IHCeasy® GJA1/Connexin 43 Ready-To-Use IHC Kit
GJA1/Connexin 43 Ready-to-use reagent kit for IHC.
Reactivity
Human, Mouse, Rat
Sample Type
FFPE tissue
Cat no : KHC2220
Synonyms
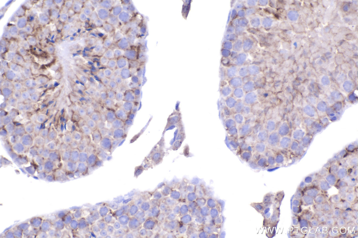
Validation Data Gallery
Product Information
KHC2220 is a ready-to-use IHC kit for staining of GJA1/Connexin 43. The kit provides all reagents, from antigen retrieval to cover slip mounting, that require little to no diluting or handling prior to use. Simply apply the reagents to your sample slide according to the protocol and you're steps away from obtaining high-quality IHC data.
| Product name | IHCeasy GJA1/Connexin 43 Ready-To-Use IHC Kit |
| Sample type | FFPE tissue |
| Assay type | Immunohistochemistry |
| Primary antibody type | Rabbit Recombinant |
| Secondary antibody type | Polymer-HRP-Goat anti-Rabbit |
| Reactivity | Human, Mouse, Rat |
Kit components
| Component | Size | Concentration |
|---|---|---|
| Antigen Retrieval Buffer | 100 mL | 50× |
| Washing Buffer | 100 mL ×2 | 20× |
| Blocking Buffer | 5 mL | RTU |
| Primary Antibody | 5 mL | RTU |
| Secondary Antibody | 5 mL | RTU |
| Chromogen Component A | 0.2 mL | RTU |
| Chromogen Component B | 4 mL | RTU |
| Signal Enhancer | 5 mL | RTU |
| Counter Staining Reagent | 5 mL | RTU |
| Mounting Media | 5 mL | RTU |
| Datasheet | 1 Copy | |
| Manual | 1 Copy |
Background Information
Connexin 43 (Cx43, also known as gap junction alpha-1), a member of connexin family, plays essential roles in gap junction communication that facilitates direct communication among adjacent cells. Usually, six connexin proteins oligomerize into a hemi-channel or connexon during intercellular channel formation. Mutations of Connexin 43 may cause a series of diseases such as oculodentodigital dysplasia (ODDD), syndactyly 3 (SDTY3), hypoplastic left heart syndrome 1 (HLHS1) and so on.
Properties
| Storage Instructions | All the reagents are stored at 2-8°C. The kit is stable for 6 months from the date of receipt. |
| Synonyms |





