IHCeasy® HSCB Ready-To-Use IHC Kit
HSCB Ready-to-use reagent kit for IHC.
Reactivity
Human, Mouse, Rat
Sample Type
FFPE tissue
Cat no : KHC3286
Synonyms
DNAJC20, HSC20, Iron-sulfur cluster co-chaperone protein HscB, Iron-sulfur cluster co-chaperone protein HscB, cytoplasmic, Iron-sulfur cluster co-chaperone protein HscB, mitochondrial
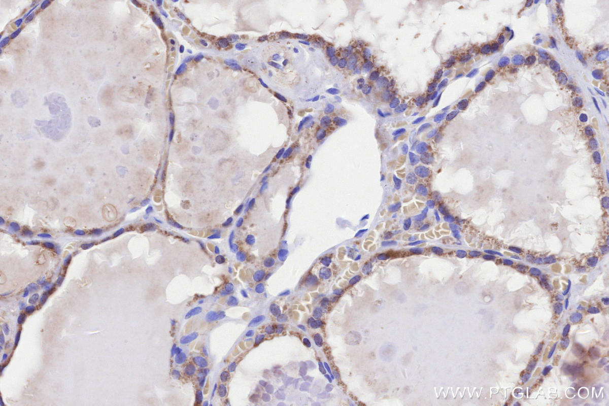
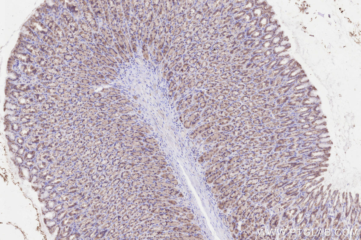
Validation Data Gallery
Product Information
KHC3286 is a ready-to-use IHC kit for staining of HSCB. The kit provides all reagents, from antigen retrieval to cover slip mounting, that require little to no diluting or handling prior to use. Simply apply the reagents to your sample slide according to the protocol and you're steps away from obtaining high-quality IHC data.
| Product name | IHCeasy® HSCB Ready-To-Use IHC Kit |
| Sample type | FFPE tissue |
| Assay type | Immunohistochemistry |
| Primary antibody type | Rabbit Polyclonal |
| Secondary antibody type | Polymer-HRP-Goat anti-Rabbit |
| Reactivity | Human, Mouse, Rat |
Kit components
| Component | Size | Concentration |
|---|---|---|
| Antigen Retrieval Buffer | 100 mL | 50× |
| Washing Buffer | 100 mL ×2 | 20× |
| Blocking Buffer | 5 mL | RTU |
| Primary Antibody | 5 mL | RTU |
| Secondary Antibody | 5 mL | RTU |
| Chromogen Component A | 0.2 mL | RTU |
| Chromogen Component B | 4 mL | RTU |
| Signal Enhancer | 5 mL | RTU |
| Counter Staining Reagent | 5 mL | RTU |
| Mounting Media | 5 mL | RTU |
| Datasheet | 1 Copy | |
| Manual | 1 Copy |
Background Information
HSCB, also named as HSC20 and DNAJC20, acts as a co-chaperone in iron-sulfur cluster assembly in mitochondria.
Properties
| Storage Instructions | All the reagents are stored at 2-8°C. The kit is stable for 6 months from the date of receipt. |
| Synonyms | DNAJC20, HSC20, Iron-sulfur cluster co-chaperone protein HscB, Iron-sulfur cluster co-chaperone protein HscB, cytoplasmic, Iron-sulfur cluster co-chaperone protein HscB, mitochondrial |




