IHCeasy® IFIT3 Ready-To-Use IHC Kit
IFIT3 Ready-to-use reagent kit for IHC.
Reactivity
Human, Mouse, Rat
Sample Type
FFPE tissue
Cat no : KHC2059
Synonyms
CIG 49, CIG49, GARG 49, IFI 60K, IFI60, IFIT 3, IFIT 4, IFIT3, IFIT4, IRG2, ISG 60, ISG60, RIG G
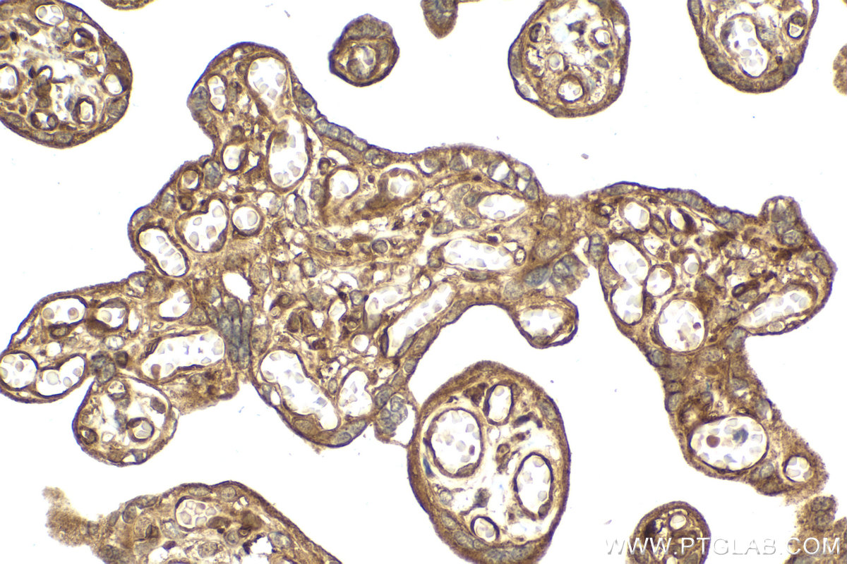
Validation Data Gallery
Product Information
KHC2059 is a ready-to-use IHC kit for staining of IFIT3. The kit provides all reagents, from antigen retrieval to cover slip mounting, that require little to no diluting or handling prior to use. Simply apply the reagents to your sample slide according to the protocol and you're steps away from obtaining high-quality IHC data.
| Product name | IHCeasy IFIT3 Ready-To-Use IHC Kit |
| Sample type | FFPE tissue |
| Assay type | Immunohistochemistry |
| Primary antibody type | Rabbit Polyclonal |
| Secondary antibody type | Polymer-HRP-Goat anti-Rabbit |
| Reactivity | Human, Mouse, Rat |
Kit components
| Component | Size | Concentration |
|---|---|---|
| Antigen Retrieval Buffer | 100 mL | 50× |
| Washing Buffer | 100 mL ×2 | 20× |
| Blocking Buffer | 5 mL | RTU |
| Primary Antibody | 5 mL | RTU |
| Secondary Antibody | 5 mL | RTU |
| Chromogen Component A | 0.2 mL | RTU |
| Chromogen Component B | 4 mL | RTU |
| Signal Enhancer | 5 mL | RTU |
| Counter Staining Reagent | 5 mL | RTU |
| Mounting Media | 5 mL | RTU |
| Datasheet | 1 Copy | |
| Manual | 1 Copy |
Background Information
IFIT3 (IFN-induced protein with tetratricopeptide repeats 3), also known as IFIT-4, ISG-60 or RIG-G. IFIT3 has been identified to be associated with strong IFN antiviral activity. Upon RNA virus infection, IFIT3 is significantly induced, ectopic expression or knockdown of IFIT3 could, respectively, enhance or impair IFN regulatory factor 3 (IRF3)-mediated gene expression. IFIT3 thus may serve as an important modulator in innate immunity, revealing a new function of the IFIT family proteins.
Properties
| Storage Instructions | All the reagents are stored at 2-8°C. The kit is stable for 6 months from the date of receipt. |
| Synonyms | CIG 49, CIG49, GARG 49, IFI 60K, IFI60, IFIT 3, IFIT 4, IFIT3, IFIT4, IRG2, ISG 60, ISG60, RIG G |






