IHCeasy® ITGB6 Ready-To-Use IHC Kit
ITGB6 Ready-to-use reagent kit for IHC.
Reactivity
Human, Mouse, Rat
Sample Type
FFPE tissue
Cat no : KHC0221
Synonyms
Integrin beta 6, integrin, beta 6, ITGB6
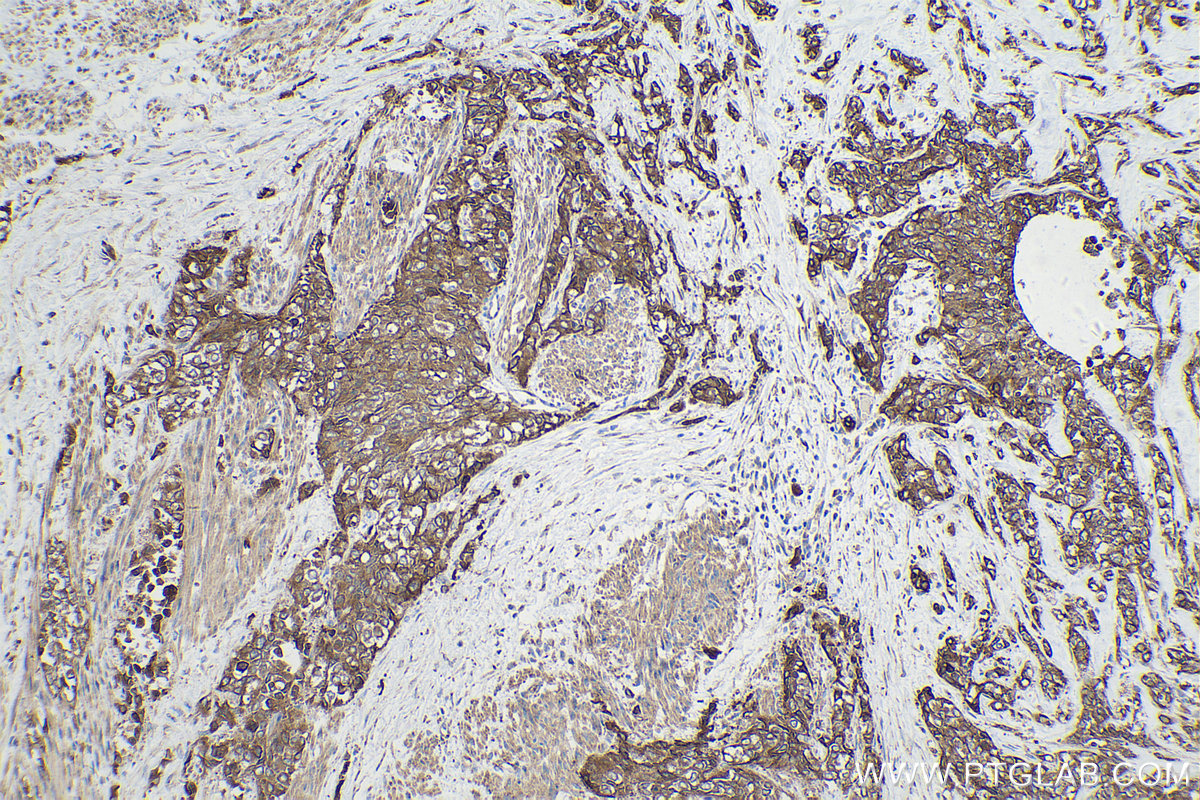
Validation Data Gallery
Product Information
KHC0221 is a ready-to-use IHC kit for staining of ITGB6 (Integrin Beta 6). The kit provides all reagents, from antigen retrieval to cover slip mounting, that require little to no diluting or handling prior to use. Simply apply the reagents to your sample slide according to the protocol and you're steps away from obtaining high-quality IHC data.
| Product name | IHCeasy ITGB6 Ready-To-Use IHC Kit |
| Sample type | FFPE tissue |
| Assay type | Immunohistochemistry |
| Primary antibody type | Rabbit Polyclonal |
| Secondary antibody type | Polymer-HRP-Goat anti-Rabbit |
| Reactivity | Human, Mouse, Rat |
Kit components
| Component | Size | Concentration |
|---|---|---|
| Antigen Retrieval Buffer | 100 mL | 50× |
| Washing Buffer | 100 mL ×2 | 20× |
| Blocking Buffer | 5 mL | RTU |
| Primary Antibody | 5 mL | RTU |
| Secondary Antibody | 5 mL | RTU |
| Chromogen Component A | 0.2 mL | RTU |
| Chromogen Component B | 4 mL | RTU |
| Signal Enhancer | 5 mL | RTU |
| Counter Staining Reagent | 5 mL | RTU |
| Mounting Media | 5 mL | RTU |
| Datasheet | 1 Copy | |
| Manual | 1 Copy |
Background Information
ITGB6 (integrin, beta 6) belongs to the integrin beta chain family. ITGB6 is a receptor for fibronectin and cytotactin. It recognizes the sequence R-G-D in its ligands. Internalisation of integrin alpha-V/beta-6 via clathrin-mediated endocytosis promotes carcinoma cell invasion.
Properties
| Storage Instructions | All the reagents are stored at 2-8°C. The kit is stable for 6 months from the date of receipt. |
| Synonyms | Integrin beta 6, integrin, beta 6, ITGB6 |







