IHCeasy® HCFC1 Ready-To-Use IHC Kit
HCFC1 Ready-to-use reagent kit for IHC.
Reactivity
Human, Mouse, Rat
Sample Type
FFPE tissue
Cat no : KHC1619
Synonyms
C1 factor, CFF, HCF, HCF 1, HCF1, HCFC1, HFC1, Host cell factor 1, VCAF, VP16 accessory protein
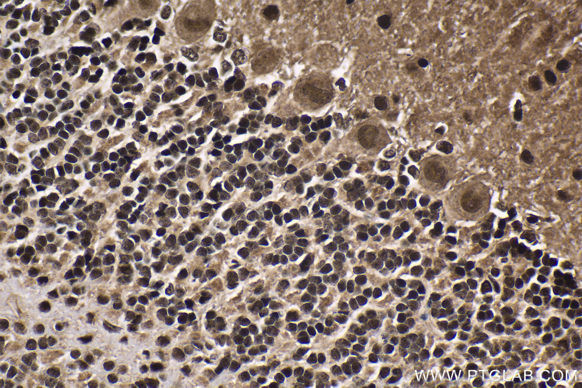
Validation Data Gallery
Product Information
KHC1619 is a ready-to-use IHC kit for staining of HCFC1. The kit provides all reagents, from antigen retrieval to cover slip mounting, that require little to no diluting or handling prior to use. Simply apply the reagents to your sample slide according to the protocol and you're steps away from obtaining high-quality IHC data.
| Product name | IHCeasy HCFC1 Ready-To-Use IHC Kit |
| Sample type | FFPE tissue |
| Assay type | Immunohistochemistry |
| Primary antibody type | Rabbit Polyclonal |
| Secondary antibody type | Polymer-HRP-Goat anti-Rabbit |
| Reactivity | Human, Mouse, Rat |
Kit components
| Component | Size | Concentration |
|---|---|---|
| Antigen Retrieval Buffer | 100 mL | 50× |
| Washing Buffer | 100 mL ×2 | 20× |
| Blocking Buffer | 5 mL | RTU |
| Primary Antibody | 5 mL | RTU |
| Secondary Antibody | 5 mL | RTU |
| Chromogen Component A | 0.2 mL | RTU |
| Chromogen Component B | 4 mL | RTU |
| Signal Enhancer | 5 mL | RTU |
| Counter Staining Reagent | 5 mL | RTU |
| Mounting Media | 5 mL | RTU |
| Datasheet | 1 Copy | |
| Manual | 1 Copy |
Background Information
HCFC1 (also known as HCF-1) was discovered in studies of herpes simplex virus (HSV) transcription. This nuclear coactivator is proteolytically cleaved at one of the six possible sites, resulting in the creation of an N-terminal chain and the corresponding C-terminal chain. The final form of this protein consists of noncovalently bound N- and C-terminal chains. The protein is involved in the control of the cell cycle and transcriptional regulation during herpes simplex virus infection.
Properties
| Storage Instructions | All the reagents are stored at 2-8°C. The kit is stable for 6 months from the date of receipt. |
| Synonyms | C1 factor, CFF, HCF, HCF 1, HCF1, HCFC1, HFC1, Host cell factor 1, VCAF, VP16 accessory protein |








