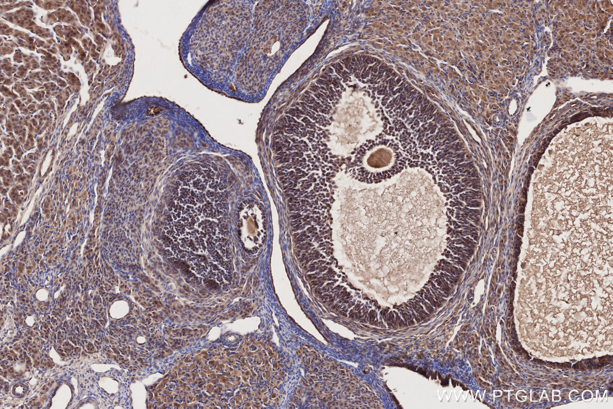
IHCeasy® FRS2 Ready-To-Use IHC Kit
FRS2 Ready-to-use reagent kit for IHC.
Reactivity
Human, Mouse, Rat
Sample Type
FFPE tissue
Cat no : KHC2731
Synonyms
FRS2, FGFR substrate 2, FGFR-signaling adaptor SNT, FRS2A, FRS2alpha
Validation Data Gallery
Product Information
KHC2731 is a ready-to-use IHC kit for staining of FRS2. The kit provides all reagents, from antigen retrieval to cover slip mounting, that require little to no diluting or handling prior to use. Simply apply the reagents to your sample slide according to the protocol and you're steps away from obtaining high-quality IHC data.
| Product name | IHCeasy FRS2 Ready-To-Use IHC Kit |
| Sample type | FFPE tissue |
| Assay type | Immunohistochemistry |
| Primary antibody type | Rabbit Polyclonal |
| Secondary antibody type | Polymer-HRP-Goat anti-Rabbit |
| Reactivity | Human, Mouse, Rat |
Kit components
| Component | Size | Concentration |
|---|---|---|
| Antigen Retrieval Buffer | 100 mL | 50× |
| Washing Buffer | 100 mL ×2 | 20× |
| Blocking Buffer | 5 mL | RTU |
| Primary Antibody | 5 mL | RTU |
| Secondary Antibody | 5 mL | RTU |
| Chromogen Component A | 0.2 mL | RTU |
| Chromogen Component B | 4 mL | RTU |
| Signal Enhancer | 5 mL | RTU |
| Counter Staining Reagent | 5 mL | RTU |
| Mounting Media | 5 mL | RTU |
| Datasheet | 1 Copy | |
| Manual | 1 Copy |
Background Information
Fibroblast growth factor (FGF) receptor substrate 2 (FRS2) has an alternative name as SNT-1, it is an adapter protein that links activated FGR and NGF receptors to downstream signaling pathways. FGF receptor substrates (FRS2 and FRS3) are key adaptor proteins that mediate FGF-FGFR signalling in benign as well as malignant tissue. FRS2 is a 508 amino-acid protein,which is phosphorylated on tyrosine residues. Phosphorylation of FRS2 is associated with activation of a number of MAP kinases. Allele-specific regulation of FGFR2 mRNA expression with a mildly increased breast cancer risk has been reported.
Properties
| Storage Instructions | All the reagents are stored at 2-8°C. The kit is stable for 6 months from the date of receipt. |
| Synonyms | FRS2, FGFR substrate 2, FGFR-signaling adaptor SNT, FRS2A, FRS2alpha |





