IHCeasy® FCGRT/FCRN Ready-To-Use IHC Kit
FCGRT/FCRN Ready-to-use reagent kit for IHC.
Reactivity
Human
Sample Type
FFPE tissue
Cat no : KHC3232
Synonyms
FCGRT, FCRN, Neonatal Fc receptor
Validation Data Gallery
Product Information
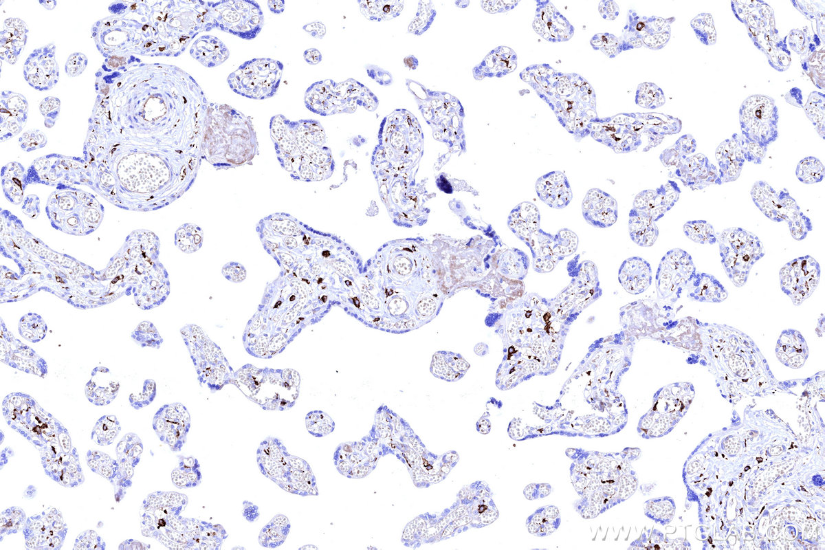
KHC3232 is a ready-to-use IHC kit for staining of FCGRT/FCRN. The kit provides all reagents, from antigen retrieval to cover slip mounting, that require little to no diluting or handling prior to use. Simply apply the reagents to your sample slide according to the protocol and you're steps away from obtaining high-quality IHC data.
| Product name | IHCeasy® FCGRT/FCRN Ready-To-Use IHC Kit |
| Sample type | FFPE tissue |
| Assay type | Immunohistochemistry |
| Primary antibody type | Rabbit Polyclonal |
| Secondary antibody type | Polymer-HRP-Goat anti-Rabbit |
| Reactivity | Human |
Kit components
| Component | Size | Concentration |
|---|---|---|
| Antigen Retrieval Buffer | 100 mL | 50× |
| Washing Buffer | 100 mL ×2 | 20× |
| Blocking Buffer | 5 mL | RTU |
| Primary Antibody | 5 mL | RTU |
| Secondary Antibody | 5 mL | RTU |
| Chromogen Component A | 0.2 mL | RTU |
| Chromogen Component B | 4 mL | RTU |
| Signal Enhancer | 5 mL | RTU |
| Counter Staining Reagent | 5 mL | RTU |
| Mounting Media | 5 mL | RTU |
| Datasheet | 1 Copy | |
| Manual | 1 Copy |
Background Information
The neonatal Fc receptor for IgG (FcRn) is a membrane-associated receptor which acts as a key determinant of IgG homeostasis. FcRn is similar in structure to major histocompatibility class I molecules. It is a heterodimer composed of a alpha chain associated with β2-microglobulin. FcRn transfers IgG from the mother to the fetus across the placenta and the proximal small intestine. In addition, throughout life, FcRn protects IgG from degradation and thus regulates the serum half-life of IgG.
Properties
| Storage Instructions | All the reagents are stored at 2-8°C. The kit is stable for 6 months from the date of receipt. |
| Synonyms | FCGRT, FCRN, Neonatal Fc receptor |


