IHCeasy® EXOSC9 Ready-To-Use IHC Kit
EXOSC9 Ready-to-use reagent kit for IHC.
Reactivity
Human, Mouse, Rat
Sample Type
FFPE tissue
Cat no : KHC1678
Synonyms
Autoantigen PM/Scl 1, EXOSC9, exosome component 9, p5, p6, PM/Scl 75, PMSCL1, RRP45, Rrp45p
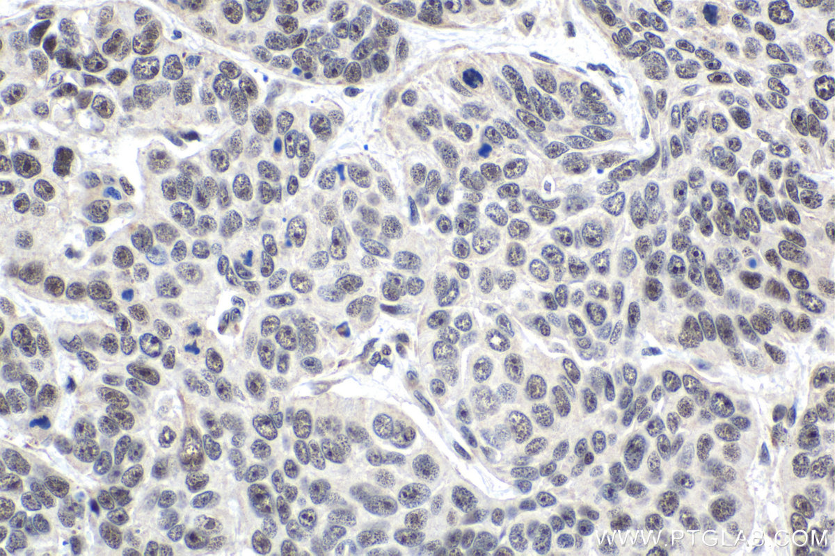
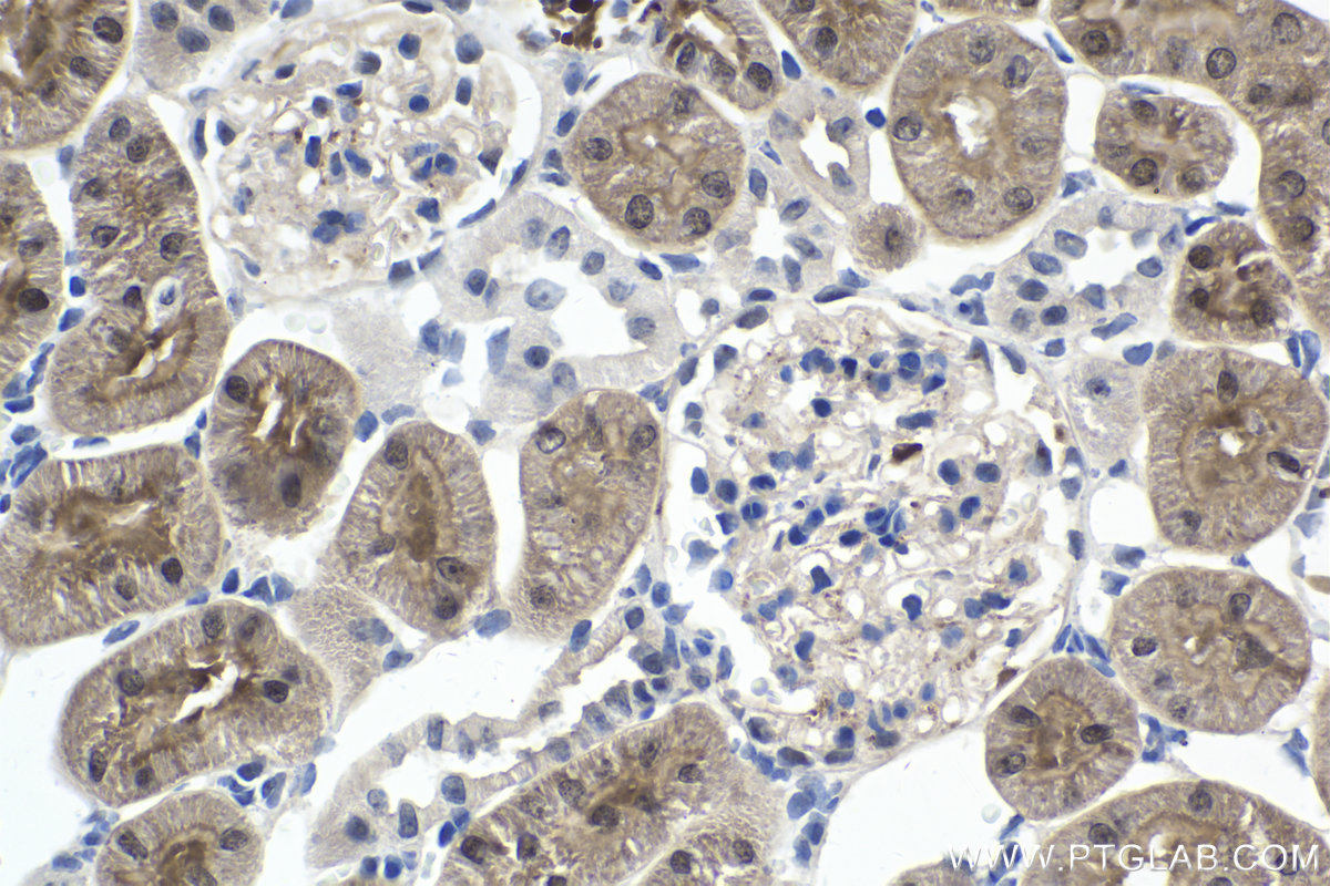
Validation Data Gallery
Product Information
KHC1678 is a ready-to-use IHC kit for staining of EXOSC9. The kit provides all reagents, from antigen retrieval to cover slip mounting, that require little to no diluting or handling prior to use. Simply apply the reagents to your sample slide according to the protocol and you're steps away from obtaining high-quality IHC data.
| Product name | IHCeasy EXOSC9 Ready-To-Use IHC Kit |
| Sample type | FFPE tissue |
| Assay type | Immunohistochemistry |
| Primary antibody type | Mouse Monoclonal |
| Secondary antibody type | Polymer-HRP-Goat anti-Mouse |
| Reactivity | Human, Mouse, Rat |
Kit components
| Component | Size | Concentration |
|---|---|---|
| Antigen Retrieval Buffer | 100 mL | 50× |
| Washing Buffer | 100 mL ×2 | 20× |
| Blocking Buffer | 5 mL | RTU |
| Primary Antibody | 5 mL | RTU |
| Secondary Antibody | 5 mL | RTU |
| Chromogen Component A | 0.2 mL | RTU |
| Chromogen Component B | 4 mL | RTU |
| Signal Enhancer | 5 mL | RTU |
| Counter Staining Reagent | 5 mL | RTU |
| Mounting Media | 5 mL | RTU |
| Datasheet | 1 Copy | |
| Manual | 1 Copy |
Background Information
EXOSC9, also named as PMSCL1 and PM/Scl-75, is a key subunit of the exosome complex. EXOSC9 maintains self-renewal in a cell-autonomous manner. EXOSC9 has 4 isoforms.
Properties
| Storage Instructions | All the reagents are stored at 2-8°C. The kit is stable for 6 months from the date of receipt. |
| Synonyms | Autoantigen PM/Scl 1, EXOSC9, exosome component 9, p5, p6, PM/Scl 75, PMSCL1, RRP45, Rrp45p |






