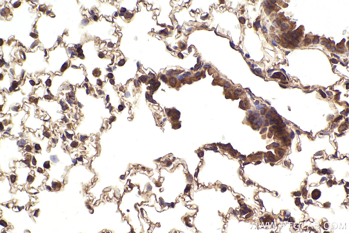
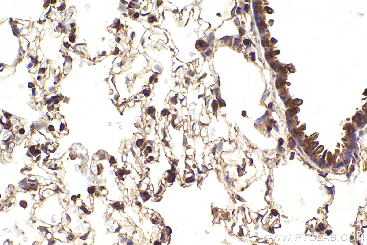
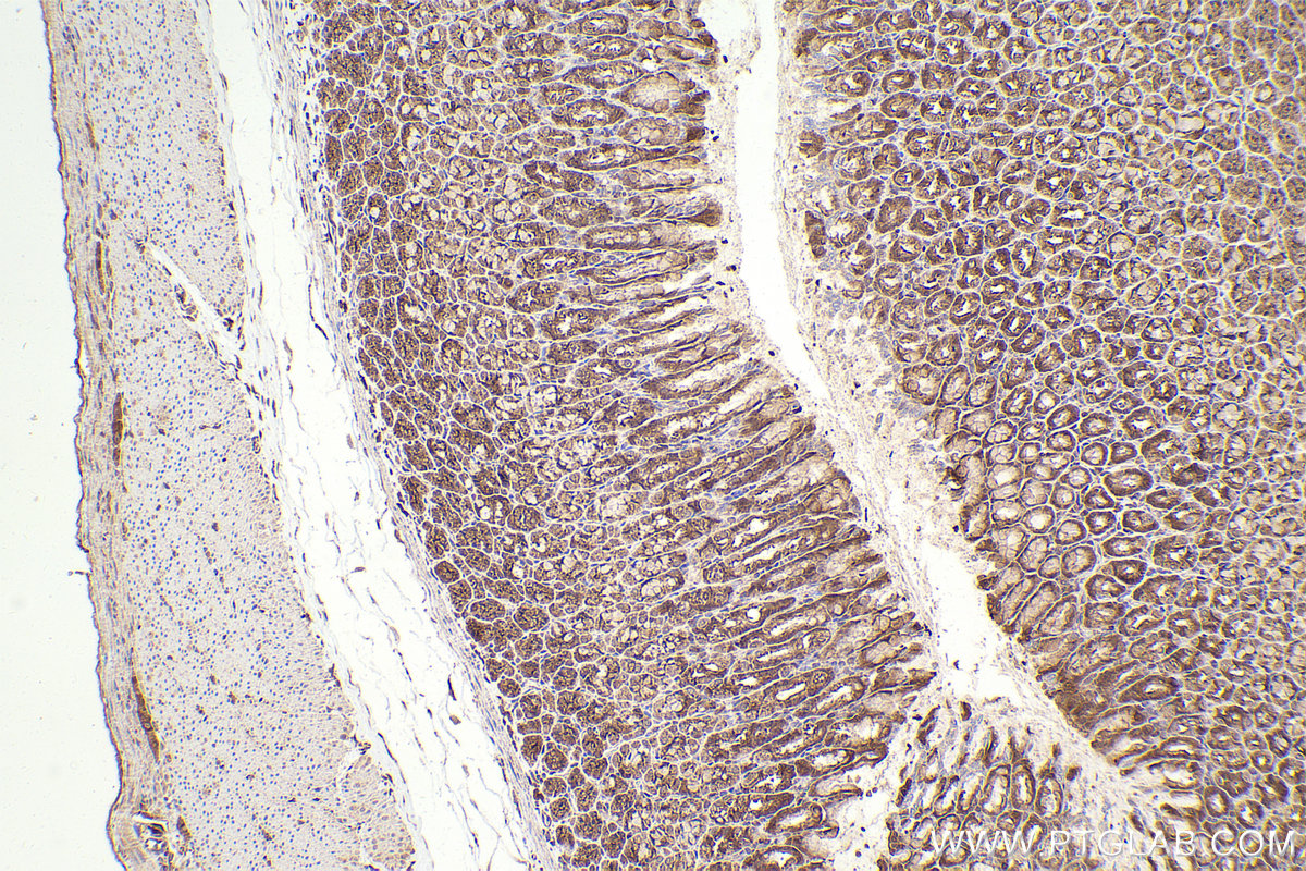
IHCeasy® IST1 Ready-To-Use IHC Kit
IST1 Ready-to-use reagent kit for IHC.
Reactivity
Human, Mouse, Rat
Sample Type
FFPE tissue
Cat no : KHC2322
Synonyms
KIAA0174, OLC1, IST1 homolog, hIST1, CHMP8
Validation Data Gallery
Product Information
KHC2322 is a ready-to-use IHC kit for staining of IST1. The kit provides all reagents, from antigen retrieval to cover slip mounting, that require little to no diluting or handling prior to use. Simply apply the reagents to your sample slide according to the protocol and you're steps away from obtaining high-quality IHC data.
| Product name | IHCeasy IST1 Ready-To-Use IHC Kit |
| Sample type | FFPE tissue |
| Assay type | Immunohistochemistry |
| Primary antibody type | Rabbit Polyclonal |
| Secondary antibody type | Polymer-HRP-Goat anti-Rabbit |
| Reactivity | Human, Mouse, Rat |
Kit components
| Component | Size | Concentration |
|---|---|---|
| Antigen Retrieval Buffer | 100 mL | 50× |
| Washing Buffer | 100 mL ×2 | 20× |
| Blocking Buffer | 5 mL | RTU |
| Primary Antibody | 5 mL | RTU |
| Secondary Antibody | 5 mL | RTU |
| Chromogen Component A | 0.2 mL | RTU |
| Chromogen Component B | 4 mL | RTU |
| Signal Enhancer | 5 mL | RTU |
| Counter Staining Reagent | 5 mL | RTU |
| Mounting Media | 5 mL | RTU |
| Datasheet | 1 Copy | |
| Manual | 1 Copy |
Background Information
Human increased sodium tolerance-1 (hIST1), encoded by KIAA0174 gene, is a newly reported endosomal sorting complexes required for transport (ESCRT)-III family member. IST1 possesses two different types of microtubule-interacting and transport (MIT) -interacting motifs (MIM1 and MIM2), this is required for its interaction with calpain 7 which is important for their roles in the ESCRT system.
Properties
| Storage Instructions | All the reagents are stored at 2-8°C. The kit is stable for 6 months from the date of receipt. |
| Synonyms | KIAA0174, OLC1, IST1 homolog, hIST1, CHMP8 |






