IHCeasy® FIRRM/C1orf112 Ready-To-Use IHC Kit
FIRRM/C1orf112 Ready-to-use reagent kit for IHC.
Reactivity
Human
Sample Type
FFPE tissue
Cat no : KHC2952
Synonyms
C1orf112, APOLO1, FIDGETIN-like-1 interacting protein, FIGNL1 Interacting Regulator Of Recombination And Mitosis, FIGNL1-interacting regulator of recombination and mitosis
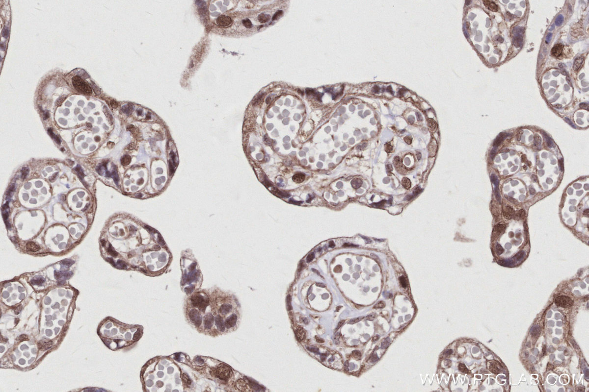
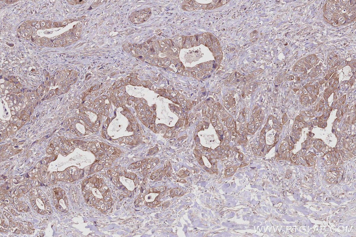
Validation Data Gallery
Product Information
KHC2952 is a ready-to-use IHC kit for staining of FIRRM/C1orf112. The kit provides all reagents, from antigen retrieval to cover slip mounting, that require little to no diluting or handling prior to use. Simply apply the reagents to your sample slide according to the protocol and you're steps away from obtaining high-quality IHC data.
| Product name | IHCeasy FIRRM/C1orf112 Ready-To-Use IHC Kit |
| Sample type | FFPE tissue |
| Assay type | Immunohistochemistry |
| Primary antibody type | Rabbit Polyclonal |
| Secondary antibody type | Polymer-HRP-Goat anti-Rabbit |
| Reactivity | Human |
Kit components
| Component | Size | Concentration |
|---|---|---|
| Antigen Retrieval Buffer | 100 mL | 50× |
| Washing Buffer | 100 mL ×2 | 20× |
| Blocking Buffer | 5 mL | RTU |
| Primary Antibody | 5 mL | RTU |
| Secondary Antibody | 5 mL | RTU |
| Chromogen Component A | 0.2 mL | RTU |
| Chromogen Component B | 4 mL | RTU |
| Signal Enhancer | 5 mL | RTU |
| Counter Staining Reagent | 5 mL | RTU |
| Mounting Media | 5 mL | RTU |
| Datasheet | 1 Copy | |
| Manual | 1 Copy |
Background Information
FIRRM (Fanconi anemia pathway and RAD51-mediated DNA repair regulator, also known as C1orf112 or FLIP) is an evolutionarily conserved protein involved in DNA damage repair and homologous recombination. It ensures DNA cross-link (ICL) repair and genomic stability by regulating RAD51 activity. FIRRM expression is upregulated in a variety of tumors and correlates with poor prognosis. Its dysfunction leads to increased genomic instability, as evidenced by enhanced DNA damage signaling, chromosomal abnormalities, and micronucleus formation. The study of FIRRM is important for understanding the mechanisms of tumorigenesis and developing new therapeutic strategies.
Properties
| Storage Instructions | All the reagents are stored at 2-8°C. The kit is stable for 6 months from the date of receipt. |
| Synonyms | C1orf112, APOLO1, FIDGETIN-like-1 interacting protein, FIGNL1 Interacting Regulator Of Recombination And Mitosis, FIGNL1-interacting regulator of recombination and mitosis |



