IHCeasy® HGS Ready-To-Use IHC Kit
HGS Ready-to-use reagent kit for IHC.
Reactivity
Human, Mouse
Sample Type
FFPE tissue
Cat no : KHC2063
Synonyms
HGS, HRS, Protein pp110, ZFYVE8
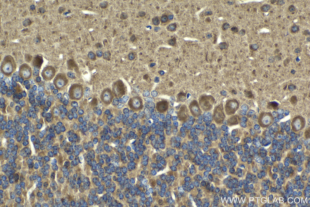
Validation Data Gallery
Product Information
KHC2063 is a ready-to-use IHC kit for staining of HGS. The kit provides all reagents, from antigen retrieval to cover slip mounting, that require little to no diluting or handling prior to use. Simply apply the reagents to your sample slide according to the protocol and you're steps away from obtaining high-quality IHC data.
| Product name | IHCeasy HGS Ready-To-Use IHC Kit |
| Sample type | FFPE tissue |
| Assay type | Immunohistochemistry |
| Primary antibody type | Rabbit Polyclonal |
| Secondary antibody type | Polymer-HRP-Goat anti-Rabbit |
| Reactivity | Human, Mouse |
Kit components
| Component | Size | Concentration |
|---|---|---|
| Antigen Retrieval Buffer | 100 mL | 50× |
| Washing Buffer | 100 mL ×2 | 20× |
| Blocking Buffer | 5 mL | RTU |
| Primary Antibody | 5 mL | RTU |
| Secondary Antibody | 5 mL | RTU |
| Chromogen Component A | 0.2 mL | RTU |
| Chromogen Component B | 4 mL | RTU |
| Signal Enhancer | 5 mL | RTU |
| Counter Staining Reagent | 5 mL | RTU |
| Mounting Media | 5 mL | RTU |
| Datasheet | 1 Copy | |
| Manual | 1 Copy |
Background Information
Hepatocyte growth factor-regulated tyrosine kinase substrate (HGS, synonyms: HRS, ZFYVE8) is a 110 to 115-kDa zinc finger phosphotyrosine protein inducible by stimulation with interleukin 2 (IL-2), granulocyte-macrophage colony-stimulating factor (GM-CSF) as well as hepatocyte growth factor (HGF), and is associated with signal-transducing adaptor molecule (STAM). HGS suppresses DNA synthesis upon stimulation with IL-2 and GM-CSF, counteracting the function of STAM which is critical for cell growth signaling mediated by the cytokines. HGS also interacts with the neurofibromatosis 2 tumor suppressor protein schwannomin/merlin. The growth suppression activity of schwannomin/merlin requires HGS and the binding of schwannomin/merlin to HGS facilitates its ability to function as a tumor suppressor, probably by inhibiting STAT activation.
Properties
| Storage Instructions | All the reagents are stored at 2-8°C. The kit is stable for 6 months from the date of receipt. |
| Synonyms | HGS, HRS, Protein pp110, ZFYVE8 |




