IHCeasy® IFIH1 Ready-To-Use IHC Kit
IFIH1 Ready-to-use reagent kit for IHC.
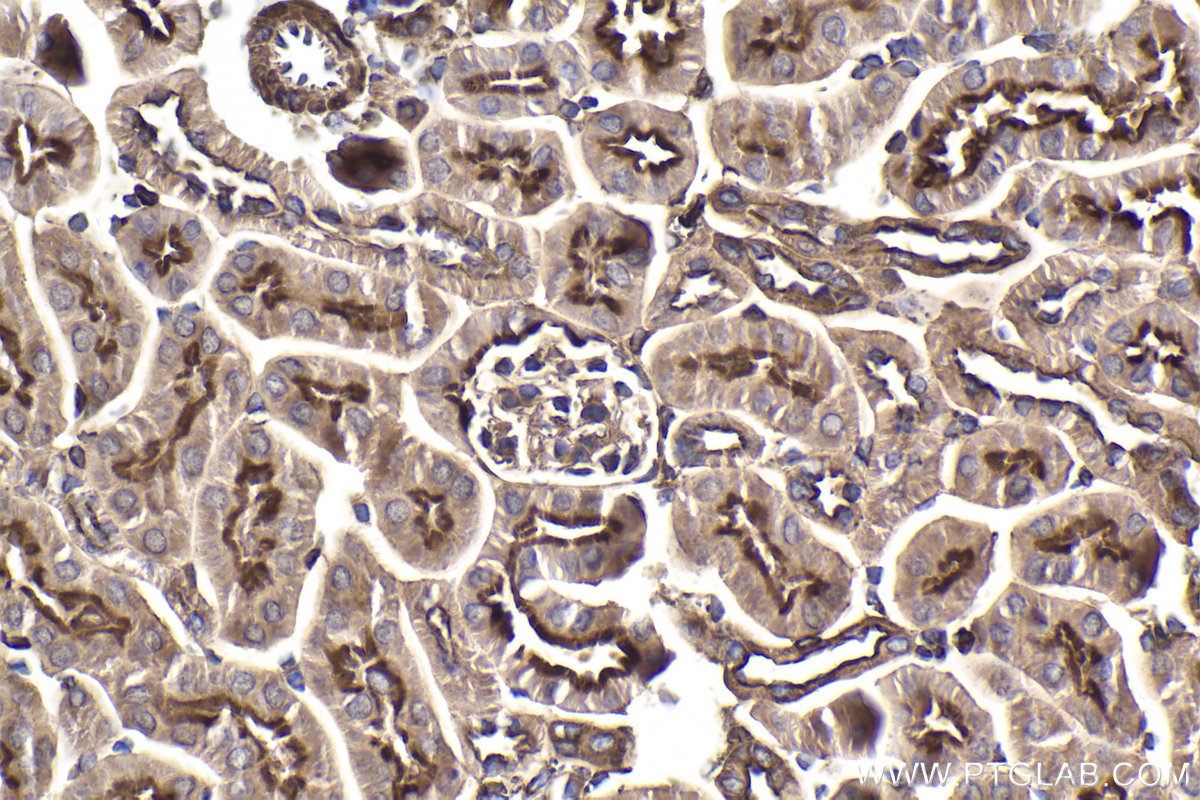
Reactivity
Human, Mouse, Rat
Sample Type
FFPE tissue
Cat no : KHC1910
Synonyms
Helicard, Helicase with 2 CARD domains, Hlcd, IDDM19, IFIH1, IFIH1/MDA5, MDA 5, MDA5, RH116
Validation Data Gallery
Product Information
KHC1910 is a ready-to-use IHC kit for staining of IFIH1. The kit provides all reagents, from antigen retrieval to cover slip mounting, that require little to no diluting or handling prior to use. Simply apply the reagents to your sample slide according to the protocol and you're steps away from obtaining high-quality IHC data.
| Product name | IHCeasy IFIH1 Ready-To-Use IHC Kit |
| Sample type | FFPE tissue |
| Assay type | Immunohistochemistry |
| Primary antibody type | Mouse Monoclonal |
| Secondary antibody type | Polymer-HRP-Goat anti-Mouse |
| Reactivity | Human, Mouse, Rat |
Kit components
| Component | Size | Concentration |
|---|---|---|
| Antigen Retrieval Buffer | 100 mL | 50× |
| Washing Buffer | 100 mL ×2 | 20× |
| Blocking Buffer | 5 mL | RTU |
| Primary Antibody | 5 mL | RTU |
| Secondary Antibody | 5 mL | RTU |
| Chromogen Component A | 0.2 mL | RTU |
| Chromogen Component B | 4 mL | RTU |
| Signal Enhancer | 5 mL | RTU |
| Counter Staining Reagent | 5 mL | RTU |
| Mounting Media | 5 mL | RTU |
| Datasheet | 1 Copy | |
| Manual | 1 Copy |
Background Information
IFIH1 (Interferon-induced helicase C domain-containing protein 1) is a putative RNA helicase that is upregulated in response to treatment with IFNB or IFNB and MEZ. It is also named as MDA5 and RH116. Ectopic expression of MDA5 in melanoma cells resulted in reduced colony formation, suggesting an interaction of the CARD and apoptotic signal molecules. Functional analysis indicated that MDA5 is an RNA-dependent ATPase.
Properties
| Storage Instructions | All the reagents are stored at 2-8°C. The kit is stable for 6 months from the date of receipt. |
| Synonyms | Helicard, Helicase with 2 CARD domains, Hlcd, IDDM19, IFIH1, IFIH1/MDA5, MDA 5, MDA5, RH116 |






