IHCeasy® FNTA Ready-To-Use IHC Kit
FNTA Ready-to-use reagent kit for IHC.
Reactivity
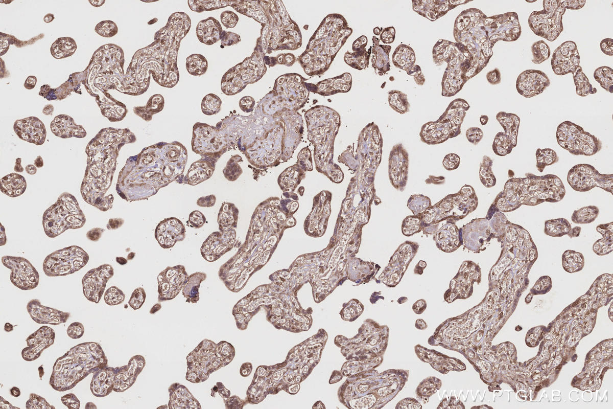
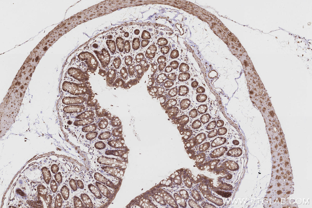
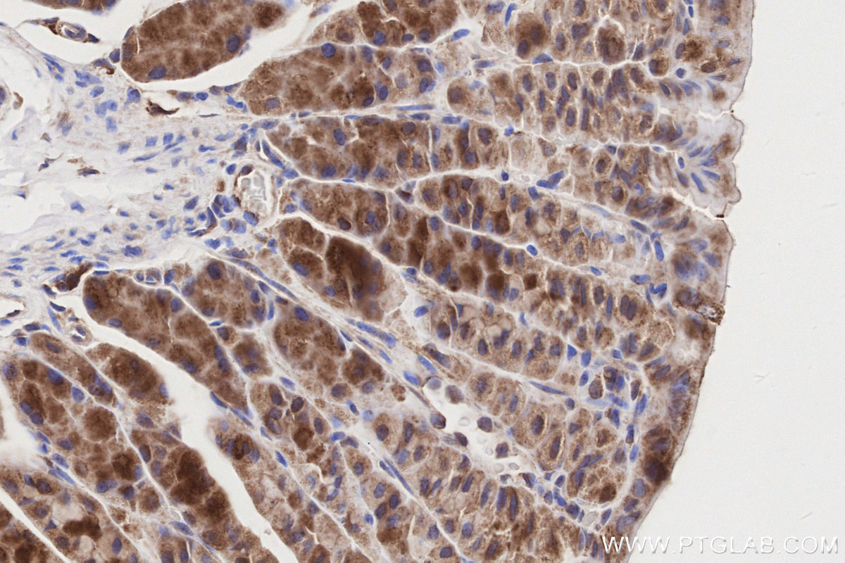
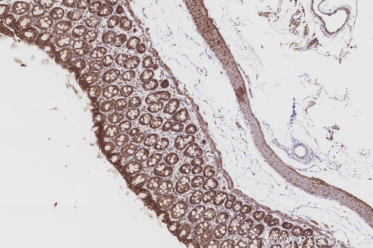
Human, Mouse, Rat
Sample Type
FFPE tissue
Cat no : KHC3216
Synonyms
EC:2.5.1.58, FPTA, FTase alpha, FTase-alpha, GGTase I alpha
Validation Data Gallery
Product Information
KHC3216 is a ready-to-use IHC kit for staining of FNTA. The kit provides all reagents, from antigen retrieval to cover slip mounting, that require little to no diluting or handling prior to use. Simply apply the reagents to your sample slide according to the protocol and you're steps away from obtaining high-quality IHC data.
| Product name | IHCeasy® FNTA Ready-To-Use IHC Kit |
| Sample type | FFPE tissue |
| Assay type | Immunohistochemistry |
| Primary antibody type | Rabbit Polyclonal |
| Secondary antibody type | Polymer-HRP-Goat anti-Rabbit |
| Reactivity | Human, Mouse, Rat |
Kit components
| Component | Size | Concentration |
|---|---|---|
| Antigen Retrieval Buffer | 100 mL | 50× |
| Washing Buffer | 100 mL ×2 | 20× |
| Blocking Buffer | 5 mL | RTU |
| Primary Antibody | 5 mL | RTU |
| Secondary Antibody | 5 mL | RTU |
| Chromogen Component A | 0.2 mL | RTU |
| Chromogen Component B | 4 mL | RTU |
| Signal Enhancer | 5 mL | RTU |
| Counter Staining Reagent | 5 mL | RTU |
| Mounting Media | 5 mL | RTU |
| Datasheet | 1 Copy | |
| Manual | 1 Copy |
Background Information
Protein geranylgeranyltransferase type-I (GGTase-I) transfers a geranylgeranyl group to the cysteine residue of candidate proteins containing a carboxyl-terminal CAAX motif in which the "X" residue is leucine. The enzyme is composed of a 48-kilodalton alpha subunit and a 43-kilodalton beta subunit. Peptides isolated from the alpha subunit of GGTase-I were shown to be identical with the alpha subunit of a related enzyme, protein farnesyltransferase.
Properties
| Storage Instructions | All the reagents are stored at 2-8°C. The kit is stable for 6 months from the date of receipt. |
| Synonyms | EC:2.5.1.58, FPTA, FTase alpha, FTase-alpha, GGTase I alpha |







