IHCeasy® EYA2 Ready-To-Use IHC Kit
EYA2 Ready-to-use reagent kit for IHC.
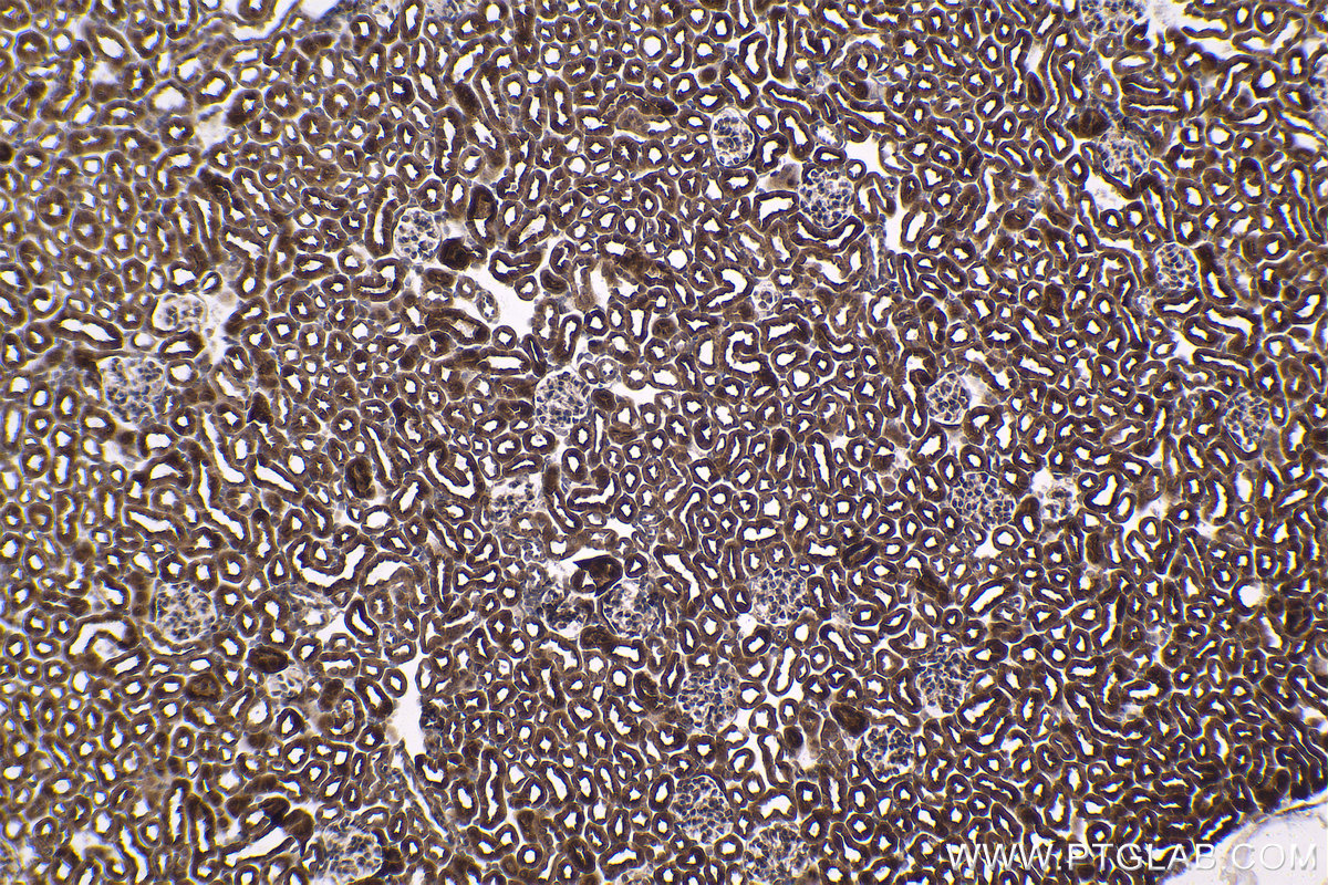
Reactivity
Human, Mouse, Rat
Sample Type
FFPE tissue
Cat no : KHC1417
Synonyms
EAB1, EYA2, Eyes absent homolog 2
Validation Data Gallery
Product Information
KHC1417 is a ready-to-use IHC kit for staining of EYA2. The kit provides all reagents, from antigen retrieval to cover slip mounting, that require little to no diluting or handling prior to use. Simply apply the reagents to your sample slide according to the protocol and you're steps away from obtaining high-quality IHC data.
| Product name | IHCeasy EYA2 Ready-To-Use IHC Kit |
| Sample type | FFPE tissue |
| Assay type | Immunohistochemistry |
| Primary antibody type | Rabbit Polyclonal |
| Secondary antibody type | Polymer-HRP-Goat anti-Rabbit |
| Reactivity | Human, Mouse, Rat |
Kit components
| Component | Size | Concentration |
|---|---|---|
| Antigen Retrieval Buffer | 100 mL | 50× |
| Washing Buffer | 100 mL ×2 | 20× |
| Blocking Buffer | 5 mL | RTU |
| Primary Antibody | 5 mL | RTU |
| Secondary Antibody | 5 mL | RTU |
| Chromogen Component A | 0.2 mL | RTU |
| Chromogen Component B | 4 mL | RTU |
| Signal Enhancer | 5 mL | RTU |
| Counter Staining Reagent | 5 mL | RTU |
| Mounting Media | 5 mL | RTU |
| Datasheet | 1 Copy | |
| Manual | 1 Copy |
Background Information
EYA2, also named EAB1, belongs to the HAD-like hydrolase superfamily and EYA family. It coactivates SIX1. The Six1-EYA2 interaction may inhibit breast cancer progression. EYA2 is required for Six1-activated TGF-beta signaling. It may be involved in the development of the eye.
Properties
| Storage Instructions | All the reagents are stored at 2-8°C. The kit is stable for 6 months from the date of receipt. |
| Synonyms | EAB1, EYA2, Eyes absent homolog 2 |






