IHCeasy® FBX4 Ready-To-Use IHC Kit

FBX4 Ready-to-use reagent kit for IHC.

Reactivity

Human, Mouse

Sample Type

FFPE tissue

Cat no : KHC3029

Synonyms

FBXO4, F box only protein 4, F box protein 4, F-box only protein 4



Product Information

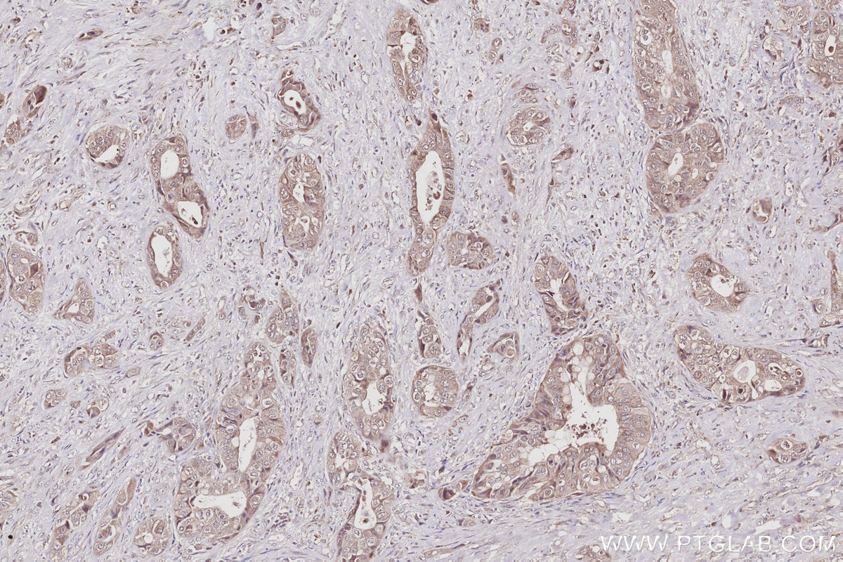
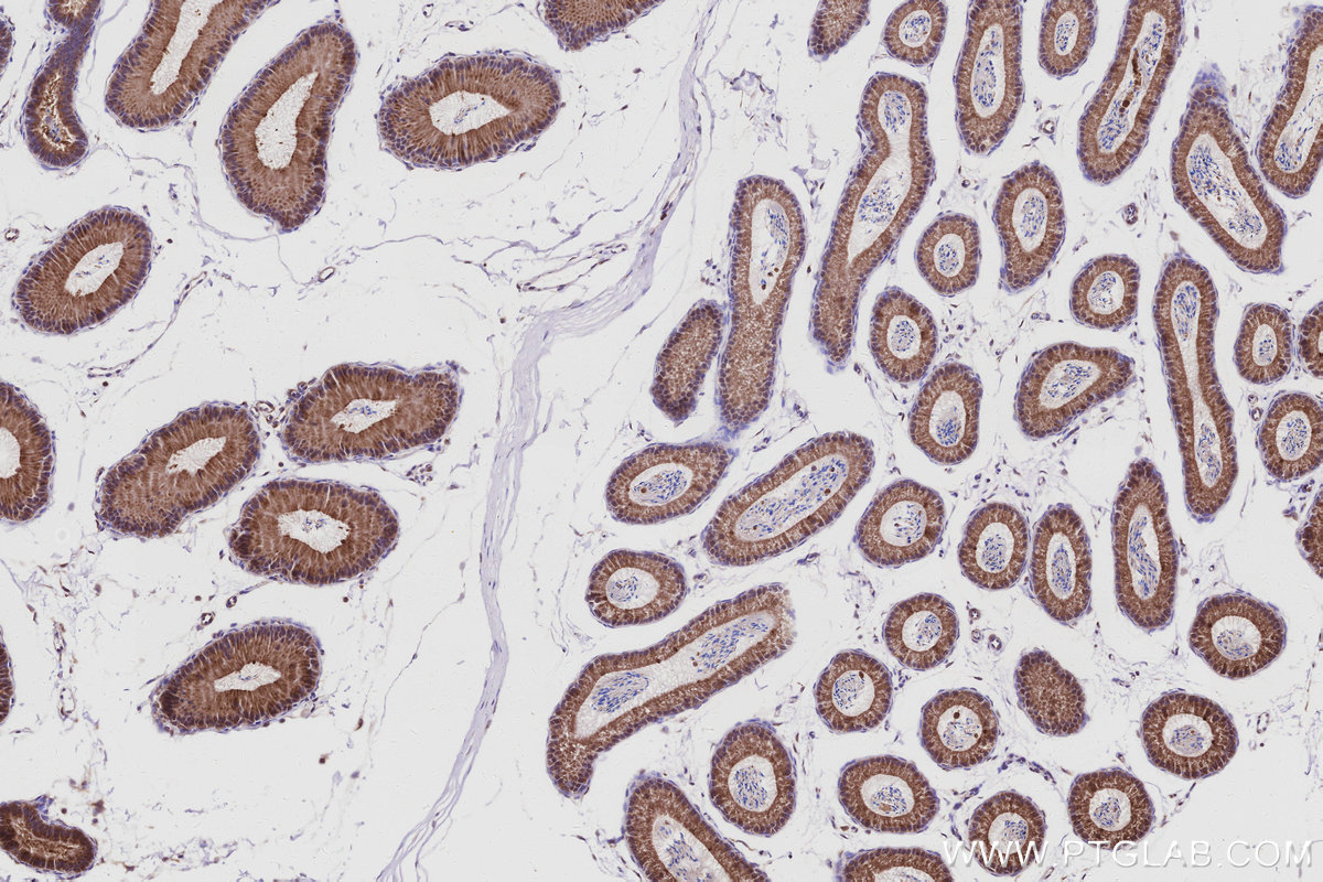
KHC3029 is a ready-to-use IHC kit for staining of FBX4. The kit provides all reagents, from antigen retrieval to cover slip mounting, that require little to no diluting or handling prior to use. Simply apply the reagents to your sample slide according to the protocol and you're steps away from obtaining high-quality IHC data.

Product name IHCeasy® FBX4 Ready-To-Use IHC Kit
Sample type FFPE tissue
Assay type Immunohistochemistry
Primary antibody type Rabbit Polyclonal
Secondary antibody type Polymer-HRP-Goat anti-Rabbit
Reactivity Human, Mouse

Kit components

ComponentSizeConcentration
Antigen Retrieval Buffer100 mL50×
Washing Buffer100 mL ×220×
Blocking Buffer5 mLRTU
Primary Antibody5 mLRTU
Secondary Antibody5 mLRTU
Chromogen Component A0.2 mLRTU
Chromogen Component B4 mLRTU
Signal Enhancer5 mLRTU
Counter Staining Reagent5 mLRTU
Mounting Media5 mLRTU
Datasheet1 Copy
Manual1 Copy

Background Information

FBX4 (F-Box Protein 4), also known as FBXO4, is a member of the F-box protein family. FBX4 is involved in the ubiquitination of various target proteins, leading to their degradation. It has been shown to regulate the cell cycle by targeting proteins such as cyclin D1 for ubiquitination and degradation. Mutations in FBX4 have been linked to various diseases, including spermatogenic failure and esophageal cancer. In cancer, FBX4 has been shown to act as a tumor suppressor. Loss of FBX4 function can lead to increased cell proliferation and tumor development. For example, FBX4 knockout mice have been shown to develop various tumors, including lymphoblastic lymphoma and mammary carcinoma.

Properties

Storage Instructions All the reagents are stored at 2-8°C. The kit is stable for 6 months from the date of receipt.
Synonyms FBXO4, F box only protein 4, F box protein 4, F-box only protein 4
||
New chat Able
正在加载,请稍候...