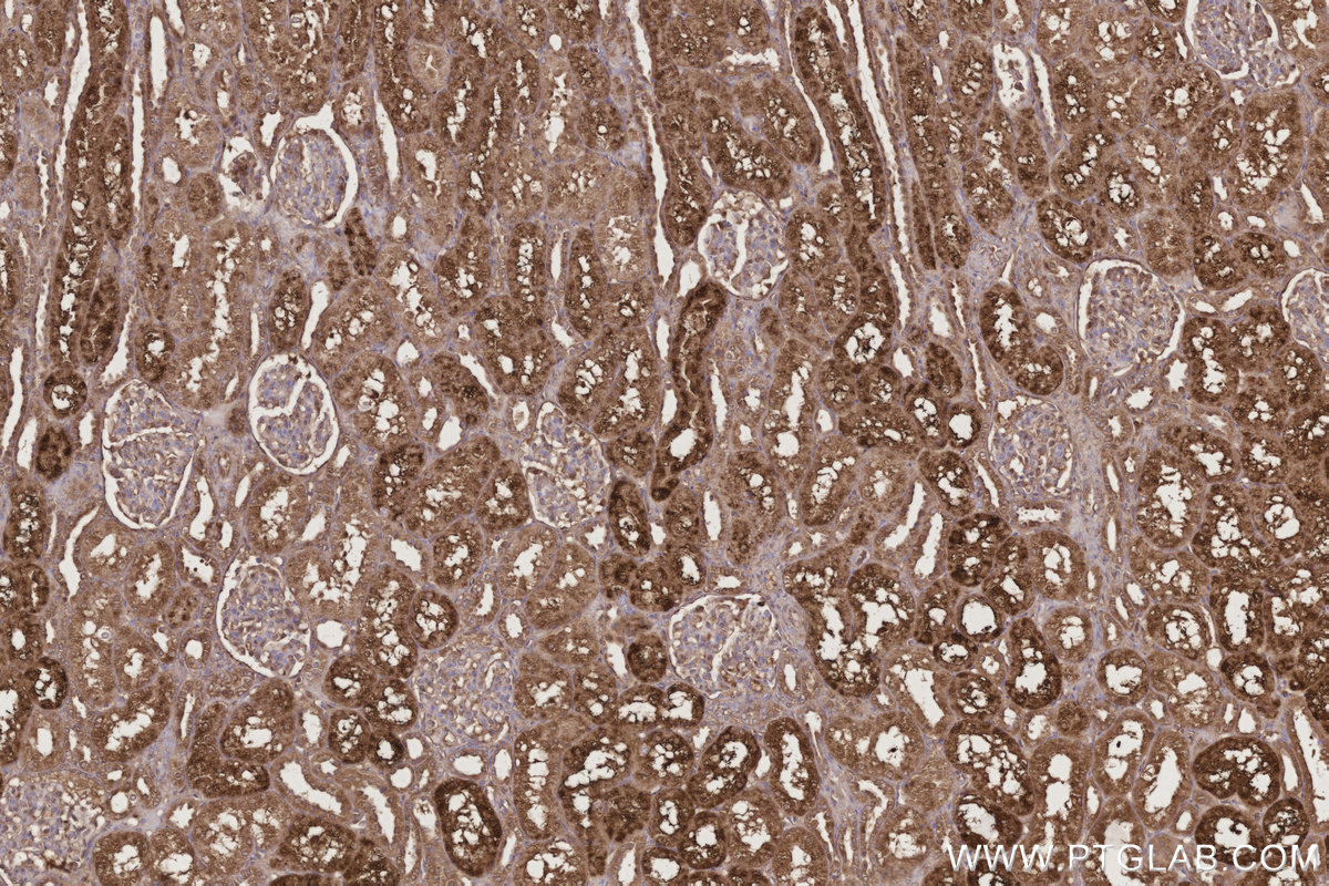
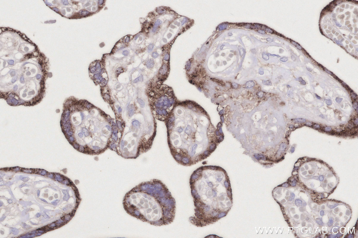
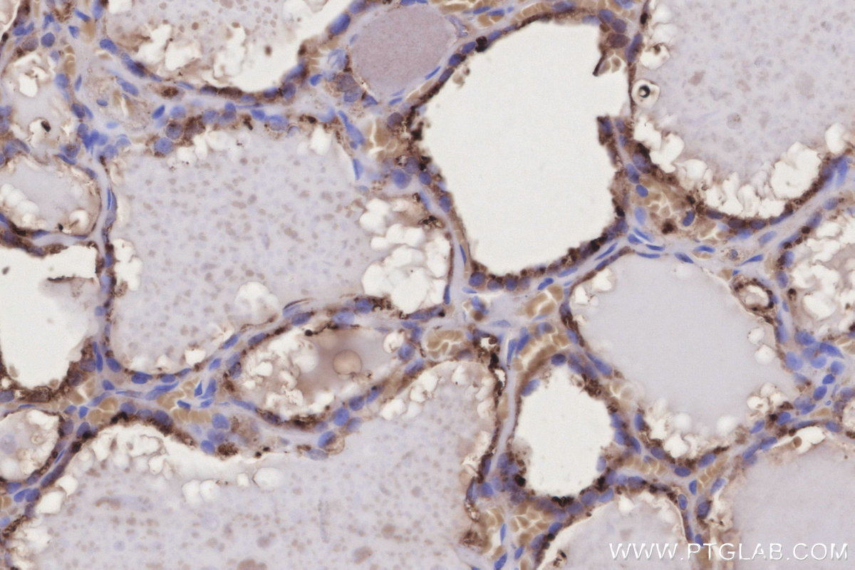
IHCeasy® GM2A Ready-To-Use IHC Kit
GM2A Ready-to-use reagent kit for IHC.
Reactivity
Human
Sample Type
FFPE tissue
Cat no : KHC3194
Synonyms
Ganglioside GM2 activator isoform short, GM2AP, GM2-AP, SAP3, SAP-3
Validation Data Gallery
Product Information
KHC3194 is a ready-to-use IHC kit for staining of GM2A. The kit provides all reagents, from antigen retrieval to cover slip mounting, that require little to no diluting or handling prior to use. Simply apply the reagents to your sample slide according to the protocol and you're steps away from obtaining high-quality IHC data.
| Product name | IHCeasy® GM2A Ready-To-Use IHC Kit |
| Sample type | FFPE tissue |
| Assay type | Immunohistochemistry |
| Primary antibody type | Mouse Monoclonal |
| Secondary antibody type | Polymer-HRP-Goat anti-Mouse |
| Reactivity | Human |
Kit components
| Component | Size | Concentration |
|---|---|---|
| Antigen Retrieval Buffer | 100 mL | 50× |
| Washing Buffer | 100 mL ×2 | 20× |
| Blocking Buffer | 5 mL | RTU |
| Primary Antibody | 5 mL | RTU |
| Secondary Antibody | 5 mL | RTU |
| Chromogen Component A | 0.2 mL | RTU |
| Chromogen Component B | 4 mL | RTU |
| Signal Enhancer | 5 mL | RTU |
| Counter Staining Reagent | 5 mL | RTU |
| Mounting Media | 5 mL | RTU |
| Datasheet | 1 Copy | |
| Manual | 1 Copy |
Background Information
GM2A, also named as GM2-AP and SAP-3, is the large binding pocket which can accommodate several single chain phospholipids and fatty acids. GM2A also exhibits some calcium-independent phospholipase activity. It plays a key role in the degradation of ganglioside GM2 (GM2). GM2A stimulates only the breakdown of ganglioside GM2 and glycolipid GA2 by beta-hexosaminidase A.
Properties
| Storage Instructions | All the reagents are stored at 2-8°C. The kit is stable for 6 months from the date of receipt. |
| Synonyms | Ganglioside GM2 activator isoform short, GM2AP, GM2-AP, SAP3, SAP-3 |



