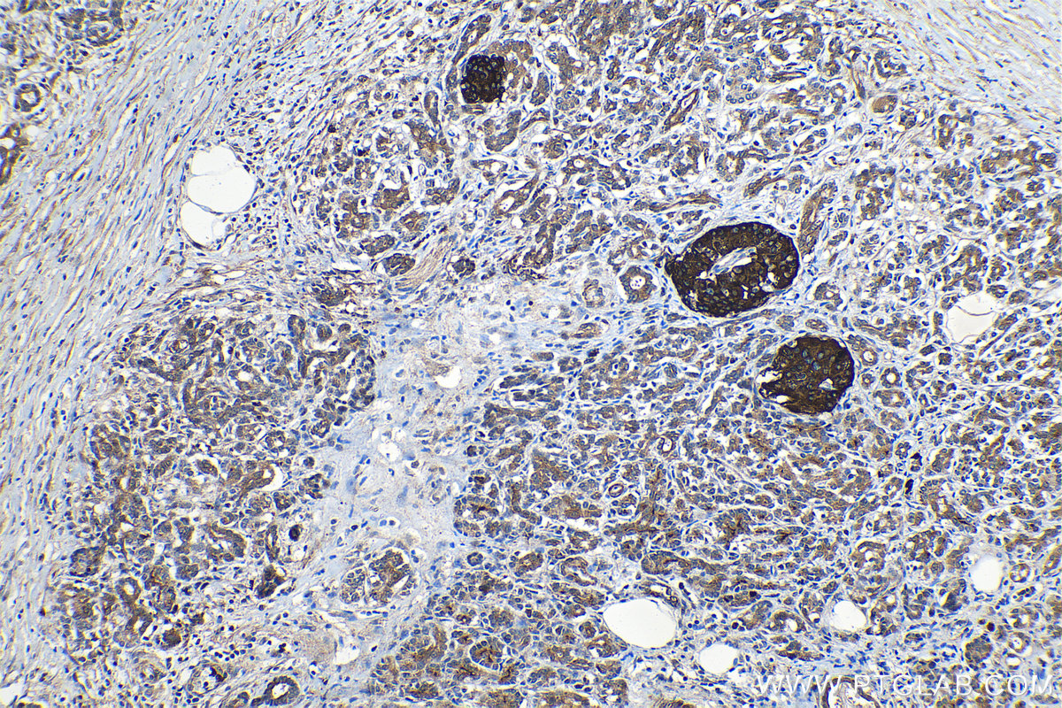
Validation Data Gallery
Product Information
KHC1267 is a ready-to-use IHC kit for staining of JMY. The kit provides all reagents, from antigen retrieval to cover slip mounting, that require little to no diluting or handling prior to use. Simply apply the reagents to your sample slide according to the protocol and you're steps away from obtaining high-quality IHC data.
| Product name | IHCeasy JMY Ready-To-Use IHC Kit |
| Sample type | FFPE tissue |
| Assay type | Immunohistochemistry |
| Primary antibody type | Rabbit Polyclonal |
| Secondary antibody type | Polymer-HRP-Goat anti-Rabbit |
| Reactivity | Human, Mouse, Rat |
Kit components
| Component | Size | Concentration |
|---|---|---|
| Antigen Retrieval Buffer | 100 mL | 50× |
| Washing Buffer | 100 mL ×2 | 20× |
| Blocking Buffer | 5 mL | RTU |
| Primary Antibody | 5 mL | RTU |
| Secondary Antibody | 5 mL | RTU |
| Chromogen Component A | 0.2 mL | RTU |
| Chromogen Component B | 4 mL | RTU |
| Signal Enhancer | 5 mL | RTU |
| Counter Staining Reagent | 5 mL | RTU |
| Mounting Media | 5 mL | RTU |
| Datasheet | 1 Copy | |
| Manual | 1 Copy |
Background Information
Junction mediating and regulatory protein(JMY) is a 988 amino acid protein, which contains one WH2 domain and belongs to the JMY family. IIn nucleus, JMY acts both a nuclear p53/TP53-cofactor and a cytoplasmic regulator of actin dynamics in response to cellular stress. In cytoplasm, JMY acts as a nucleation-promoting factor for both branched and unbranched actin filaments. Due to alternative splicing, several isoforms of JMY are produced, and these various isoforms have different influencing affects on p53 activation, with some isoforms markedly enhancing p53 responses compared to the other splicing variants.
Properties
| Storage Instructions | All the reagents are stored at 2-8°C. The kit is stable for 6 months from the date of receipt. |
| Synonyms | JMY, WHDC1L3 |







