IHCeasy® IRAK1 Ready-To-Use IHC Kit
IRAK1 Ready-to-use reagent kit for IHC.
Reactivity
Human, Mouse, Rat
Sample Type
FFPE tissue
Cat no : KHC2304
Synonyms
pelle, IRAK-1, IRAK 1, IRAK, Interleukin-1 receptor-associated kinase 1
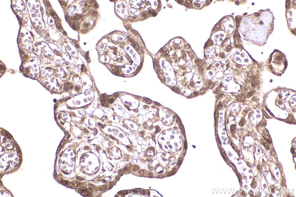
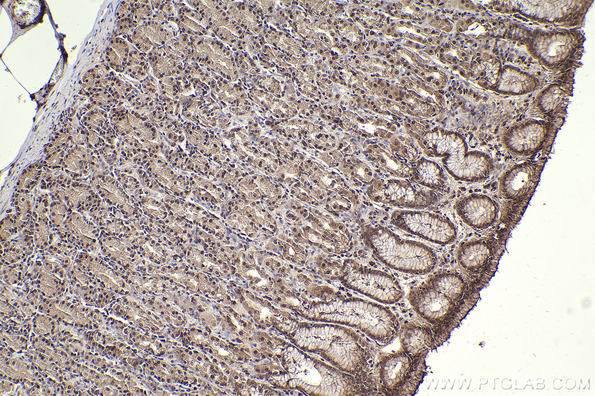
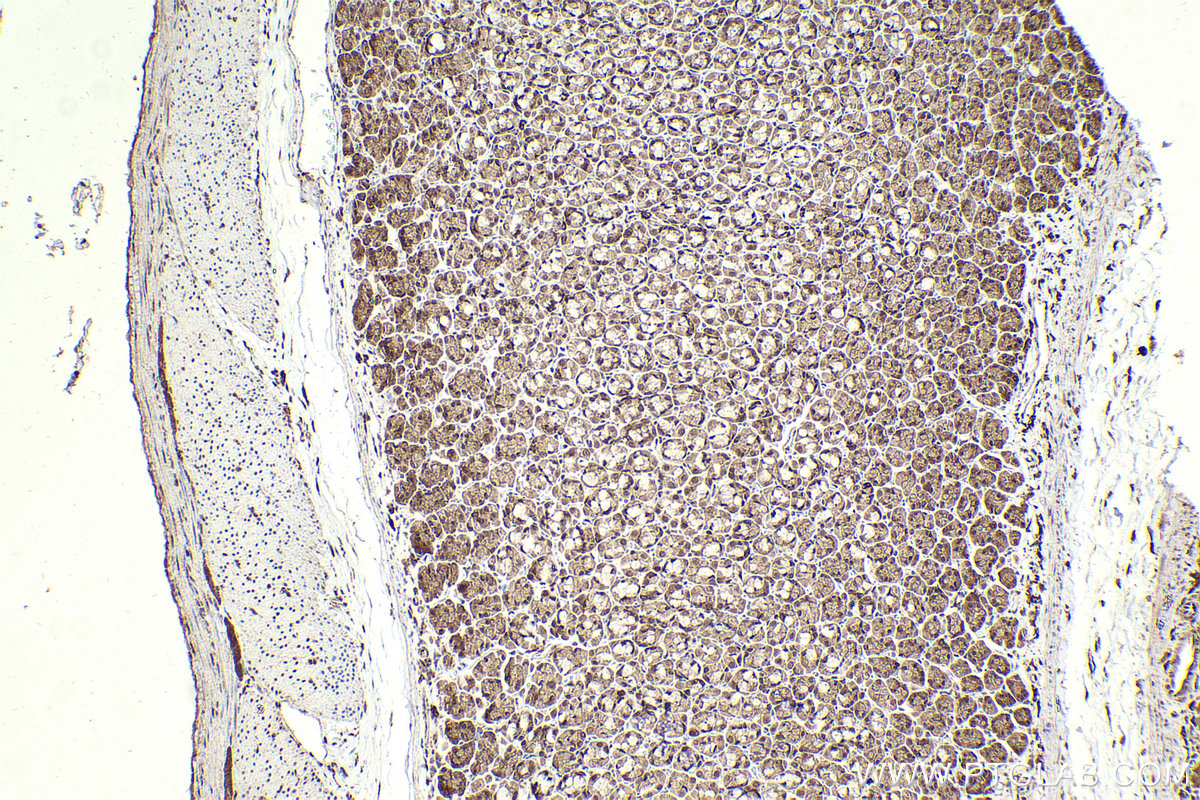
Validation Data Gallery
Product Information
KHC2304 is a ready-to-use IHC kit for staining of IRAK1. The kit provides all reagents, from antigen retrieval to cover slip mounting, that require little to no diluting or handling prior to use. Simply apply the reagents to your sample slide according to the protocol and you're steps away from obtaining high-quality IHC data.
| Product name | IHCeasy IRAK1 Ready-To-Use IHC Kit |
| Sample type | FFPE tissue |
| Assay type | Immunohistochemistry |
| Primary antibody type | Rabbit Polyclonal |
| Secondary antibody type | Polymer-HRP-Goat anti-Rabbit |
| Reactivity | Human, Mouse, Rat |
Kit components
| Component | Size | Concentration |
|---|---|---|
| Antigen Retrieval Buffer | 100 mL | 50× |
| Washing Buffer | 100 mL ×2 | 20× |
| Blocking Buffer | 5 mL | RTU |
| Primary Antibody | 5 mL | RTU |
| Secondary Antibody | 5 mL | RTU |
| Chromogen Component A | 0.2 mL | RTU |
| Chromogen Component B | 4 mL | RTU |
| Signal Enhancer | 5 mL | RTU |
| Counter Staining Reagent | 5 mL | RTU |
| Mounting Media | 5 mL | RTU |
| Datasheet | 1 Copy | |
| Manual | 1 Copy |
Background Information
Interleukin-1 receptor-associated kinases (IRAKs) are a unique family of death domain containing protein kinases that play a key role in initiating innate immune response against foreign pathogens. They are involved in Toll-like receptor (TLR) and interleukin-1 receptor (IL-1R) signaling pathways. IRAK1 is the first member of this kinase family. Upon ligand binding to TLR/IL-1R, IRAK1 is recruited by MYD88 to the receptor-signaling complex, the association leads to IRAK1 phosphorylation by IRAK4 and subsequent autophosphorylation and kinase activation. Hyper-phosphorylated IRAK1 then disengages from the receptor complex, and forms a cytosolic IRAK1-TRAF6 complex. TRAF6 then interacts with TAK and TAB, resulting in eventual activation of the NF-κB and MAPK pathways. Phosphorylated IRAK1 also undergoes ubiquitin-mediated degradation or sumoylation, which results in nuclear translocation and transcriptional activation of inflammatory target genes.
Properties
| Storage Instructions | All the reagents are stored at 2-8°C. The kit is stable for 6 months from the date of receipt. |
| Synonyms | pelle, IRAK-1, IRAK 1, IRAK, Interleukin-1 receptor-associated kinase 1 |







