IHCeasy® Histone H1.0 Ready-To-Use IHC Kit
Histone H1.0 Ready-to-use reagent kit for IHC.
Reactivity
Human, Mouse, Rat
Sample Type
FFPE tissue
Cat no : KHC0594
Synonyms
H1 histone family, member 0, H10, H1F0, H1FV, histone, Histone H1, Histone H1(0), Histone H1.0
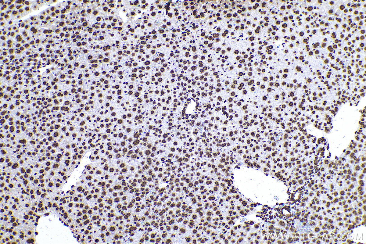
Validation Data Gallery
Product Information
KHC0594 is a ready-to-use IHC kit for staining of Histone H1.0. The kit provides all reagents, from antigen retrieval to cover slip mounting, that require little to no diluting or handling prior to use. Simply apply the reagents to your sample slide according to the protocol and you're steps away from obtaining high-quality IHC data.
| Product name | IHCeasy Histone H1.0 Ready-To-Use IHC Kit |
| Sample type | FFPE tissue |
| Assay type | Immunohistochemistry |
| Primary antibody type | Rabbit Polyclonal |
| Secondary antibody type | Polymer-HRP-Goat anti-Rabbit |
| Reactivity | Human, Mouse, Rat |
Kit components
| Component | Size | Concentration |
|---|---|---|
| Antigen Retrieval Buffer | 100 mL | 50× |
| Washing Buffer | 100 mL ×2 | 20× |
| Blocking Buffer | 5 mL | RTU |
| Primary Antibody | 5 mL | RTU |
| Secondary Antibody | 5 mL | RTU |
| Chromogen Component A | 0.2 mL | RTU |
| Chromogen Component B | 4 mL | RTU |
| Signal Enhancer | 5 mL | RTU |
| Counter Staining Reagent | 5 mL | RTU |
| Mounting Media | 5 mL | RTU |
| Datasheet | 1 Copy | |
| Manual | 1 Copy |
Background Information
Histones are basic nuclear proteins that are responsible for the nucleosome structure of the chromosomal fiber in eukaryotes. Nucleosomes consist of approximately 146 bp of DNA wrapped around a histone octamer composed of pairs of each of the four core histones (H2A, H2B, H3, and H4). The chromatin fiber is further compacted through the interaction of a linker histone, H1, with the DNA between the nucleosomes to form higher order chromatin structures.Linker histones are involved in the formation of higher order structure in chromatin and the maintenance of overall chromatin compaction. The H1F0 histones are found in cells that are in terminal stages of differentiation or that have low rates of cell division.Histone H1.0 (H1F0,H1FV) is a linker histone that is widely expressed in many tissues and almost all vertebrates, unlike some other linker histones.
Properties
| Storage Instructions | All the reagents are stored at 2-8°C. The kit is stable for 6 months from the date of receipt. |
| Synonyms | H1 histone family, member 0, H10, H1F0, H1FV, histone, Histone H1, Histone H1(0), Histone H1.0 |







