IHCeasy® FLNA Ready-To-Use IHC Kit
FLNA Ready-to-use reagent kit for IHC.
Reactivity
Human
Sample Type
FFPE tissue
Cat no : KHC0655
Synonyms
ABP 280, ABPX, Actin binding protein 280, Alpha filamin, DKFZp434P031, Filamin 1, Filamin A, FLN, FLN A, FLN1, FLNA, FMD, MNS, NHBP, Non muscle filamin, OPD, OPD1, OPD2
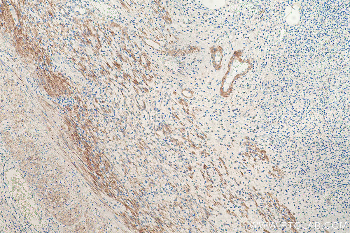
Validation Data Gallery
Product Information
KHC0655 is a ready-to-use IHC kit for staining of FLNA. The kit provides all reagents, from antigen retrieval to cover slip mounting, that require little to no diluting or handling prior to use. Simply apply the reagents to your sample slide according to the protocol and you're steps away from obtaining high-quality IHC data.
| Product name | IHCeasy FLNA Ready-To-Use IHC Kit |
| Sample type | FFPE tissue |
| Assay type | Immunohistochemistry |
| Primary antibody type | Mouse Monoclonal |
| Secondary antibody type | Polymer-HRP-Goat anti-Mouse |
| Reactivity | Human |
Kit components
| Component | Size | Concentration |
|---|---|---|
| Antigen Retrieval Buffer | 100 mL | 50× |
| Washing Buffer | 100 mL ×2 | 20× |
| Blocking Buffer | 5 mL | RTU |
| Primary Antibody | 5 mL | RTU |
| Secondary Antibody | 5 mL | RTU |
| Chromogen Component A | 0.2 mL | RTU |
| Chromogen Component B | 4 mL | RTU |
| Signal Enhancer | 5 mL | RTU |
| Counter Staining Reagent | 5 mL | RTU |
| Mounting Media | 5 mL | RTU |
| Datasheet | 1 Copy | |
| Manual | 1 Copy |
Background Information
FLNA encodes a 280 kDa widely expressed actin binding protein called filamin A which can crosslinks actin filaments and links actin filaments to membrane glycoproteins to form a three-dimensional network. And filamin A could interact with many other proteins, involved in receptor activation, cell migration and adhesion, cell proliferation, inflammation and tumorigenesis, studies have been reported that FLNA overexpressed in multiple types of tumors, suggesting FLNA may involved in cancer aggressiveness. What's more, FLNA is an causative gene of periventricular nodular heterotopia (PNH)
Properties
| Storage Instructions | All the reagents are stored at 2-8°C. The kit is stable for 6 months from the date of receipt. |
| Synonyms | ABP 280, ABPX, Actin binding protein 280, Alpha filamin, DKFZp434P031, Filamin 1, Filamin A, FLN, FLN A, FLN1, FLNA, FMD, MNS, NHBP, Non muscle filamin, OPD, OPD1, OPD2 |





