IHCeasy® IVD Ready-To-Use IHC Kit
IVD Ready-to-use reagent kit for IHC.
Reactivity
Human, Mouse
Sample Type
FFPE tissue
Cat no : KHC3202
Synonyms
ACAD2, Butyryl-CoA dehydrogenase, EC:1.3.8.1, EC:1.3.8.4, Isovaleryl-CoA dehydrogenase, mitochondrial
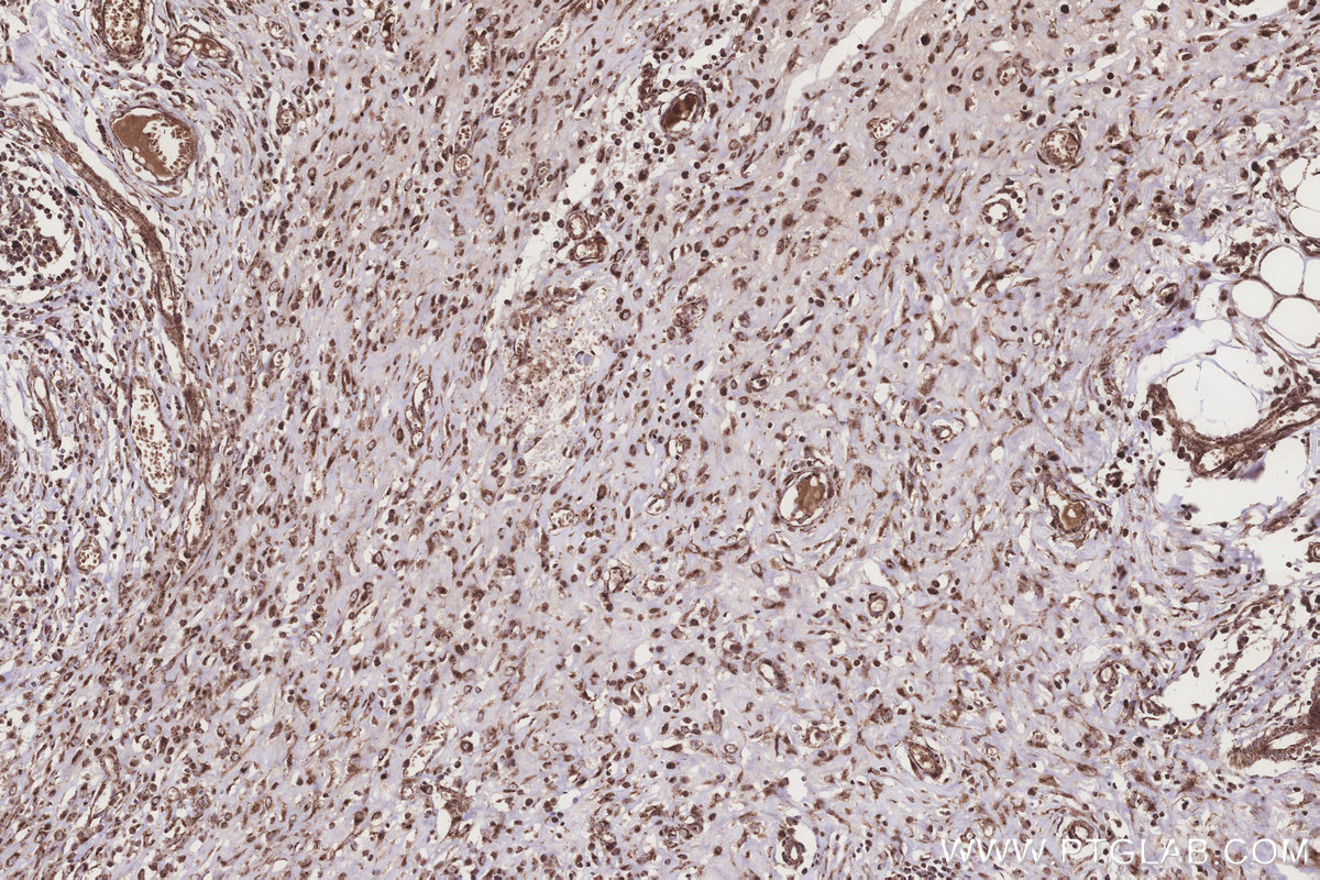
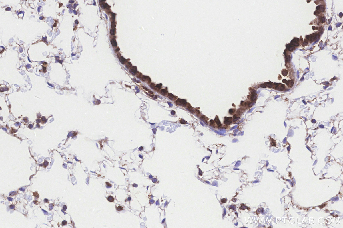
Validation Data Gallery
Product Information
KHC3202 is a ready-to-use IHC kit for staining of IVD. The kit provides all reagents, from antigen retrieval to cover slip mounting, that require little to no diluting or handling prior to use. Simply apply the reagents to your sample slide according to the protocol and you're steps away from obtaining high-quality IHC data.
| Product name | IHCeasy® IVD Ready-To-Use IHC Kit |
| Sample type | FFPE tissue |
| Assay type | Immunohistochemistry |
| Primary antibody type | Mouse Monoclonal |
| Secondary antibody type | Polymer-HRP-Goat anti-Mouse |
| Reactivity | Human, Mouse |
Kit components
| Component | Size | Concentration |
|---|---|---|
| Antigen Retrieval Buffer | 100 mL | 50× |
| Washing Buffer | 100 mL ×2 | 20× |
| Blocking Buffer | 5 mL | RTU |
| Primary Antibody | 5 mL | RTU |
| Secondary Antibody | 5 mL | RTU |
| Chromogen Component A | 0.2 mL | RTU |
| Chromogen Component B | 4 mL | RTU |
| Signal Enhancer | 5 mL | RTU |
| Counter Staining Reagent | 5 mL | RTU |
| Mounting Media | 5 mL | RTU |
| Datasheet | 1 Copy | |
| Manual | 1 Copy |
Background Information
IVD(Isovaleryl CoA dehydrogenase, mitochondrial) is a member of the acylCoA dehydrogenase family and is involved in the catabolism of leucine. In size, IVD precursor and mature proteins produced by class I mutants are indistinguishable from their normal counterparts.
Properties
| Storage Instructions | All the reagents are stored at 2-8°C. The kit is stable for 6 months from the date of receipt. |
| Synonyms | ACAD2, Butyryl-CoA dehydrogenase, EC:1.3.8.1, EC:1.3.8.4, Isovaleryl-CoA dehydrogenase, mitochondrial |



