IHCeasy® GCDH Ready-To-Use IHC Kit
GCDH Ready-to-use reagent kit for IHC.
Reactivity
Human, Mouse
Sample Type
FFPE tissue
Cat no : KHC3309
Synonyms
ACAD5, EC:1.3.8.6, GCD, Glutaryl-CoA dehydrogenase, mitochondrial
Validation Data Gallery
Product Information
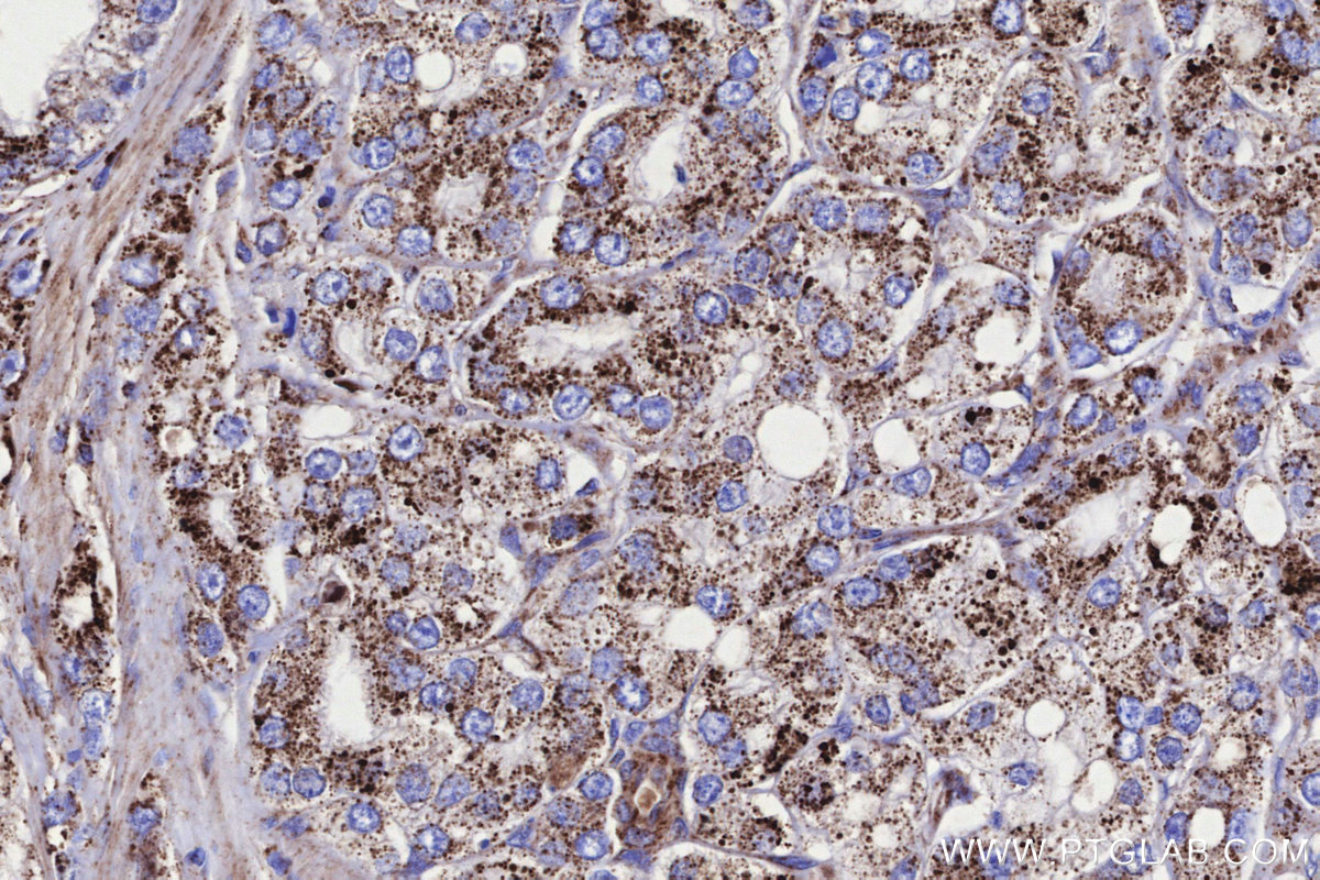
KHC3309 is a ready-to-use IHC kit for staining of GCDH. The kit provides all reagents, from antigen retrieval to cover slip mounting, that require little to no diluting or handling prior to use. Simply apply the reagents to your sample slide according to the protocol and you're steps away from obtaining high-quality IHC data.
| Product name | IHCeasy® GCDH Ready-To-Use IHC Kit |
| Sample type | FFPE tissue |
| Assay type | Immunohistochemistry |
| Primary antibody type | Rabbit Polyclonal |
| Secondary antibody type | Polymer-HRP-Goat anti-Rabbit |
| Reactivity | Human, Mouse |
Kit components
| Component | Size | Concentration |
|---|---|---|
| Antigen Retrieval Buffer | 100 mL | 50× |
| Washing Buffer | 100 mL ×2 | 20× |
| Blocking Buffer | 5 mL | RTU |
| Primary Antibody | 5 mL | RTU |
| Secondary Antibody | 5 mL | RTU |
| Chromogen Component A | 0.2 mL | RTU |
| Chromogen Component B | 4 mL | RTU |
| Signal Enhancer | 5 mL | RTU |
| Counter Staining Reagent | 5 mL | RTU |
| Mounting Media | 5 mL | RTU |
| Datasheet | 1 Copy | |
| Manual | 1 Copy |
Background Information
GCDH is a nuclear-encoded mitochondrial protein involved in the catabolic pathway of tryptophan, lysine and hydroxylysine. The functional enzyme is a homotetramer of 43.3 kDa subunits that resides in the mitochondrial matrix. GCDH activity reduction leads to predominant accumulation of glutaric (GA) and 3- hydroxyglutaric (3HGA) acids in tissues, mostly brain, and biological fluids of affected patients. GCDH is widely expressed and has the highest levels in liver and kidney, which is consistent with its role in amino acid oxidation.
Properties
| Storage Instructions | All the reagents are stored at 2-8°C. The kit is stable for 6 months from the date of receipt. |
| Synonyms | ACAD5, EC:1.3.8.6, GCD, Glutaryl-CoA dehydrogenase, mitochondrial |



