IHCeasy® GHRL Ready-To-Use IHC Kit
GHRL Ready-to-use reagent kit for IHC.
Reactivity
Human, Mouse, Rat
Sample Type
FFPE tissue
Cat no : KHC3002
Synonyms
Appetite regulating hormone, Appetite-regulating hormone, Ghrelin-27, Ghrelin-28, Growth hormone secretagogue
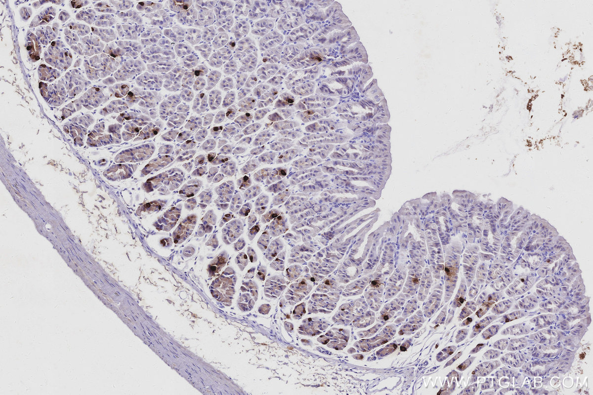
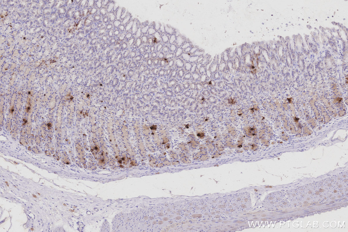
Validation Data Gallery
Product Information
KHC3002 is a ready-to-use IHC kit for staining of GHRL. The kit provides all reagents, from antigen retrieval to cover slip mounting, that require little to no diluting or handling prior to use. Simply apply the reagents to your sample slide according to the protocol and you're steps away from obtaining high-quality IHC data.
| Product name | IHCeasy® GHRL Ready-To-Use IHC Kit |
| Sample type | FFPE tissue |
| Assay type | Immunohistochemistry |
| Primary antibody type | Rabbit Polyclonal |
| Secondary antibody type | Polymer-HRP-Goat anti-Rabbit |
| Reactivity | Human, Mouse, Rat |
Kit components
| Component | Size | Concentration |
|---|---|---|
| Antigen Retrieval Buffer | 100 mL | 50× |
| Washing Buffer | 100 mL ×2 | 20× |
| Blocking Buffer | 5 mL | RTU |
| Primary Antibody | 5 mL | RTU |
| Secondary Antibody | 5 mL | RTU |
| Chromogen Component A | 0.2 mL | RTU |
| Chromogen Component B | 4 mL | RTU |
| Signal Enhancer | 5 mL | RTU |
| Counter Staining Reagent | 5 mL | RTU |
| Mounting Media | 5 mL | RTU |
| Datasheet | 1 Copy | |
| Manual | 1 Copy |
Background Information
GHRL encodes ghrelin-obestatin preproprotein, which generates ghrelin and obestatin. Ghrelin is predominantly produced in endocrine cells in the gastric mucosa, called X/A-like or ghrelin cells, from where it is secreted into the plasma. In the pituitary gland, ghrelin stimulates GH release and regulates food intake and energy metabolism. Obestatin was initially reported to be an endogenous ligand for the orphan G protein-coupled receptor GPR39 and was involved in satiety and decreased food intake; however, these findings are controversial. Recent reports show that obestatin is involved in inhibiting thirst and anxiety, improving memory, regulating sleep, affecting cell proliferation, and increasing the secretion of pancreatic juice enzymes.
Properties
| Storage Instructions | All the reagents are stored at 2-8°C. The kit is stable for 6 months from the date of receipt. |
| Synonyms | Appetite regulating hormone, Appetite-regulating hormone, Ghrelin-27, Ghrelin-28, Growth hormone secretagogue |


