IHCeasy® ICT1 Ready-To-Use IHC Kit
ICT1 Ready-to-use reagent kit for IHC.
Reactivity
Human, Mouse, Rat
Sample Type
FFPE tissue
Cat no : KHC3252
Synonyms
39S ribosomal protein L58, mitochondrial, DS1, DS-1, EC:3.1.1.29, Large ribosomal subunit protein mL62
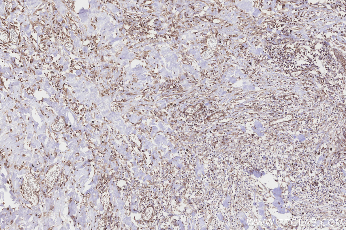
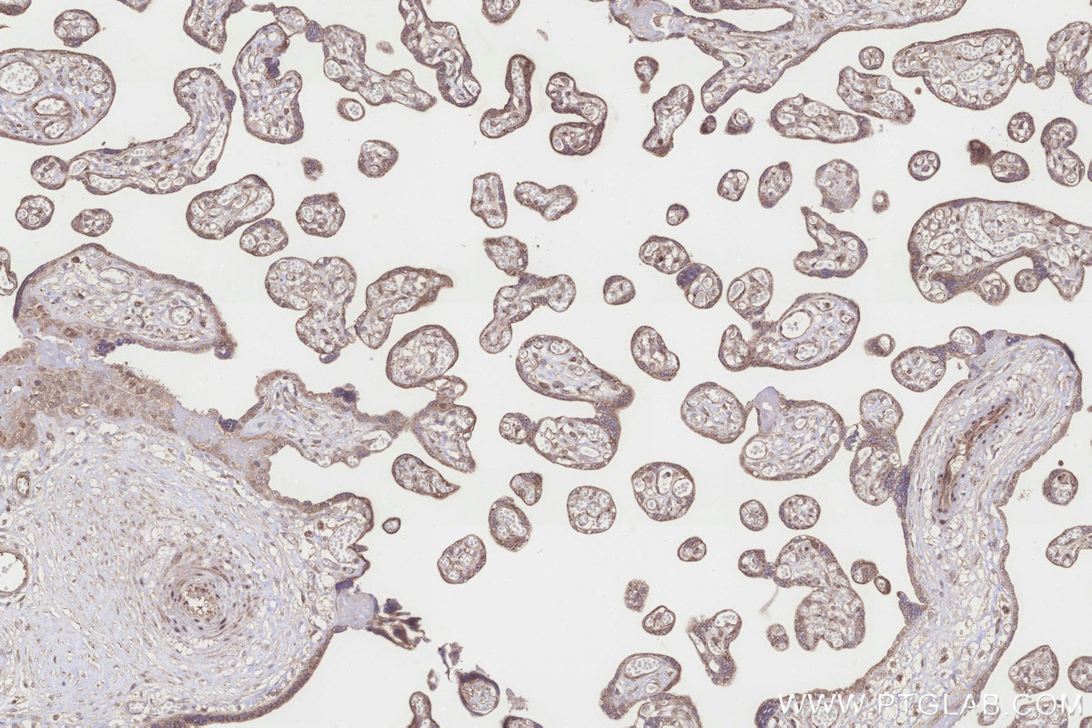
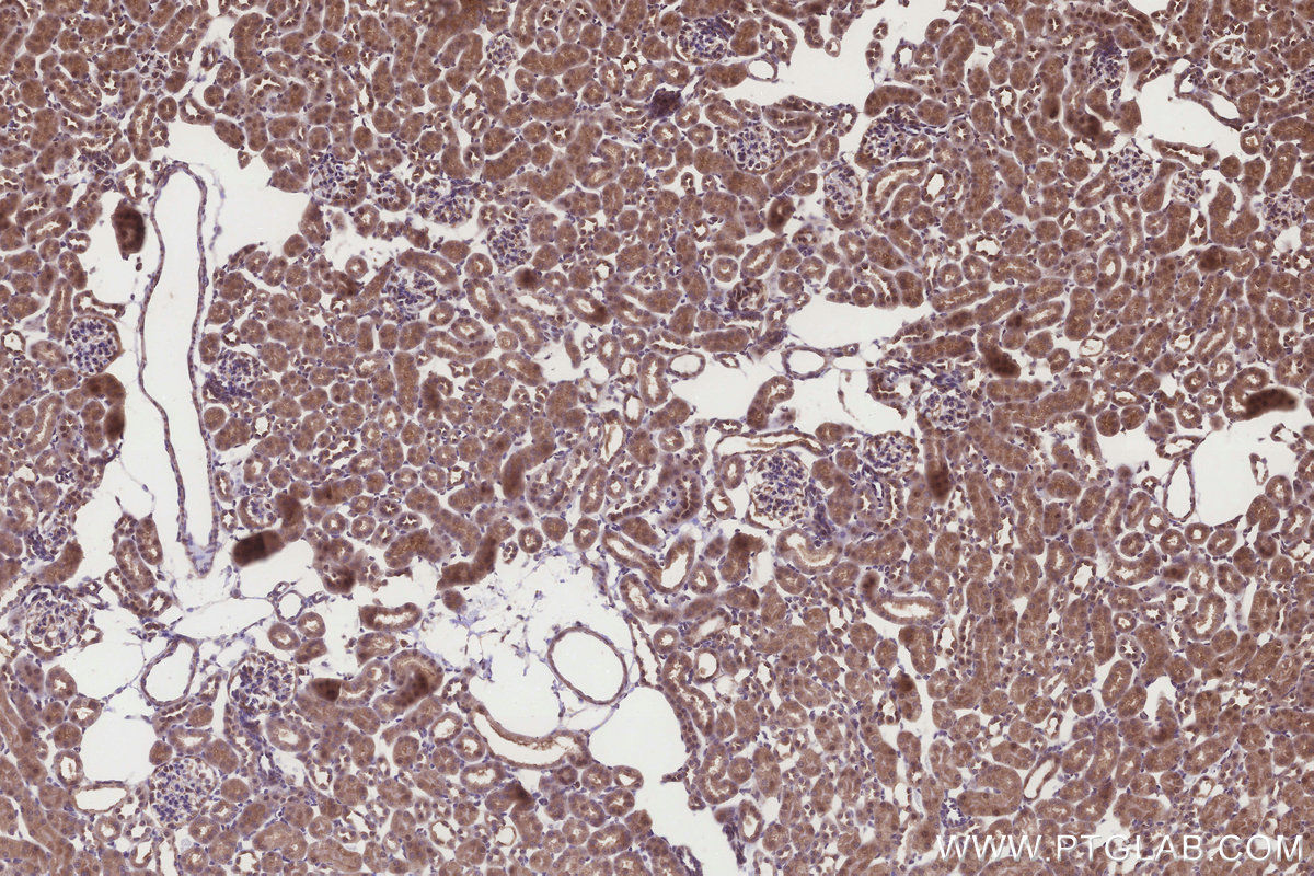
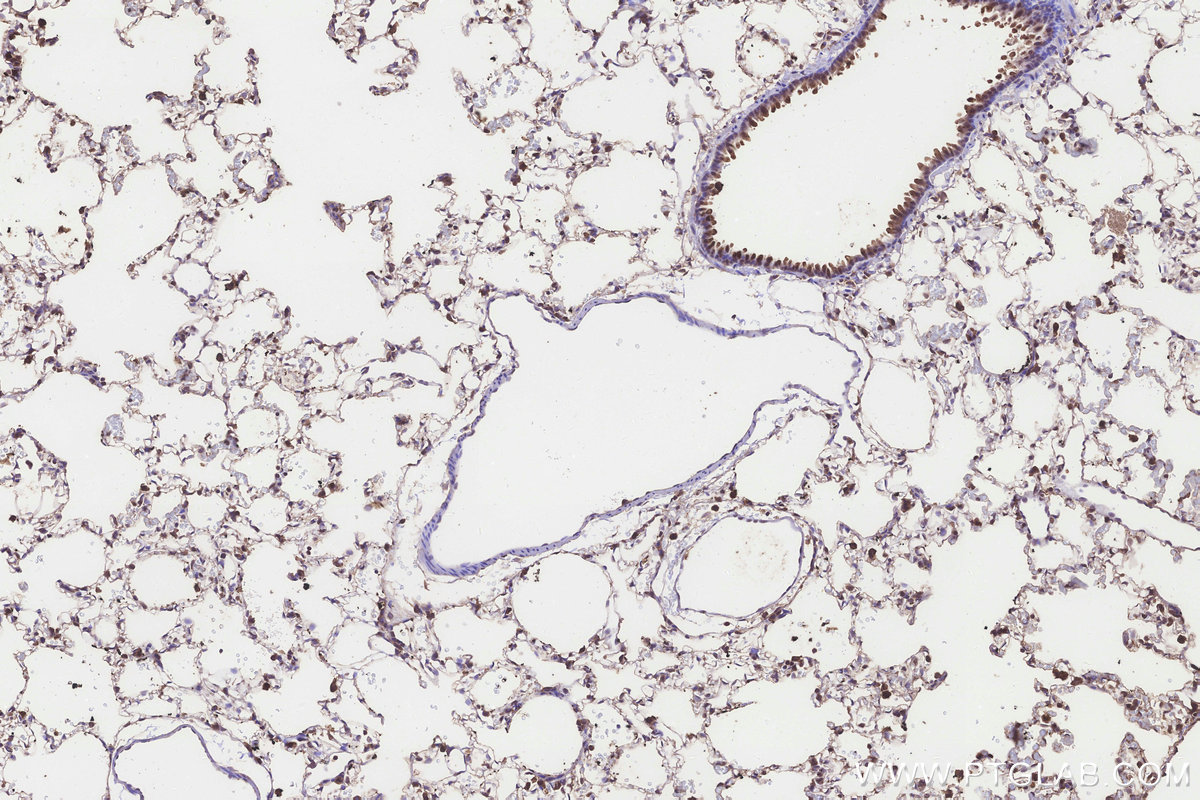
Validation Data Gallery
Product Information
KHC3252 is a ready-to-use IHC kit for staining of ICT1. The kit provides all reagents, from antigen retrieval to cover slip mounting, that require little to no diluting or handling prior to use. Simply apply the reagents to your sample slide according to the protocol and you're steps away from obtaining high-quality IHC data.
| Product name | IHCeasy® ICT1 Ready-To-Use IHC Kit |
| Sample type | FFPE tissue |
| Assay type | Immunohistochemistry |
| Primary antibody type | Rabbit Polyclonal |
| Secondary antibody type | Polymer-HRP-Goat anti-Rabbit |
| Reactivity | Human, Mouse, Rat |
Kit components
| Component | Size | Concentration |
|---|---|---|
| Antigen Retrieval Buffer | 100 mL | 50× |
| Washing Buffer | 100 mL ×2 | 20× |
| Blocking Buffer | 5 mL | RTU |
| Primary Antibody | 5 mL | RTU |
| Secondary Antibody | 5 mL | RTU |
| Chromogen Component A | 0.2 mL | RTU |
| Chromogen Component B | 4 mL | RTU |
| Signal Enhancer | 5 mL | RTU |
| Counter Staining Reagent | 5 mL | RTU |
| Mounting Media | 5 mL | RTU |
| Datasheet | 1 Copy | |
| Manual | 1 Copy |
Background Information
The adult colon epithelium contains 3 differentiated cell types that arise from a multipotent stem cell. Deviation from the normal maturation pathway by neoplastic transformation is thought to initiate in stem cells or their early descendants. One potential marker is immature colon carcinoma transcript 1 (ICT1, synonym: DS-1) whose mRNA and protein were more highly expressed in undifferentiated than differentiated cells.
Properties
| Storage Instructions | All the reagents are stored at 2-8°C. The kit is stable for 6 months from the date of receipt. |
| Synonyms | 39S ribosomal protein L58, mitochondrial, DS1, DS-1, EC:3.1.1.29, Large ribosomal subunit protein mL62 |






