IHCeasy® Frataxin Ready-To-Use IHC Kit
Frataxin Ready-to-use reagent kit for IHC.
Reactivity
Human
Sample Type
FFPE tissue
Cat no : KHC3257
Synonyms
FXN, CyaY, d FXN, dFXN, EC:1.16.3.1
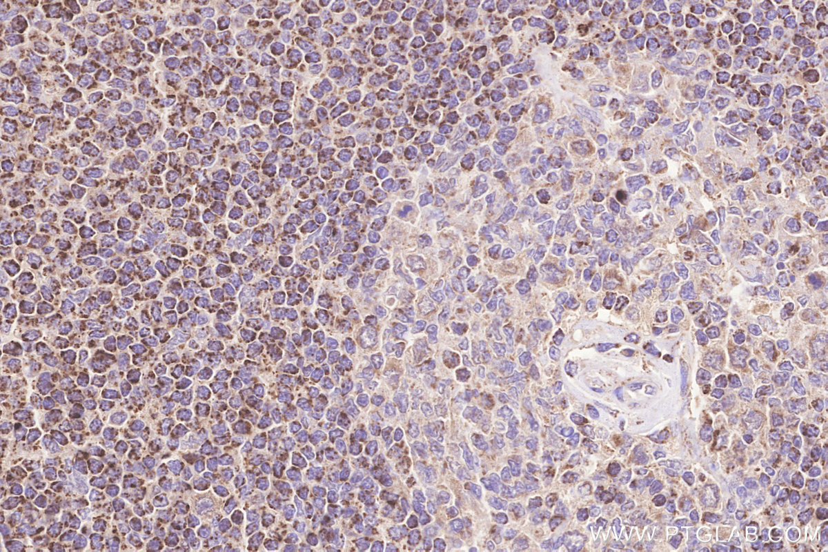
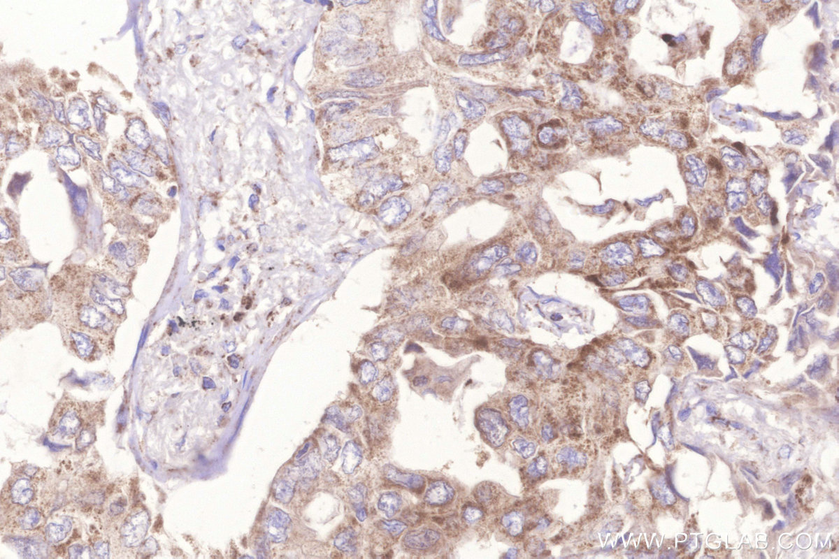
Validation Data Gallery
Product Information
KHC3257 is a ready-to-use IHC kit for staining of Frataxin. The kit provides all reagents, from antigen retrieval to cover slip mounting, that require little to no diluting or handling prior to use. Simply apply the reagents to your sample slide according to the protocol and you're steps away from obtaining high-quality IHC data.
| Product name | IHCeasy® Frataxin Ready-To-Use IHC Kit |
| Sample type | FFPE tissue |
| Assay type | Immunohistochemistry |
| Primary antibody type | Rabbit Polyclonal |
| Secondary antibody type | Polymer-HRP-Goat anti-Rabbit |
| Reactivity | Human |
Kit components
| Component | Size | Concentration |
|---|---|---|
| Antigen Retrieval Buffer | 100 mL | 50× |
| Washing Buffer | 100 mL ×2 | 20× |
| Blocking Buffer | 5 mL | RTU |
| Primary Antibody | 5 mL | RTU |
| Secondary Antibody | 5 mL | RTU |
| Chromogen Component A | 0.2 mL | RTU |
| Chromogen Component B | 4 mL | RTU |
| Signal Enhancer | 5 mL | RTU |
| Counter Staining Reagent | 5 mL | RTU |
| Mounting Media | 5 mL | RTU |
| Datasheet | 1 Copy | |
| Manual | 1 Copy |
Background Information
Frataxin (FXN), also named as FRDA, X25, m81-FXN, d-FXN, m78-FXN and i-FXN, belongs to the frataxin family. It promotes the biosynthesis of heme and assembly and repair of iron-sulfur clusters by delivering Fe2+ to proteins involved in these pathways. FXN may play a role in the protection against iron-catalyzed oxidative stress through its ability to catalyze the oxidation of Fe2+ to Fe3+; the oligomeric form but not the monomeric form has in vitro ferroxidase activity. FXN is cleaved to be 4 chains. FXN is expressed in the cytoplasm as a 210 amino acid (AA) precursor protein that is translocated into mitochondria where it is processed by two consecutive steps into iFXN and finally mFXN, which is functional.
Properties
| Storage Instructions | All the reagents are stored at 2-8°C. The kit is stable for 6 months from the date of receipt. |
| Synonyms | FXN, CyaY, d FXN, dFXN, EC:1.16.3.1 |



