IHCeasy® GRINA Ready-To-Use IHC Kit
GRINA Ready-to-use reagent kit for IHC.
Reactivity
Human, Mouse, Rat
Sample Type
FFPE tissue
Cat no : KHC3279
Synonyms
Glutamate [NMDA] receptor-associated protein 1, HNRGW, LFG1, Protein lifeguard 1, Putative MAPK-activating protein PM02
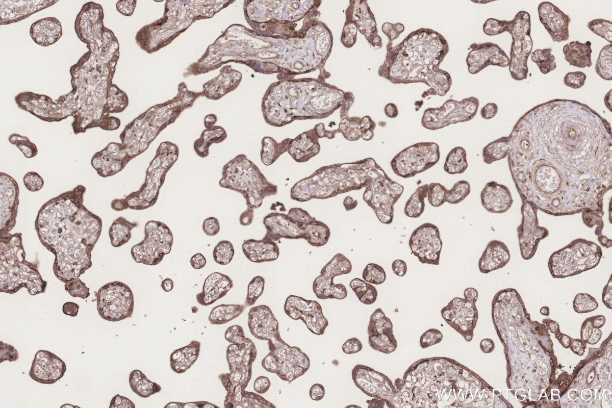
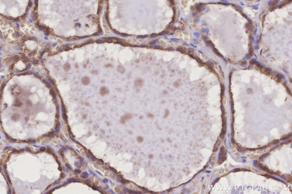
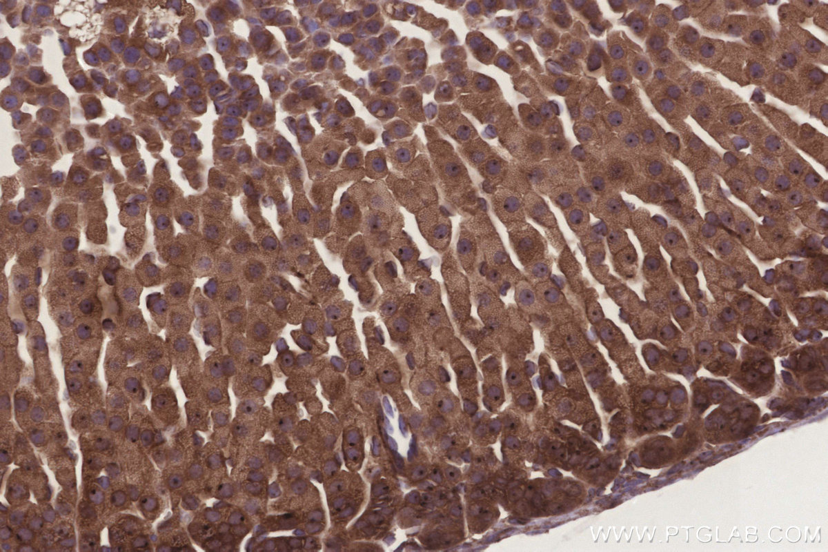
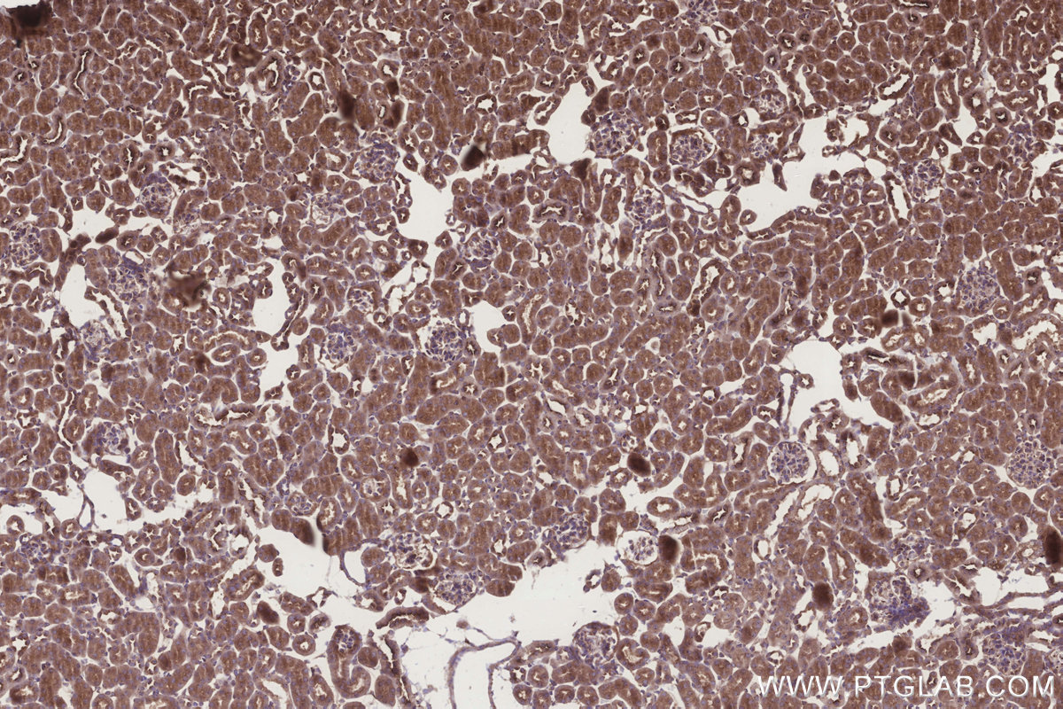
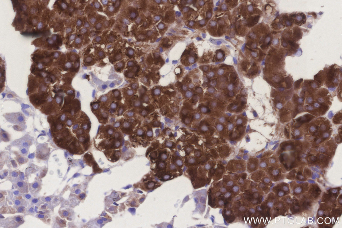
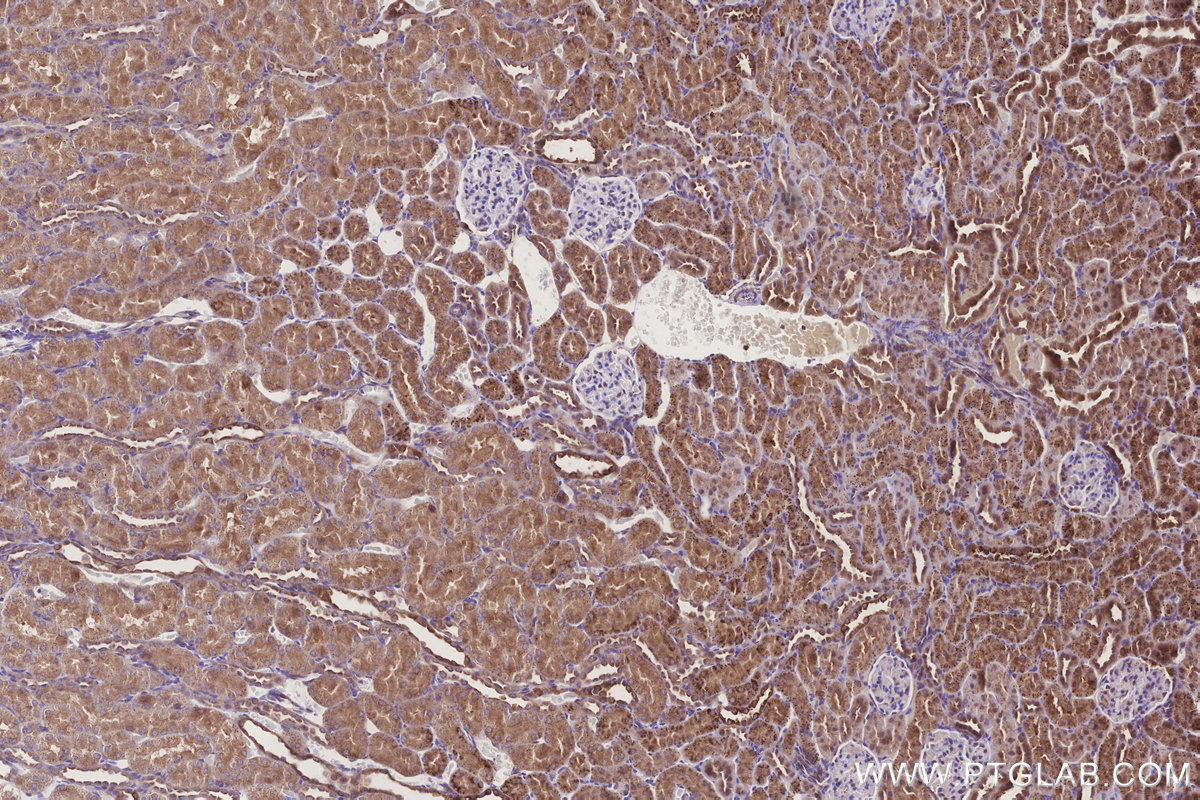
Validation Data Gallery
Product Information
KHC3279 is a ready-to-use IHC kit for staining of GRINA. The kit provides all reagents, from antigen retrieval to cover slip mounting, that require little to no diluting or handling prior to use. Simply apply the reagents to your sample slide according to the protocol and you're steps away from obtaining high-quality IHC data.
| Product name | IHCeasy® GRINA Ready-To-Use IHC Kit |
| Sample type | FFPE tissue |
| Assay type | Immunohistochemistry |
| Primary antibody type | Rabbit Polyclonal |
| Secondary antibody type | Polymer-HRP-Goat anti-Rabbit |
| Reactivity | Human, Mouse, Rat |
Kit components
| Component | Size | Concentration |
|---|---|---|
| Antigen Retrieval Buffer | 100 mL | 50× |
| Washing Buffer | 100 mL ×2 | 20× |
| Blocking Buffer | 5 mL | RTU |
| Primary Antibody | 5 mL | RTU |
| Secondary Antibody | 5 mL | RTU |
| Chromogen Component A | 0.2 mL | RTU |
| Chromogen Component B | 4 mL | RTU |
| Signal Enhancer | 5 mL | RTU |
| Counter Staining Reagent | 5 mL | RTU |
| Mounting Media | 5 mL | RTU |
| Datasheet | 1 Copy | |
| Manual | 1 Copy |
Background Information
Glutamate Receptor Ionotropic NMDA-Associated Protein 1 (GRINA, also known as TMBIM3) is a transmembrane protein involved in calcium homeostasis and cell survival. It plays a crucial role in regulating intracellular calcium levels, which are essential for processes such as cell survival, neurotransmitter release, and apoptosis. GRINA also involves vesicle transport and sorting, particularly in secretory cells like neurons and mammary glands. Additionally, GRINA has been implicated in regulating aerobic glycolysis and tumor progression in gastric cancer.
Properties
| Storage Instructions | All the reagents are stored at 2-8°C. The kit is stable for 6 months from the date of receipt. |
| Synonyms | Glutamate [NMDA] receptor-associated protein 1, HNRGW, LFG1, Protein lifeguard 1, Putative MAPK-activating protein PM02 |







