IHCeasy® H2AX Ready-To-Use IHC Kit
H2AX Ready-to-use reagent kit for IHC.
Reactivity
Human, Mouse, Rat
Sample Type
FFPE tissue
Cat no : KHC1551
Synonyms
H2A histone family, member X, H2A.X, H2A/X, H2AFX, H2AX, histone, Histone H2A.x
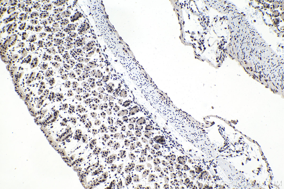
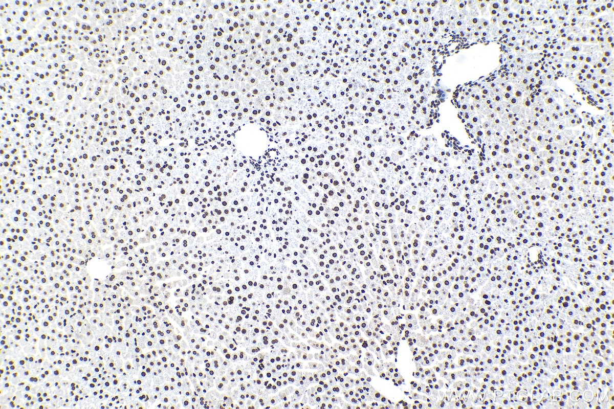
Validation Data Gallery
Product Information
KHC1551 is a ready-to-use IHC kit for staining of H2AX. The kit provides all reagents, from antigen retrieval to cover slip mounting, that require little to no diluting or handling prior to use. Simply apply the reagents to your sample slide according to the protocol and you're steps away from obtaining high-quality IHC data.
| Product name | IHCeasy H2AX Ready-To-Use IHC Kit |
| Sample type | FFPE tissue |
| Assay type | Immunohistochemistry |
| Primary antibody type | Rabbit Polyclonal |
| Secondary antibody type | Polymer-HRP-Goat anti-Rabbit |
| Reactivity | Human, Mouse, Rat |
Kit components
| Component | Size | Concentration |
|---|---|---|
| Antigen Retrieval Buffer | 100 mL | 50× |
| Washing Buffer | 100 mL ×2 | 20× |
| Blocking Buffer | 5 mL | RTU |
| Primary Antibody | 5 mL | RTU |
| Secondary Antibody | 5 mL | RTU |
| Chromogen Component A | 0.2 mL | RTU |
| Chromogen Component B | 4 mL | RTU |
| Signal Enhancer | 5 mL | RTU |
| Counter Staining Reagent | 5 mL | RTU |
| Mounting Media | 5 mL | RTU |
| Datasheet | 1 Copy | |
| Manual | 1 Copy |
Background Information
Histone H2A. X belongs to the histone H2A family, which is synthesized in G1 and S phase. It is involved in nucleosomal organization of chromatin together with other histone proteins, and is specially important for recombination between immunoglobulin switch regions. H2A. X becomes phosphorylated on serine 139 (to form gamma-H2AFX or H2AX139ph) in response to DNA double strand breaks (DSBs) generated by exogenous genotoxic agents and by stalled replication forks, which promotes DNA repair and maintains genomic stability.
Properties
| Storage Instructions | All the reagents are stored at 2-8°C. The kit is stable for 6 months from the date of receipt. |
| Synonyms | H2A histone family, member X, H2A.X, H2A/X, H2AFX, H2AX, histone, Histone H2A.x |








