IHCeasy® HEXIM1 Ready-To-Use IHC Kit
HEXIM1 Ready-to-use reagent kit for IHC.
Reactivity
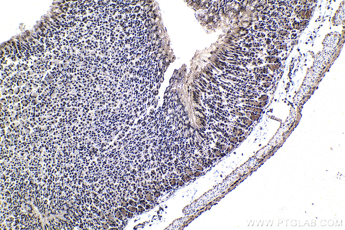
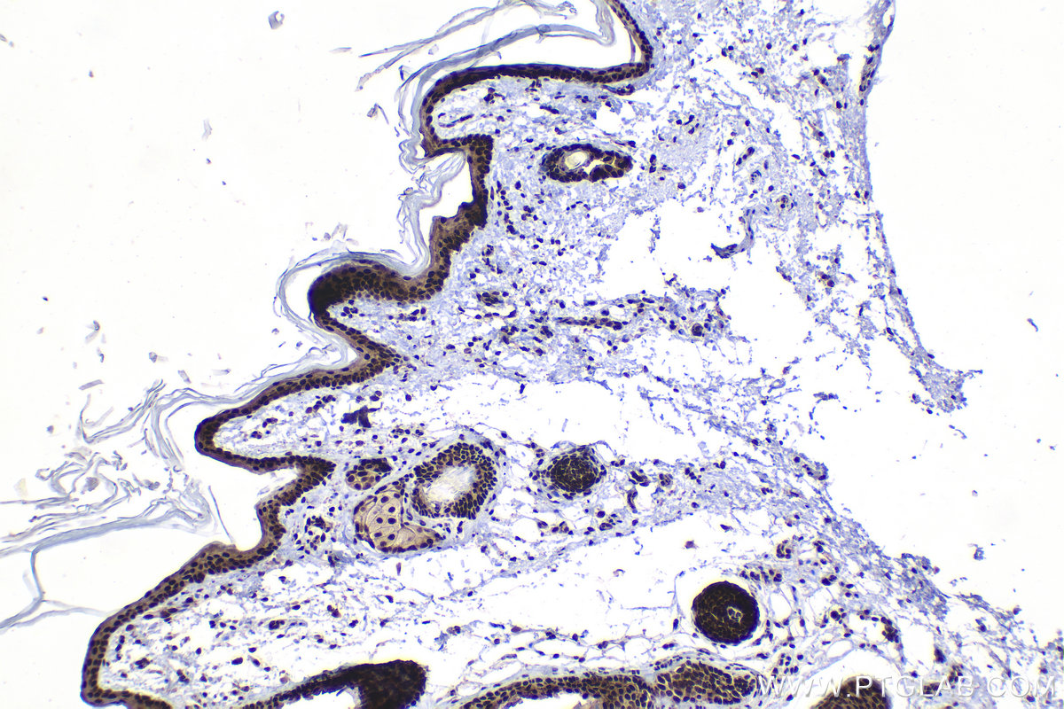
Human, Mouse, Rat
Sample Type
FFPE tissue
Cat no : KHC1489
Synonyms
Cardiac lineage protein 1, CLP1, EDG1, HEXIM1, HIS1, MAQ1, Menage a quatre protein 1, Protein HEXIM1
Validation Data Gallery
Product Information
KHC1489 is a ready-to-use IHC kit for staining of HEXIM1. The kit provides all reagents, from antigen retrieval to cover slip mounting, that require little to no diluting or handling prior to use. Simply apply the reagents to your sample slide according to the protocol and you're steps away from obtaining high-quality IHC data.
| Product name | IHCeasy HEXIM1 Ready-To-Use IHC Kit |
| Sample type | FFPE tissue |
| Assay type | Immunohistochemistry |
| Primary antibody type | Rabbit Polyclonal |
| Secondary antibody type | Polymer-HRP-Goat anti-Rabbit |
| Reactivity | Human, Mouse, Rat |
Kit components
| Component | Size | Concentration |
|---|---|---|
| Antigen Retrieval Buffer | 100 mL | 50× |
| Washing Buffer | 100 mL ×2 | 20× |
| Blocking Buffer | 5 mL | RTU |
| Primary Antibody | 5 mL | RTU |
| Secondary Antibody | 5 mL | RTU |
| Chromogen Component A | 0.2 mL | RTU |
| Chromogen Component B | 4 mL | RTU |
| Signal Enhancer | 5 mL | RTU |
| Counter Staining Reagent | 5 mL | RTU |
| Mounting Media | 5 mL | RTU |
| Datasheet | 1 Copy | |
| Manual | 1 Copy |
Background Information
HEXIM1, also named CLP1, EDG1, HIS1 or MAQ1, is best known as the inhibitor of positive transcription elongation factor b, which regulates the transcription elongation of RNA polymerase II and controls 60-70% of mRNA synthesis. HEXIM1 regulates NF-kappa-B, ESR1, NR3C1 and CIITA-dependent transcriptional activity. Previous studies showed that HEXIM1 interacts with two key p53 regulators, nucleophosmin and HDM2, implying a possible connection between HEXIM1 and the p53 signaling pathway.
Properties
| Storage Instructions | All the reagents are stored at 2-8°C. The kit is stable for 6 months from the date of receipt. |
| Synonyms | Cardiac lineage protein 1, CLP1, EDG1, HEXIM1, HIS1, MAQ1, Menage a quatre protein 1, Protein HEXIM1 |








