IHCeasy® HAP1 Ready-To-Use IHC Kit
HAP1 Ready-to-use reagent kit for IHC.
Reactivity
Human, Mouse, Rat
Sample Type
FFPE tissue
Cat no : KHC1627
Synonyms
HAP 1, HAP1, HAP2, hHLP1, HIP5, HLP, HLP1, Neuroan 1
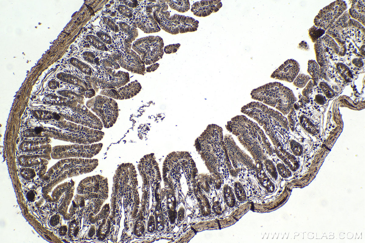
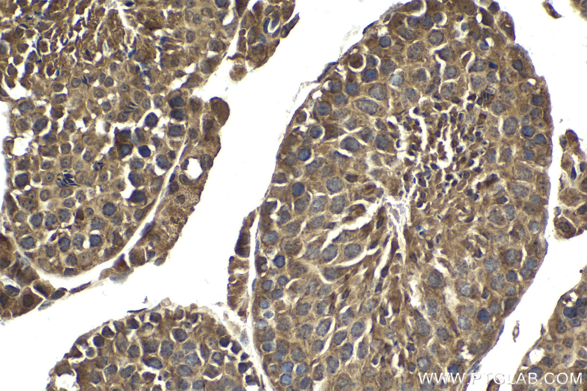
Validation Data Gallery
Product Information
KHC1627 is a ready-to-use IHC kit for staining of HAP1. The kit provides all reagents, from antigen retrieval to cover slip mounting, that require little to no diluting or handling prior to use. Simply apply the reagents to your sample slide according to the protocol and you're steps away from obtaining high-quality IHC data.
| Product name | IHCeasy HAP1 Ready-To-Use IHC Kit |
| Sample type | FFPE tissue |
| Assay type | Immunohistochemistry |
| Primary antibody type | Rabbit Polyclonal |
| Secondary antibody type | Polymer-HRP-Goat anti-Rabbit |
| Reactivity | Human, Mouse, Rat |
Kit components
| Component | Size | Concentration |
|---|---|---|
| Antigen Retrieval Buffer | 100 mL | 50× |
| Washing Buffer | 100 mL ×2 | 20× |
| Blocking Buffer | 5 mL | RTU |
| Primary Antibody | 5 mL | RTU |
| Secondary Antibody | 5 mL | RTU |
| Chromogen Component A | 0.2 mL | RTU |
| Chromogen Component B | 4 mL | RTU |
| Signal Enhancer | 5 mL | RTU |
| Counter Staining Reagent | 5 mL | RTU |
| Mounting Media | 5 mL | RTU |
| Datasheet | 1 Copy | |
| Manual | 1 Copy |
Background Information
HAP1 (Huntingtin-associated protein 1) was originally identified as neuronal protein that specifically associates with HTT/huntingtin and the binding is enhanced by an expanded polyglutamine repeat within HTT. HTT is expressed ubiquitously, while HAP1 is expressed predominantly in the central nervous system (CNS). Both HTT and HAP1 participate in intracellular trafficking. HAP1 is involved in the vesicular transport, gene transcription regulation, membrane receptor trafficking and other functions such as calcium release and protein aggregation.
Properties
| Storage Instructions | All the reagents are stored at 2-8°C. The kit is stable for 6 months from the date of receipt. |
| Synonyms | HAP 1, HAP1, HAP2, hHLP1, HIP5, HLP, HLP1, Neuroan 1 |







