IHCeasy® GRLF1 Ready-To-Use IHC Kit
GRLF1 Ready-to-use reagent kit for IHC.
Reactivity
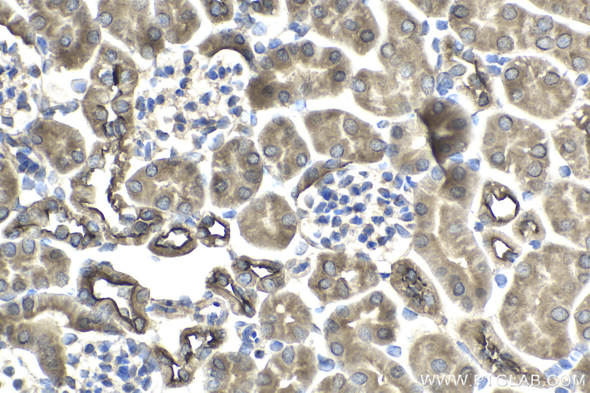
Human, Mouse
Sample Type
FFPE tissue
Cat no : KHC1963
Synonyms
ARHGAP35, GRF 1, GRF1, GRLF1, KIAA1722, P190 A, P190A, p190RhoGAP, Rho GAP p190A
Validation Data Gallery
Product Information
KHC1963 is a ready-to-use IHC kit for staining of GRLF1. The kit provides all reagents, from antigen retrieval to cover slip mounting, that require little to no diluting or handling prior to use. Simply apply the reagents to your sample slide according to the protocol and you're steps away from obtaining high-quality IHC data.
| Product name | IHCeasy GRLF1 Ready-To-Use IHC Kit |
| Sample type | FFPE tissue |
| Assay type | Immunohistochemistry |
| Primary antibody type | Rabbit Polyclonal |
| Secondary antibody type | Polymer-HRP-Goat anti-Rabbit |
| Reactivity | Human, Mouse |
Kit components
| Component | Size | Concentration |
|---|---|---|
| Antigen Retrieval Buffer | 100 mL | 50× |
| Washing Buffer | 100 mL ×2 | 20× |
| Blocking Buffer | 5 mL | RTU |
| Primary Antibody | 5 mL | RTU |
| Secondary Antibody | 5 mL | RTU |
| Chromogen Component A | 0.2 mL | RTU |
| Chromogen Component B | 4 mL | RTU |
| Signal Enhancer | 5 mL | RTU |
| Counter Staining Reagent | 5 mL | RTU |
| Mounting Media | 5 mL | RTU |
| Datasheet | 1 Copy | |
| Manual | 1 Copy |
Background Information
GRLF1 is also named as ARHGAP35, p190ARHOGAP, KIAA1722, P190A and GRF1. GRLF1 is a kind of Rho GTPase-activating protein, and it binds several acidic phospholipids which inhibits the Rho GAP activity to promote the Rac GAP activity. This binding is inhibited by phosphorylation by PRKCA. GRLF1 is Involved in cell differentiation as well as cell adhesion and migration. And it plays an important role in retinal tissue morphogenesis, neural tube fusion, midline fusion of the cerebral hemispheres and mammary gland branching morphogenesis.
Properties
| Storage Instructions | All the reagents are stored at 2-8°C. The kit is stable for 6 months from the date of receipt. |
| Synonyms | ARHGAP35, GRF 1, GRF1, GRLF1, KIAA1722, P190 A, P190A, p190RhoGAP, Rho GAP p190A |



