IHCeasy® F4/80 Ready-To-Use IHC Kit
F4/80 Ready-to-use reagent kit for IHC.
Cat no : KHC0938
Synonyms
DD7A5 7, EGF TM7, Emr1, F4 80, F4/80, Gpf480, Ly71, TM7LN3
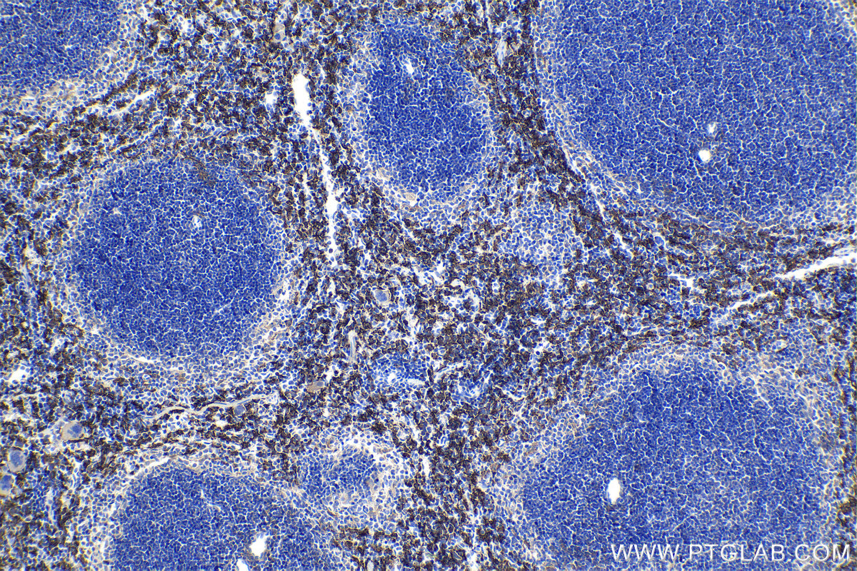
Validation Data Gallery
Product Information
KHC0938 is a ready-to-use IHC kit for staining of F4/80. The kit provides all reagents, from antigen retrieval to cover slip mounting, that require little to no diluting or handling prior to use. Simply apply the reagents to your sample slide according to the protocol and you're steps away from obtaining high-quality IHC data.
| Product name | IHCeasy F4/80 Ready-To-Use IHC Kit |
| Sample type | FFPE tissue |
| Assay type | Immunohistochemistry |
| Primary antibody type | Rabbit Recombinant |
| Secondary antibody type | Polymer-HRP-Goat anti-Rabbit |
| Reactivity | Mouse |
Kit components
| Component | Size | Concentration |
|---|---|---|
| Antigen Retrieval Buffer | 100 mL | 50× |
| Washing Buffer | 100 mL ×2 | 20× |
| Blocking Buffer | 5 mL | RTU |
| Primary Antibody | 5 mL | RTU |
| Secondary Antibody | 5 mL | RTU |
| Chromogen Component A | 0.2 mL | RTU |
| Chromogen Component B | 4 mL | RTU |
| Signal Enhancer | 5 mL | RTU |
| Counter Staining Reagent | 5 mL | RTU |
| Mounting Media | 5 mL | RTU |
| Datasheet | 1 Copy | |
| Manual | 1 Copy |
Background Information
Mouse F4/80, also named as EMR1 and Gpf480, is a 160kd cell surface glycoprotein which is a member of the EGF TM7 family. The F4/80 molecule is solely expressed on the surface of macrophages and serves as a marker for mature macrophage tissues, including Kupffer cells in liver, splenic red pulp macrophages, brain microglia, gut lamina propria and Langerhans cells in the skin. The function of F4/80 is unclear, but it is speculated to be involved in macrophage adhesion events, cell migration or as a G protein-coupled signaling component of macrophages.
Properties
| Storage Instructions | All the reagents are stored at 2-8°C. The kit is stable for 6 months from the date of receipt. |
| Synonyms | DD7A5 7, EGF TM7, Emr1, F4 80, F4/80, Gpf480, Ly71, TM7LN3 |
Publications
| Application | Title |
|---|---|
Acupunct Med Electroacupuncture attenuates bone erosion and promotes macrophage polarization in a mouse model of collagen-induced arthritis |



