IHCeasy® IDH2 Ready-To-Use IHC Kit
IDH2 Ready-to-use reagent kit for IHC.
Reactivity
Human, Mouse, Rat
Sample Type
FFPE tissue
Cat no : KHC0580
Synonyms
ICD M, IDH, IDH2, IDHM, IDP, IDPM, mNADP IDH, NADP(+) specific ICDH, Oxalosuccinate decarboxylase
Validation Data Gallery
Product Information
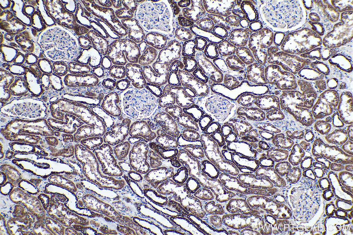
KHC0580 is a ready-to-use IHC kit for staining of IDH2. The kit provides all reagents, from antigen retrieval to cover slip mounting, that require little to no diluting or handling prior to use. Simply apply the reagents to your sample slide according to the protocol and you're steps away from obtaining high-quality IHC data.
| Product name | IHCeasy IDH2 Ready-To-Use IHC Kit |
| Sample type | FFPE tissue |
| Assay type | Immunohistochemistry |
| Primary antibody type | Rabbit Polyclonal |
| Secondary antibody type | Polymer-HRP-Goat anti-Rabbit |
| Reactivity | Human, Mouse, Rat |
Kit components
| Component | Size | Concentration |
|---|---|---|
| Antigen Retrieval Buffer | 100 mL | 50× |
| Washing Buffer | 100 mL ×2 | 20× |
| Blocking Buffer | 5 mL | RTU |
| Primary Antibody | 5 mL | RTU |
| Secondary Antibody | 5 mL | RTU |
| Chromogen Component A | 0.2 mL | RTU |
| Chromogen Component B | 4 mL | RTU |
| Signal Enhancer | 5 mL | RTU |
| Counter Staining Reagent | 5 mL | RTU |
| Mounting Media | 5 mL | RTU |
| Datasheet | 1 Copy | |
| Manual | 1 Copy |
Background Information
IDH2, also named as IDP and ICD-M, belongs to the isocitrate and isopropylmalate dehydrogenases family. It plays a role in intermediary metabolism and energy production. IDH2 is a mitochondrial NADP-dependent isocitrate dehydrogenase that catalyzes oxidative decarboxylation of isocitrate to alpha-ketoglutarate, producing NADPH. It may tightly associate or interact with the pyruvate dehydrogenase complex. IDH1 and IDH2 mutations could also contribute to tumorigenesis and cancer progression through increased mutagenesis.
Properties
| Storage Instructions | All the reagents are stored at 2-8°C. The kit is stable for 6 months from the date of receipt. |
| Synonyms | ICD M, IDH, IDH2, IDHM, IDP, IDPM, mNADP IDH, NADP(+) specific ICDH, Oxalosuccinate decarboxylase |









